ISO 9001:2015 Certified
Live Customer Support
4.5/5 on Trustpilot
100% Quality Guarantee

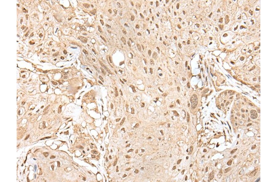
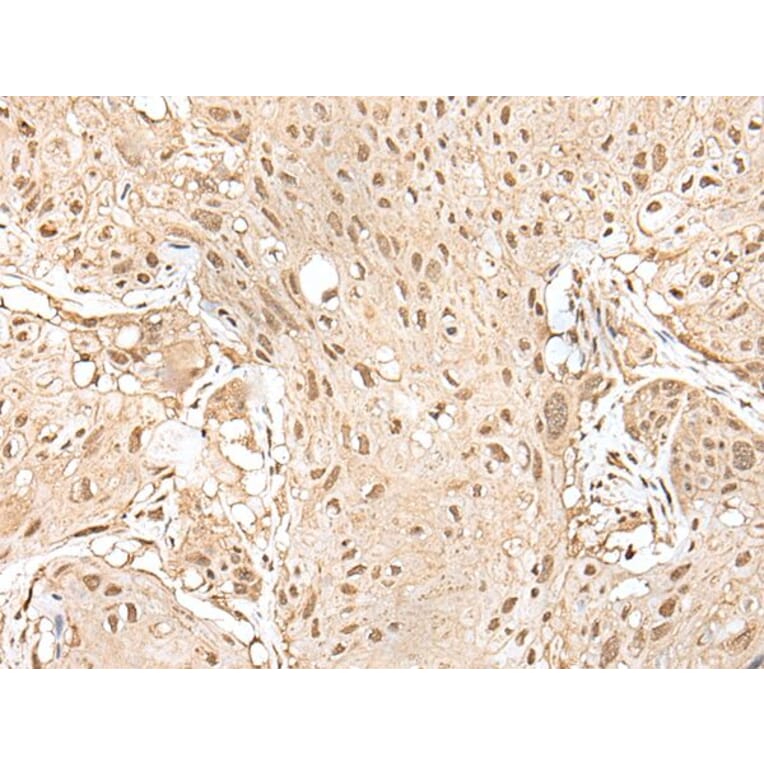
Anti-HOXA9 Antibody (A44488)

Rabbit polyclonal antibody to HOXA9 for IHC and WB.

Shipping Information

$40
Dispatched from St. Louis, MO.
Lead Time: 6-9 business days.
Name
Anti-HOXA9 Antibody
Description
Rabbit polyclonal antibody to HOXA9
Specificity
The antibody detects endogenous levels of total HOXA9 protein.
Applications
IHC, WB
Reactivity
Human, Mouse
Immunogen
Synthetic peptide of human HOXA9
Host
Rabbit
Clonality
Polyclonal
Conjugate

Unconjugated

Purification
Antigen affinity purification
Concentration
0.8 mg/mL
Formulation
Rabbit IgG in pH7.4 PBS, 0.05% NaN3, 40% Glycerol.
Storage
Shipped at 4°C. Upon delivery aliquot and store at -20°C. Avoid freeze/thaw cycles.
Synonyms
Homeobox protein Hox-1G, Homeobox protein Hox-A9, HOX1G
Disclaimer
This product is for research use only. It is not intended for diagnostic or therapeutic use.
Publishing research using Anti-HOXA9 Antibody (A44488)? Please let us know so that we can list the citation on this page.

Alternative products to Anti-HOXA9 Antibody (A44488)

Proteins predicted to interact with HOXA9

Predicted protein interactions based upon String database. Revelancy score correlates with probability of interaction.
99.8% Relevancy Score
99.8% Relevancy Score
96.4% Relevancy Score
95.4% Relevancy Score
94.6% Relevancy Score
93.1% Relevancy Score
91.6% Relevancy Score
89.4% Relevancy Score
88.5% Relevancy Score