ISO 9001:2015 Certified
Live Customer Support
4.5/5 on Trustpilot
100% Quality Guarantee

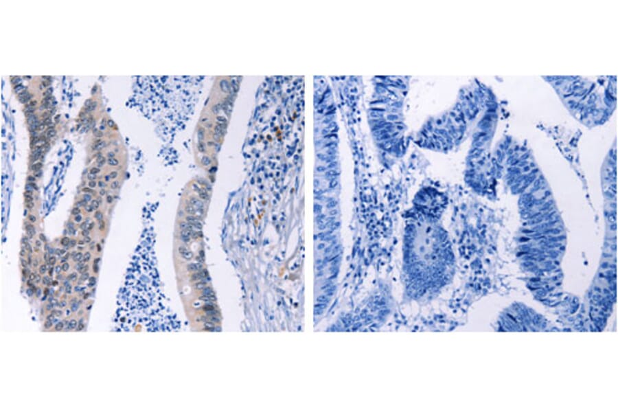
Anti-HMGB3 Antibody (A48140)

Rabbit polyclonal antibody to HMGB3 for ELISA, WB and IHC.

Shipping Information

$40
Dispatched from St. Louis, MO.
Lead Time: 6-9 business days.
Name
Anti-HMGB3 Antibody
Description
Rabbit polyclonal antibody to HMGB3
Specificity
The antibody detects endogenous level of total HMGB3 protein.
Applications
ELISA, WB, IHC
Reactivity
Human, Mouse
Immunogen
Synthetic peptide corresponding to a region derived from 164-178 amino acids of Human high mobility group box 3
Host
Rabbit
Clonality
Polyclonal
Conjugate

Unconjugated

Formulation
Supplied in phosphate-buffered saline (without Mg²? and Ca²?), pH 7.3, containing 150 mM NaCl, 0.05% sodium azide, and 50% glycerol.
Storage
Shipped at 4°C. Upon delivery aliquot and store at -20°C. Avoid freeze/thaw cycles.
Synonyms
High mobility group protein 2a, High mobility group protein 4, High mobility group protein B3, HMG-2a, HMG-4, HMG2A, HMG4
Disclaimer
This product is for research use only. It is not intended for diagnostic or therapeutic use.
Publishing research using Anti-HMGB3 Antibody (A48140)? Please let us know so that we can list the citation on this page.

Alternative products to Anti-HMGB3 Antibody (A48140)

Proteins predicted to interact with HMGB3

Predicted protein interactions based upon String database. Revelancy score correlates with probability of interaction.
65% Relevancy Score
61.1% Relevancy Score
57.4% Relevancy Score
57.4% Relevancy Score
56.9% Relevancy Score
56.5% Relevancy Score
55.5% Relevancy Score
52.6% Relevancy Score
51.8% Relevancy Score