CUT&Tag was performed using the CUT&Tag Assay Kit (pAG-Tn5) for Illumina from K562 cells with 1µg of Anti-HMGB2 Antibody (A307358), and Goat Anti-Rabbit IgG H&L Antibody. The CUT&Tag results indicate the enrichment pattern of HMGB2 in representative gene loci (PTBP1), as shown in figure.
Western Blot - Anti-HMGB2 Antibody [ARC1460] (A307358)
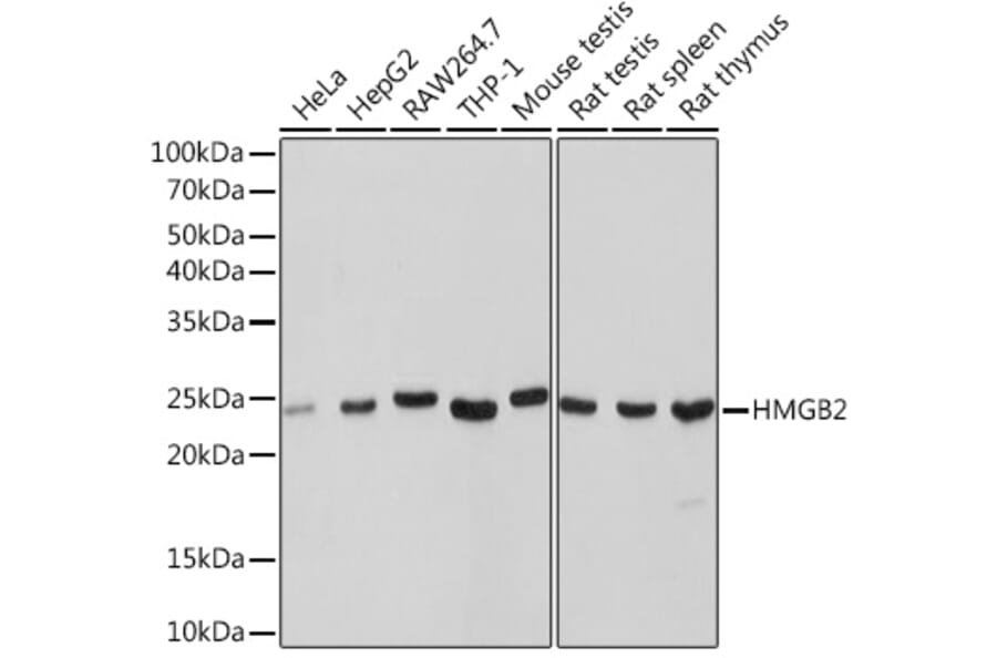
Western blot analysis of extracts of various cell lines, using Anti-HMGB2 Antibody (A307358) at 1:1,000 dilution. The secondary antibody was Goat Anti-Rabbit IgG H&L Antibody (HRP) at 1:10,000 dilution. Lysates/proteins were present at 25µg per lane. The blocking buffer used was 3% non-fat dry milk in TBST. Detection was with a ECL Basic Kit. Exposure time: 1s.
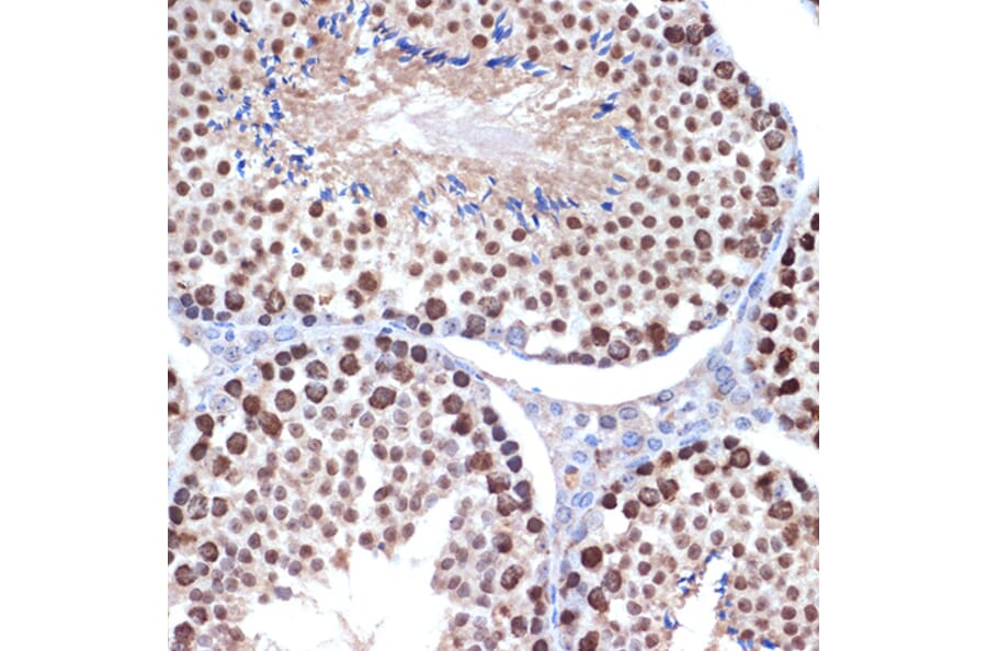
Immunohistochemistry analysis of paraffin-embedded rat testis using Anti-HMGB2 Antibody (A307358) at a dilution of 1:100 (40x lens). Perform microwave antigen retrieval with 10 mM Tris/EDTA buffer pH 9.0 before commencing with IHC staining protocol.
