Western Blot - Anti-hnRNP U/p120 Antibody [ARC0942] (A307864)
Western blot analysis of extracts of various cell lines, using Anti-hnRNP U/p120 Antibody [ARC0942] (A307864) at 1:1,000 dilution. The secondary antibody was Goat Anti-Rabbit IgG H&L Antibody (HRP) at 1:10,000 dilution. Lysates/proteins were present at 25µg per lane. The blocking buffer used was 3% non-fat dry milk in TBST. Detection was with a ECL Basic Kit. Exposure time: 1s.
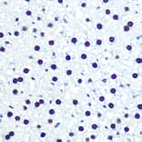
Immunohistochemistry analysis of paraffin-embedded rat liver using Anti-hnRNP U/p120 Antibody [ARC0942] (A307864) at a dilution of 1:100 (40x lens). Perform microwave antigen retrieval with 10 mM PBS buffer pH 7.2 before commencing with IHC staining protocol.
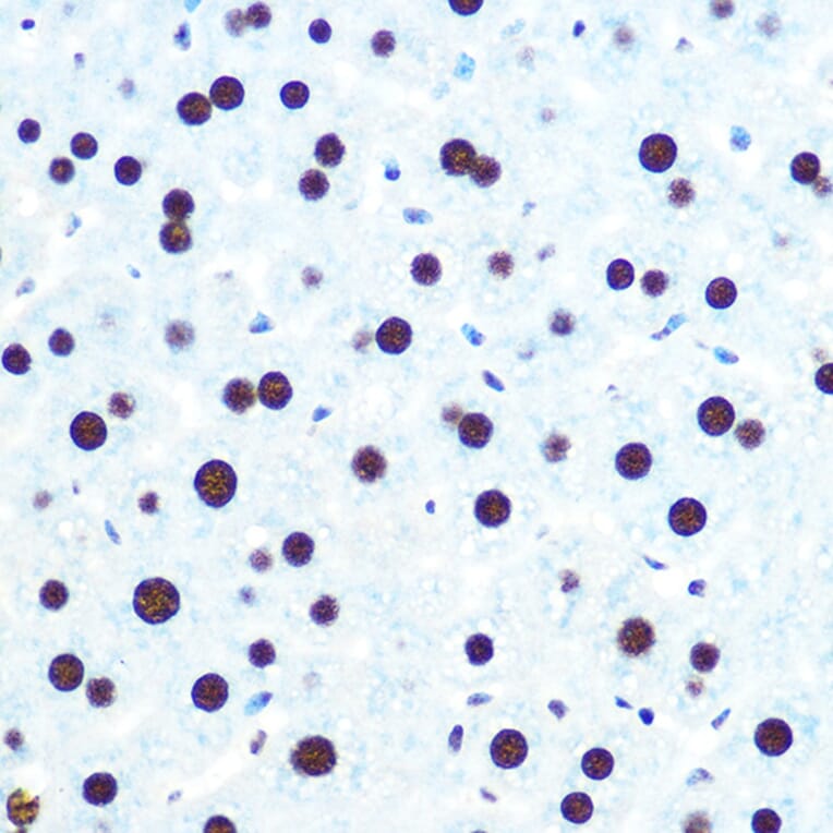
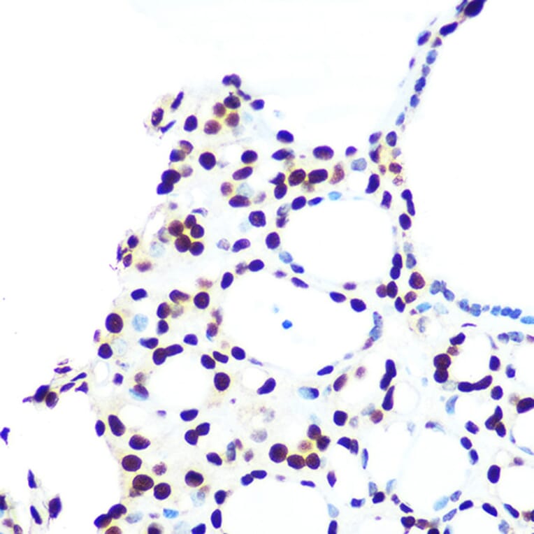
Immunohistochemistry analysis of paraffin-embedded human thyroid cancer using Anti-hnRNP U/p120 Antibody [ARC0942] (A307864) at a dilution of 1:100 (40x lens). Perform microwave antigen retrieval with 10 mM PBS buffer pH 7.2 before commencing with IHC staining protocol.
