Western Blot - Anti-HP1 gamma/CBX3 Antibody (A83707)
HP1 gamma/CBX3 expression in A431 (A), HeLa (B), HepG2 (C), Jurkat (D), and K562 (E) nuclear cell lysate analyzed by western blot. Cells were lysed in RIPA buffer and 35µg protein was run per lane. Primary antibody incubation was performed with Anti-HP1 gamma/CBX3 Antibody (A83707) at 0.03µg/ml and detected by chemiluminescence.
Western Blot - Anti-HP1 gamma/CBX3 Antibody (A83707)
HP1 gamma/CBX3 expression in NIH3T3 nuclear cell lysate analyzed by western blot. Cells were lysed in RIPA buffer and 35µg protein was run per lane. Primary antibody incubation was performed with Anti-HP1 gamma/CBX3 Antibody (A83707) at 0.1µg/ml and detected by chemiluminescence.
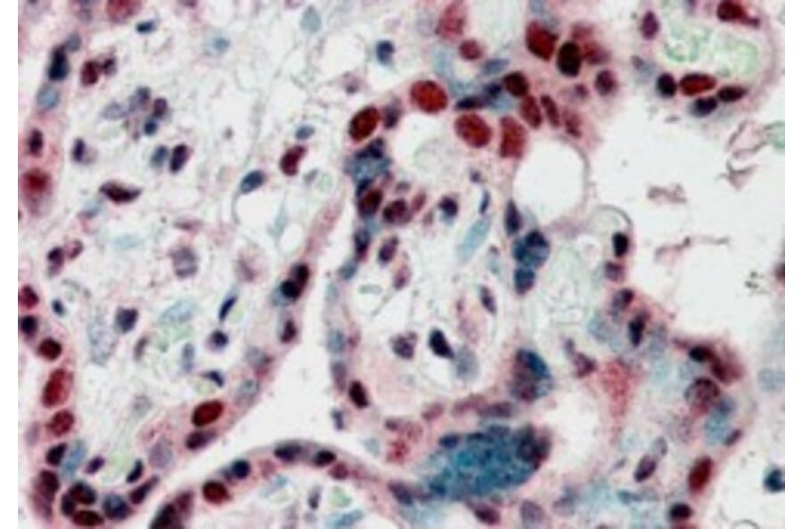
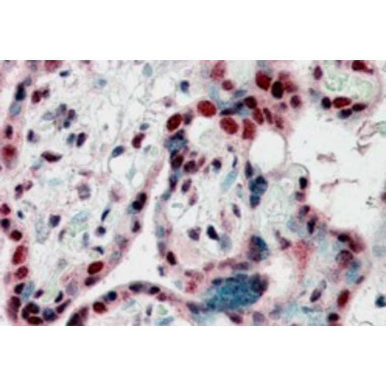
HP1 gamma/CBX3 expression in Human Placenta analyzed by immunohistochemistry. Tissue was paraffin-embedded, and antigen retrieval was achieved by steaming in citrate buffer, pH 6. Staining was performed with Anti-HP1 gamma/CBX3 Antibody (A83707) at 2.5µg/ml and revealed with alkaline phosphatase (AP).
HP1 gamma/CBX3 expression in HeLa cells analyzed by immunofluorescence. Cells were permeabilized with 0.15% Triton. Staining was performed with Anti-HP1 gamma/CBX3 Antibody (A83707) at 10µg/ml for 1 hour and Alexa Fluor 488 secondary antibody at 2µg/ml. Some cytoplasmic and strong nuclear staining shown and nuclei were stained with DAPI (blue). Negative control: Goat IgG Isotype Control at 10µg/ml followed by Alexa Fluor 488 secondary antibody at 2µg/ml.
HP1 gamma/CBX3 expression in U2OS cells analyzed by immunofluorescence. Cells were permeabilized with 0.15% Triton. Staining was performed with Anti-HP1 gamma/CBX3 Antibody (A83707) at 10µg/ml for 1 hour and Alexa Fluor 488 secondary antibody at 2µg/ml. Some cytoplasmic and strong nuclear staining shown and nuclei were stained with DAPI (blue) while actin filaments were stained with phalloidin (red). Negative control: Goat IgG Isotype Control at 10µg/ml followed by Alexa Fluor 488 secondary antibody at 2µg/ml.
HP1 gamma/CBX3 expression in HeLa cells (blue line) analyzed by flow cytometry. Cells were fixed in PFA and permeabilized with 0.5% Triton. Staining was performed with Anti-HP1 gamma/CBX3 Antibody (A83707) at 10µg/ml for 1 hour and Alexa Fluor 488 secondary antibody at 1µg/ml. Negative Control: Goat IgG Isotype Control (black line) followed by Alexa Fluor 488 secondary antibody.