ISO 9001:2015 Certified
Live Customer Support
4.5/5 on Trustpilot
100% Quality Guarantee

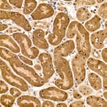
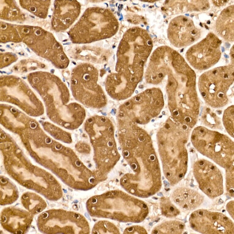
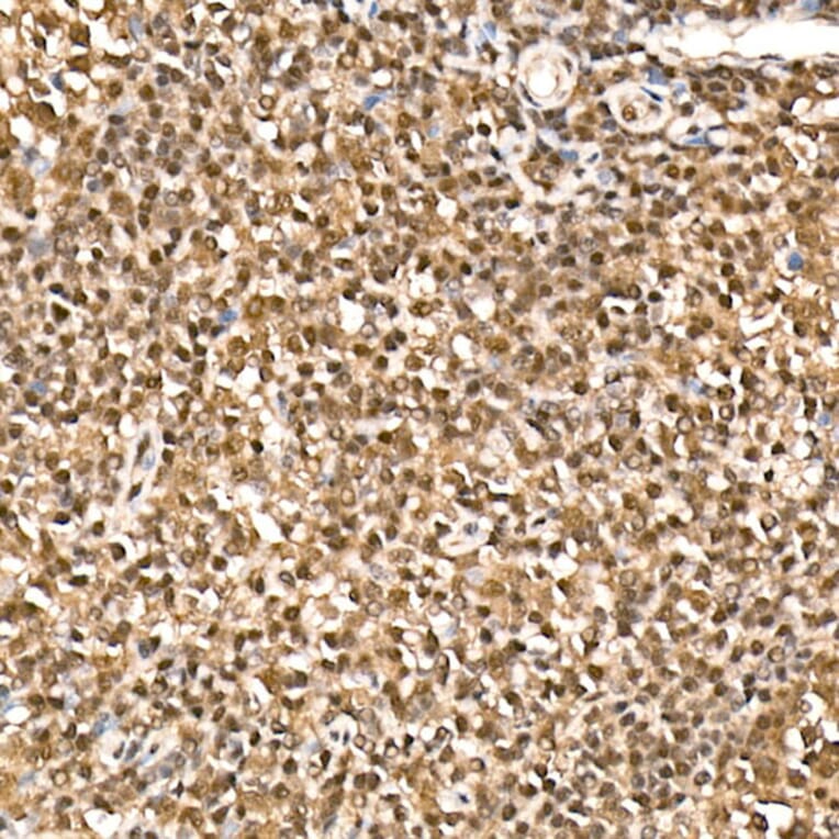
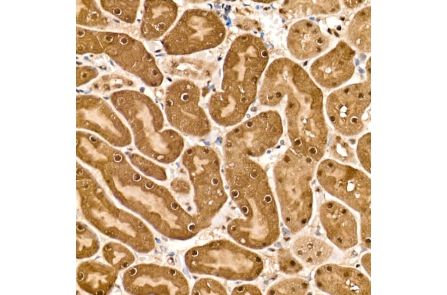
Anti-HN1 Antibody (A88464)

Rabbit polyclonal antibody to HN1 for WB and IHC.

Shipping Information

$40
Dispatched from St. Louis, MO.
Lead Time: 7-10 business days.
Name
Anti-HN1 Antibody
Description
Rabbit polyclonal antibody to HN1.
Applications
WB, IHC
Dilutions
WB: 1:500-1:2,000, IHC: 1:50-1:200
Reactivity
Human, Mouse, Rat
Immunogen
Recombinant fusion protein containing a sequence corresponding to amino acids 1-154 of human HN1 (NP_057269.1).
Sequence
MTTTTTFKGVDPNSRNSSRVLRPPGGGSNFSLGFDEPTEQPVRKNKMASNIFGTPEENQASWAKSAGAKSSGGREDLESSGLQRRNSSEASSGDFLDLKGEGDIHENVDTDLPGSLGQSEEKPVPAAPVPSPVAPAPVPSRRNPPGGKSSLVLG
Host
Rabbit
Clonality
Polyclonal
Isotype
IgG
Conjugate

Unconjugated

Purification
Affinity purification.
Concentration
Lot Specific
Molecular Weight
16 kDa
Product Form
Liquid
Formulation
Supplied in Phosphate Buffered Saline, pH 7.3, with 50% Glycerol and 0.01% Thiomersal.
Storage
Shipped at 4°C. Upon delivery aliquot and store at -20°C. Avoid freeze/thaw cycles.
Synonyms
Androgen-regulated protein 2, ARM2, Hematological and neurological expressed 1 protein, JPT1, Jupiter microtubule associated homolog 1
Disclaimer
This product is for research use only. It is not intended for diagnostic or therapeutic use.
Publishing research using Anti-HN1 Antibody (A88464)? Please let us know so that we can list the citation on this page.

Alternative products to Anti-HN1 Antibody (A88464)

Proteins predicted to interact with HN1

Predicted protein interactions based upon String database. Revelancy score correlates with probability of interaction.
54.1% Relevancy Score
51.7% Relevancy Score
50.1% Relevancy Score
40.5% Relevancy Score
37% Relevancy Score
33.7% Relevancy Score
32.7% Relevancy Score
30.9% Relevancy Score
30.7% Relevancy Score