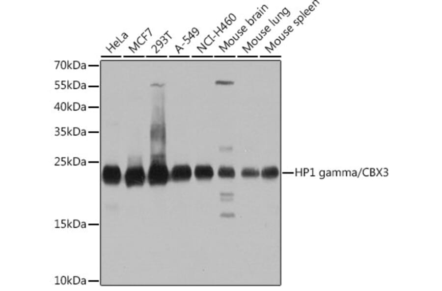
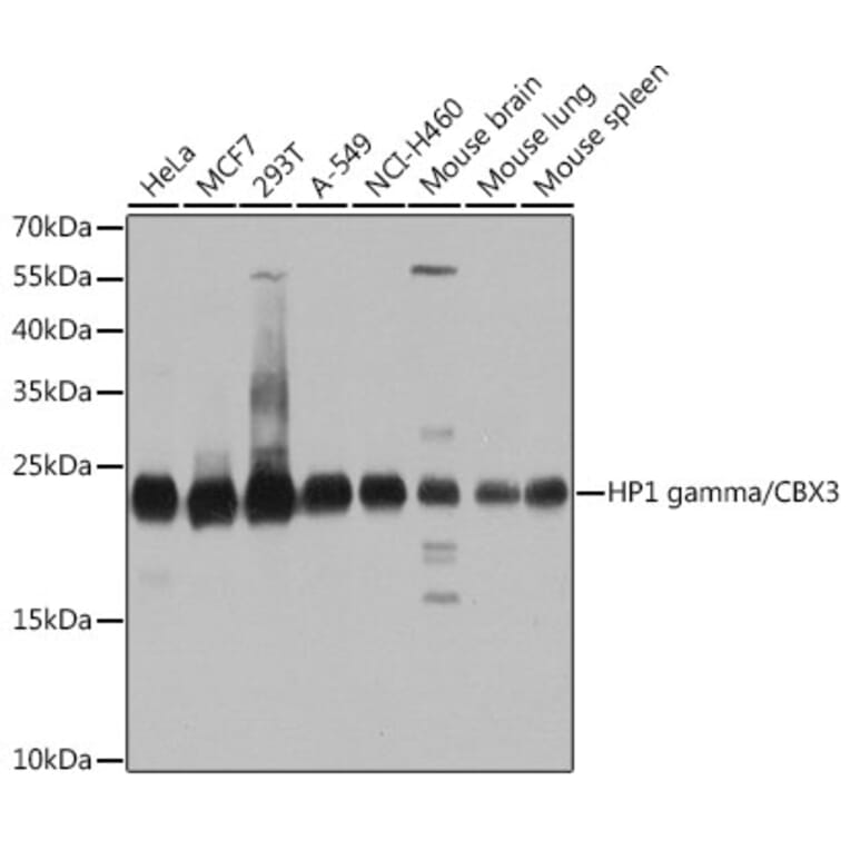
Western Blot - Anti-HP1 gamma/CBX3 Antibody (A11521)
Western blot analysis of extracts of various cell lines, using Anti-HP1 gamma/CBX3 Antibody (A11521) at 1:1,000 dilution. The secondary antibody was Goat Anti-Rabbit IgG H&L Antibody (HRP) at 1:10,000 dilution. Lysates/proteins were present at 25µg per lane. The blocking buffer used was 3% non-fat dry milk in TBST. Detection was with a ECL Basic Kit. Exposure time: 5s.
Western Blot - Anti-HP1 gamma/CBX3 Antibody (A11521)
Western blot analysis of extracts from normal (control) and HP1 gamma/HP1 gamma/CBX3 knockout (KO) 293T cells, using Anti-HP1 gamma/CBX3 Antibody (A11521) at 1:1,000 dilution. The secondary antibody was Goat Anti-Rabbit IgG H&L Antibody (HRP) at 1:10,000 dilution. Lysates/proteins were present at 25µg per lane. The blocking buffer used was 3% non-fat dry milk in TBST. Detection was with a ECL Basic Kit. Exposure time: 1s.
Immunofluorescence analysis of C6 cells using Anti-HP1 gamma/CBX3 Antibody (A11521) at a dilution of 1:100. DAPI was used to stain the cell nuclei (blue).
Immunofluorescence analysis of U-2 OS cells using Anti-HP1 gamma/CBX3 Antibody (A11521) at a dilution of 1:100. DAPI was used to stain the cell nuclei (blue).
Western Blot - Anti-HP1 gamma/CBX3 Antibody (A11521)
Immunoprecipitation analysis of 300µg extracts of HeLa cells using 3µg of Anti-HP1 gamma/CBX3 Antibody (A11521). This Western blot was performed on the immunoprecipitate using Anti-HP1 gamma/CBX3 Antibody (A11521) at a dilution of 1:1000.