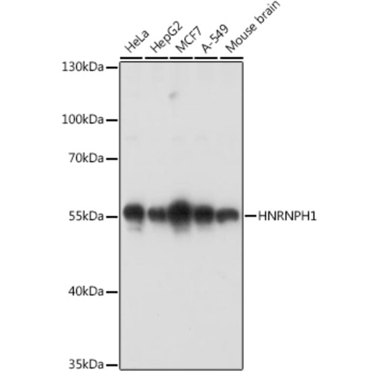
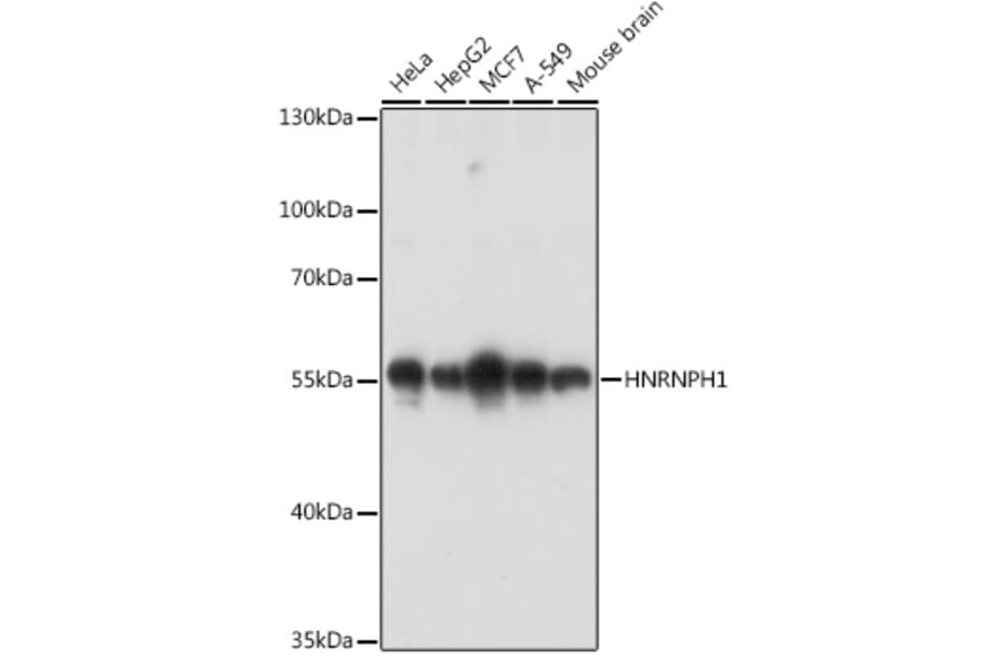
Western blot analysis of extracts of various cell lines, using Anti-hnRNP H Antibody (A15054) at 1:3,000 dilution. The secondary antibody was Goat Anti-Rabbit IgG H&L Antibody (HRP) at 1:10,000 dilution. Lysates/proteins were present at 25µg per lane. The blocking buffer used was 3% non-fat dry milk in TBST. Detection was with a ECL Basic Kit. Exposure time: 90s.
Western blot analysis of extracts of various cell lines, using Anti-hnRNP H Antibody (A15054) at 1:3,000 dilution. The secondary antibody was Goat Anti-Rabbit IgG H&L Antibody (HRP) at 1:10,000 dilution. Lysates/proteins were present at 25µg per lane. The blocking buffer used was 3% non-fat dry milk in TBST. Detection was with a ECL Basic Kit. Exposure time: 90s.
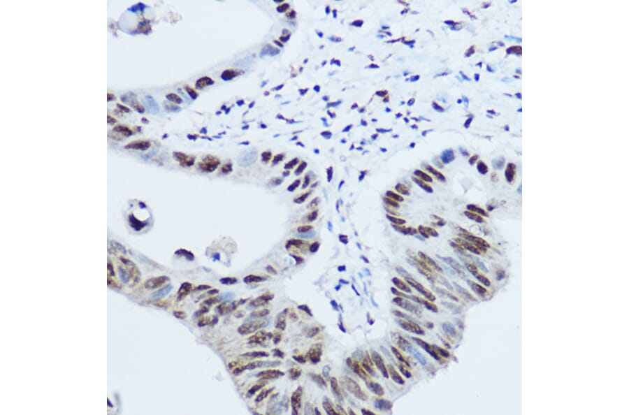
Immunohistochemistry - Anti-hnRNP H Antibody (A15054)
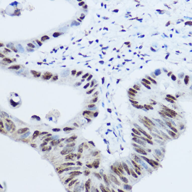
Immunohistochemistry analysis of paraffin-embedded human colon carcinoma tissue using Anti-hnRNP H Antibody (A15054) at a dilution of 1:100 (40x lens). Perform high pressure antigen retrieval with 10 mM citrate buffer pH 6.0 before commencing with IHC staining protocol.
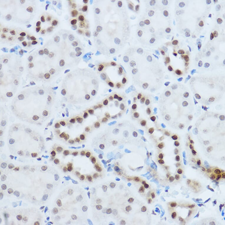
Immunohistochemistry - Anti-hnRNP H Antibody (A15054)
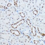
Immunohistochemistry analysis of paraffin-embedded mouse kidney using Anti-hnRNP H Antibody (A15054) at a dilution of 1:100 (40x lens). Perform high pressure antigen retrieval with 10 mM citrate buffer pH 6.0 before commencing with IHC staining protocol.
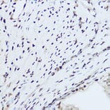
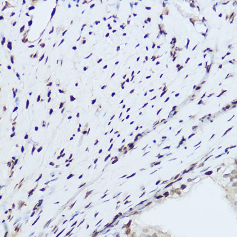
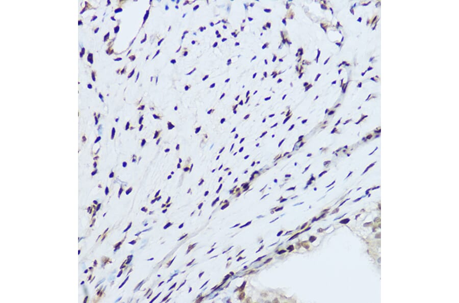
Immunohistochemistry - Anti-hnRNP H Antibody (A15054)
Immunohistochemistry analysis of paraffin-embedded rat ovary using Anti-hnRNP H Antibody (A15054) at a dilution of 1:100 (40x lens). Perform high pressure antigen retrieval with 10 mM citrate buffer pH 6.0 before commencing with IHC staining protocol.
Immunofluorescence - Anti-hnRNP H Antibody (A15054)
Immunofluorescence analysis of 293T cells using Anti-hnRNP H Antibody (A15054) at a dilution of 1:100 (40x lens). DAPI was used to stain the cell nuclei (blue).
Immunofluorescence - Anti-hnRNP H Antibody (A15054)
Immunofluorescence analysis of 293T cells using Anti-hnRNP H Antibody (A15054) at a dilution of 1:100 (40x lens). DAPI was used to stain the cell nuclei (blue).