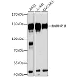
Western Blot - Anti-hnRNP U/p120 Antibody (A14488)
Western blot analysis of extracts of various cell lines, using Anti-hnRNP U/p120 Antibody (A14488) at 1:3,000 dilution. The secondary antibody was Goat Anti-Rabbit IgG H&L Antibody (HRP) at 1:10,000 dilution. Lysates/proteins were present at 25µg per lane. The blocking buffer used was 3% non-fat dry milk in TBST. Detection was with a ECL Basic Kit. Exposure time: 90s.
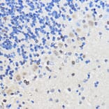
Immunohistochemistry analysis of paraffin-embedded mouse brain using Anti-hnRNP U/p120 Antibody (A14488) at a dilution of 1:50 (40x lens). Perform microwave antigen retrieval with 10 mM PBS buffer pH 7.2 before commencing with IHC staining protocol.
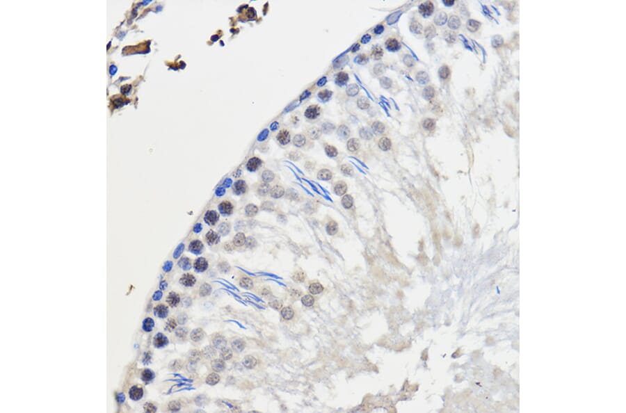
Immunohistochemistry analysis of paraffin-embedded rat testis using Anti-hnRNP U/p120 Antibody (A14488) at a dilution of 1:50 (40x lens). Perform microwave antigen retrieval with 10 mM PBS buffer pH 7.2 before commencing with IHC staining protocol.
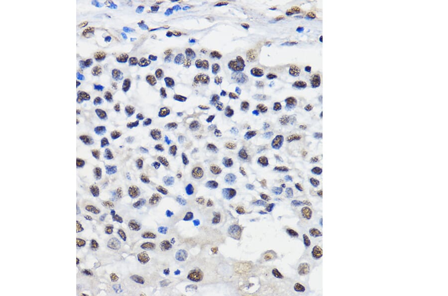
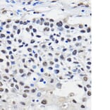
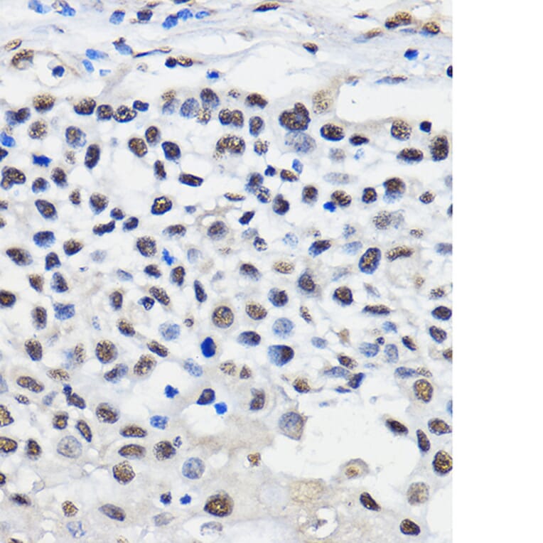
Immunohistochemistry analysis of paraffin-embedded human esophageal cancer using Anti-hnRNP U/p120 Antibody (A14488) at a dilution of 1:50 (40x lens). Perform microwave antigen retrieval with 10 mM PBS buffer pH 7.2 before commencing with IHC staining protocol.
Immunofluorescence analysis of C6 cells using Anti-hnRNP U/p120 Antibody (A14488) at a dilution of 1:100. DAPI was used to stain the cell nuclei (blue).
Western Blot - Anti-hnRNP U/p120 Antibody (A14488)
Immunoprecipitation analysis of 300µg extracts of Jurkat cells using 3µg of Anti-hnRNP U/p120 Antibody (A14488). This Western blot was performed on the immunoprecipitate using Anti-hnRNP U/p120 Antibody (A14488) at a dilution of 1:1000.