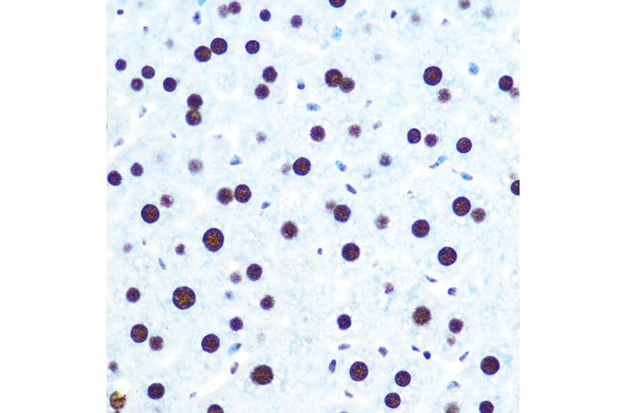
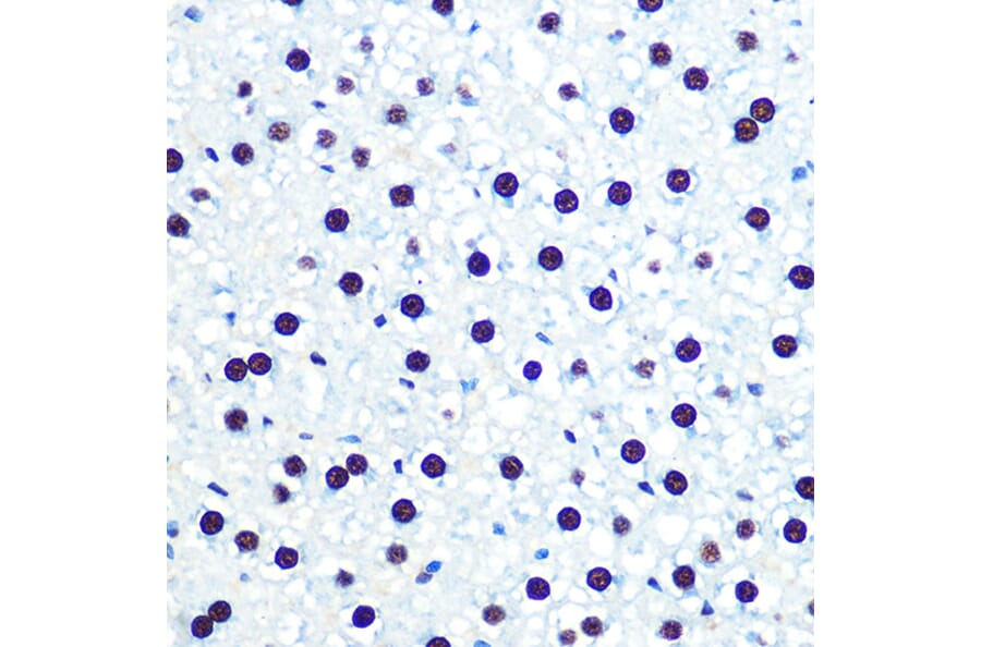
Immunohistochemistry analysis of paraffin-embedded mouse liver using Anti-hnRNP U/p120 Antibody [ARC0942] (A307864) at a dilution of 1:100 (40x lens). Perform microwave antigen retrieval with 10 mM PBS buffer pH 7.2 before commencing with IHC staining protocol.
Confocal imaging of U-2 0S cells using Anti-hnRNP U/p120 Antibody [ARC0942] (A307864), at a dilution of 1:100, (red). The cells were counterstained with Anti-alpha Tubulin Antibody, at a dilution of 1:400, (green). DAPI was used for nuclear staining (Blue). Objective: 60x.
Western Blot - Anti-hnRNP U/p120 Antibody [ARC0942] (A307864)
Immunoprecipitation analysis of 300µg extracts of K-562 cells using 3µg of Anti-hnRNP U/p120 Antibody [ARC0942] (A307864). This Western blot was performed on the immunoprecipitate using Anti-hnRNP U/p120 Antibody [ARC0942] (A307864) at a dilution of 1:1000.