Primary Antibodies
Secondary Antibodies
Proteins & Peptides
ELISA Kits
About Us
Contact Us
Sign In/Register
0
ISO 9001:2015 Certified
Live Customer Support
4.5/5 on Trustpilot
100% Quality Guarantee
Home
Primary Antibodies
HNF1B Antibodies
Anti-HNF1B Antibody (A46114)
Anti-HNF1B Antibody (A46114)
Overview
Specifications
Images
Enlarge Image
Enlarge Image
$430
Rabbit polyclonal antibody to HNF1B for IHC.
100% Guarantee
Price Match Guarantee
Product Size:
100µl
Quantity:
1
2
3
4
5
6
7
8
9
10
Add To Cart
Request a Quotation
Custom or Bulk Request
Shipping Information
Freight/Packing Charges:
$40
Dispatched from St. Louis, MO.
Lead Time: 6-9 business days.
Specifications
Name
Anti-HNF1B Antibody
Description
Rabbit polyclonal antibody to HNF1B
Specificity
The antibody detects endogenous levels of total HNF1B protein.
Applications
IHC
Reactivity
Human, Mouse, Rat
Immunogen
Synthetic peptide corresponding to a region derived from internal residues of human HNF1 homeobox B
Host
Rabbit
Clonality
Polyclonal
Conjugate
Unconjugated
Purification
Antigen affinity purification.
Concentration
2.6 mg/ml
Formulation
Rabbit IgG in pH7.3 PBS, 0.05% NaN3, 50% Glycerol.
Storage
Store at -20˚C
Synonyms
Hepatocyte nuclear factor 1-beta, HNF-1-beta, HNF-1B, Homeoprotein LFB3, TCF-2, TCF2, Transcription factor 2, Variant hepatic nuclear factor 1, vHNF1
Suitable Secondaries
Goat Anti-Rabbit IgG H&L Antibody (AP) (A294874)
Goat Anti-Rabbit IgG H&L Antibody (Biotin) (A294795)
Goat Anti-Rabbit IgG H&L Antibody (FITC) (A294887)
Goat Anti-Rabbit IgG H&L Antibody (HRP) (A294888)
See all Anti-Rabbit IgG Secondaries →
Disclaimer
This product is for research use only. It is not intended for diagnostic or therapeutic use.
Scientific Validation Data
Validation Data
(2)
Enlarge Image
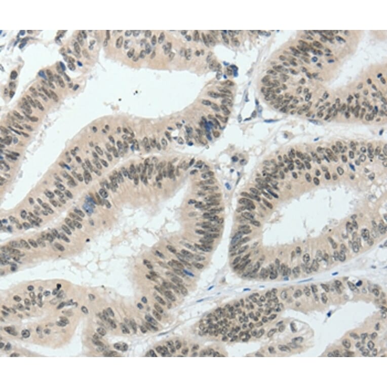
Immunohistochemistry - Anti-HNF1B Antibody (A46114)
Immunohistochemical analysis of paraffin-embedded Human colon cancer tissue using #37050 at dilution 1/80.
Enlarge Image
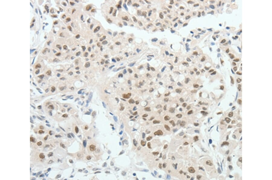
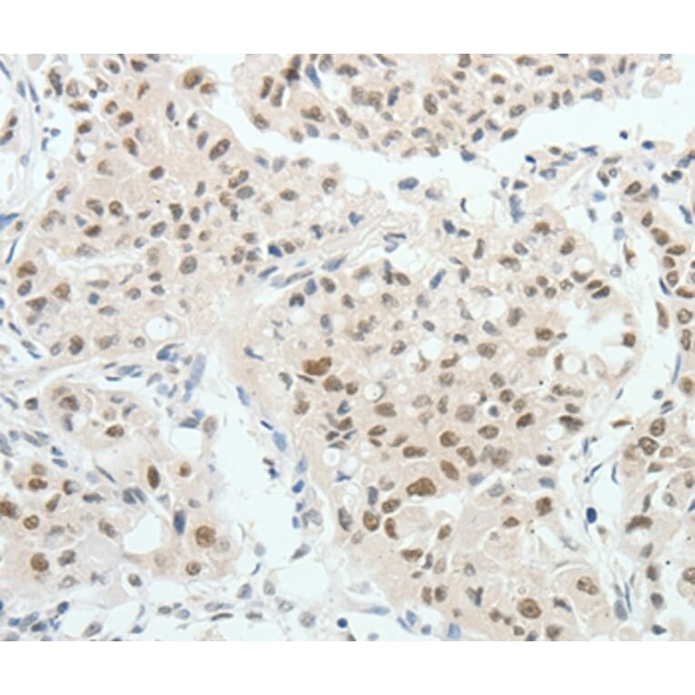
Immunohistochemistry - Anti-HNF1B Antibody (A46114)
Immunohistochemical analysis of paraffin-embedded Human lung cancer tissue using #37050 at dilution 1/80.
Publishing research using Anti-HNF1B Antibody (A46114)? Please
let us know
so that we can list the citation on this page.
Alternative products to Anti-HNF1B Antibody (A46114)
A82987
Anti-HNF-1B Antibody
Goat polyclonal antibody to HNF-1B for ELISA, WB and ICC.
(2)
A14345
Anti-HNF-1B Antibody
Rabbit polyclonal antibody to HNF-1B for WB.
A41318
Anti-HNF-1b (TCF-2) Antibody
Rabbit polyclonal antibody to HNF-1b (TCF-2) for WB.
A322189
Anti-HNF-1B Antibody [OTIR4F6]
Rabbit monoclonal [OTIR4F6] antibody to HNF-1B for IHC.
A322188
Anti-HNF-1B Antibody [OTIR2A4]
Rabbit monoclonal [OTIR2A4] antibody to HNF-1B for IHC.
A322187
Anti-HNF-1B Antibody [OTIR1E9]
Rabbit monoclonal [OTIR1E9] antibody to HNF-1B for IHC.
A82987
Anti-HNF-1B Antibody
Goat polyclonal antibody to HNF-1B for ELISA, WB and ICC.
(2)
A14345
Anti-HNF-1B Antibody
Rabbit polyclonal antibody to HNF-1B for WB.
A41318
Anti-HNF-1b (TCF-2) Antibody
Rabbit polyclonal antibody to HNF-1b (TCF-2) for WB.
A322189
Anti-HNF-1B Antibody [OTIR4F6]
Rabbit monoclonal [OTIR4F6] antibody to HNF-1B for IHC.
A322188
Anti-HNF-1B Antibody [OTIR2A4]
Rabbit monoclonal [OTIR2A4] antibody to HNF-1B for IHC.
A322187
Anti-HNF-1B Antibody [OTIR1E9]
Rabbit monoclonal [OTIR1E9] antibody to HNF-1B for IHC.
See all HNF1B Antibodies
Proteins predicted to interact with HNF1B
Predicted protein interactions based upon String database. Revelancy score correlates with probability of interaction.
HNF1 alpha Antibodies
96.1% Relevancy Score
ONECUT1 Antibodies
95.6% Relevancy Score
PCBD1 Antibodies
89.2% Relevancy Score
PTF1A Antibodies
89.1% Relevancy Score
HNF 4 alpha Antibodies
85.1% Relevancy Score
Uromodulin Antibodies
80.5% Relevancy Score
PDX1 Antibodies
80.3% Relevancy Score
NeuroD1 Antibodies
76.2% Relevancy Score
Glucokinase Antibodies
75.9% Relevancy Score
Top