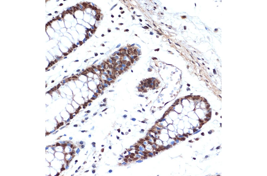
Immunohistochemistry analysis of paraffin-embedded human colon tissue using Anti-HMGB2 Antibody (A307358) at a dilution of 1:100 (40x lens). Perform microwave antigen retrieval with 10 mM Tris/EDTA buffer pH 9.0 before commencing with IHC staining protocol.
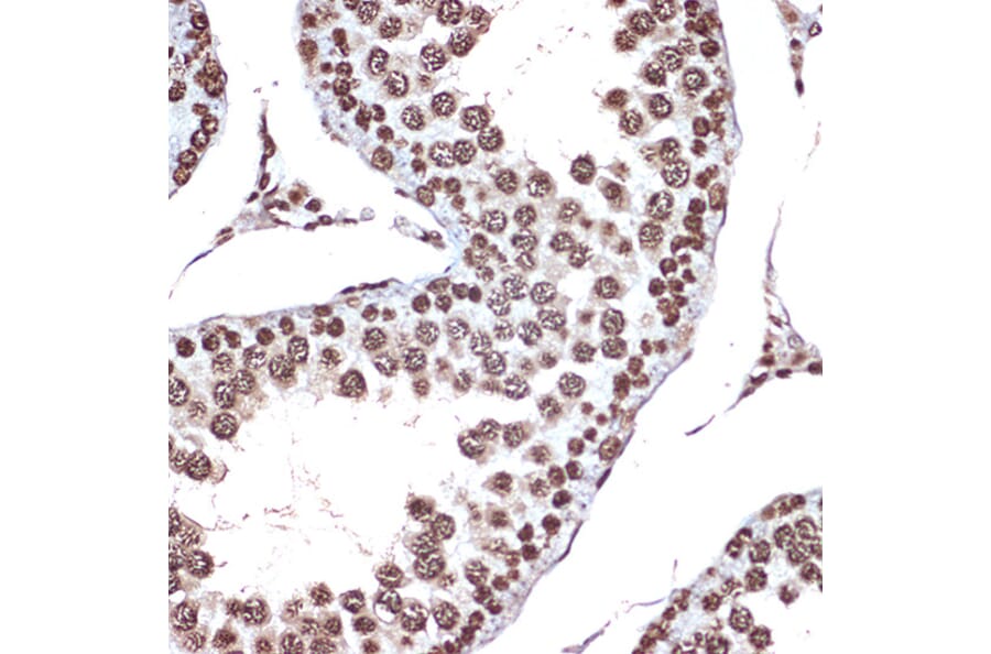
Immunohistochemistry analysis of paraffin-embedded mouse testis using Anti-HMGB2 Antibody (A307358) at a dilution of 1:100 (40x lens). Perform microwave antigen retrieval with 10 mM Tris/EDTA buffer pH 9.0 before commencing with IHC staining protocol.
Immunofluorescence analysis of C6 cells using Anti-HMGB2 Antibody (A307358) at a dilution of 1:100 (40x lens). DAPI was used to stain the cell nuclei (blue).
Immunofluorescence analysis of NIH-3T3 cells using Anti-HMGB2 Antibody (A307358) at a dilution of 1:100 (40x lens). DAPI was used to stain the cell nuclei (blue).
Immunofluorescence analysis of U-2 OS cells using Anti-HMGB2 Antibody (A307358) at a dilution of 1:100 (40x lens). DAPI was used to stain the cell nuclei (blue).
Western Blot - Anti-HMGB2 Antibody [ARC1460] (A307358)
Immunoprecipitation analysis of 300µg extracts of mouse testis cells using 3µg of Anti-HMGB2 Antibody (A307358). This Western blot was performed on the immunoprecipitate using Anti-HMGB2 Antibody (A307358) at a dilution of 1:1000.
Chromatin immunoprecipitation (ChIP) analysis of extracts of HepG2 cells, using Anti-HMGB2 Antibody (A307358) and Rabbit IgG. The amount of immunoprecipitated DNA was checked by quantitative PCR. Histogram was constructed by the ratios of the immunoprecipitated DNA to the input.