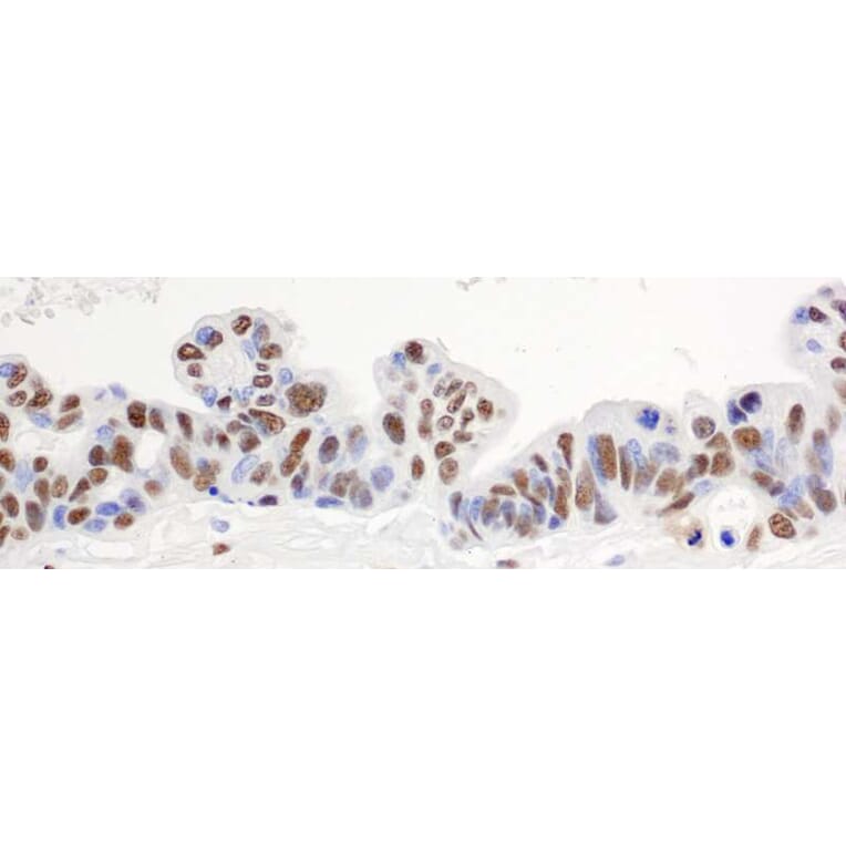
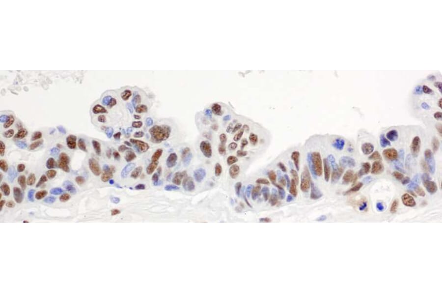
Synthetic peptide within amino acids 400 and the C-terminus of human hnRNP-H (NP_005511. 1).
Host
Rabbit
Clonality
Polyclonal
Isotype
IgG
Conjugate
Unconjugated
Purification
Antigen affinity purification.
Concentration
1 mg/ml
Product Form
Liquid
Formulation
Supplied in Tris-Citrate/Phosphate Buffer, pH 7-8, with 0.09% Sodium Azide.
Storage
Shipped at 4°C. Upon delivery aliquot and store at -20°C. Avoid freeze/thaw cycles.
General Notes
This antibody was affinity purified using the immunising peptide immobilized on solid support. Immunoglobulin concentration was determined by extinction coefficient: absorbance at 280 nm of 1. 4 equals 1.0 mg of IgG.
Samples: Whole cell lysate (1 mg for IP, 20% of IP loaded) from HeLa cells. Antibodies: Anti-hnRNP-H Antibody (A295588) was used for WB at 0.2 µg/ml. hnRNP-H was also immunoprecipitated by a previous of this antibody. For blotting immunoprecipitated hnRNP-H, Anti-hnRNP-H Antibody (A295588) was used at 1.0 µg/ml. Detection: Chemiluminescence with exposure time of 30 seconds.
Samples: Whole cell lysate from HeLa (5, 15 and 50 µg), HEK293T (T; 50 µg) and mouse NIH 3T3 (M; 50 µg) cells. Antibodies: Anti-hnRNP-H Antibody (A295588) was used for WB at 0.2 µg/ml. Detection: Chemiluminescence with exposure time of 30 seconds.
Publishing research using Anti-hnRNP-H Antibody (A295588)? Please let us know so that we can list the citation on this page.