ISO 9001:2015 Certified
Live Customer Support
4.5/5 on Trustpilot
100% Quality Guarantee

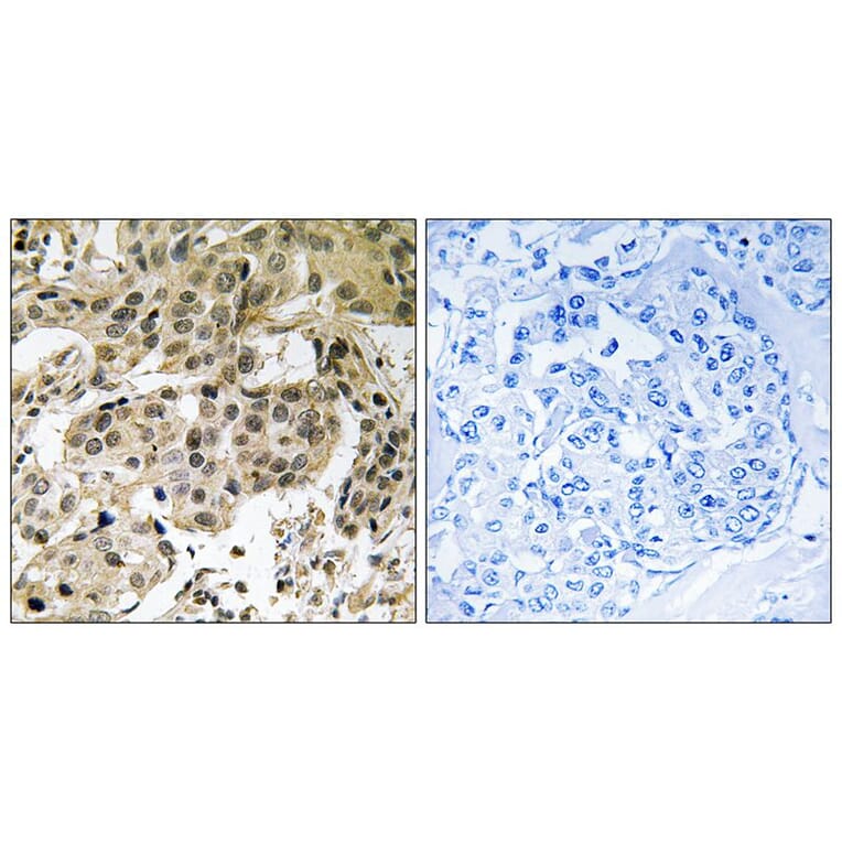
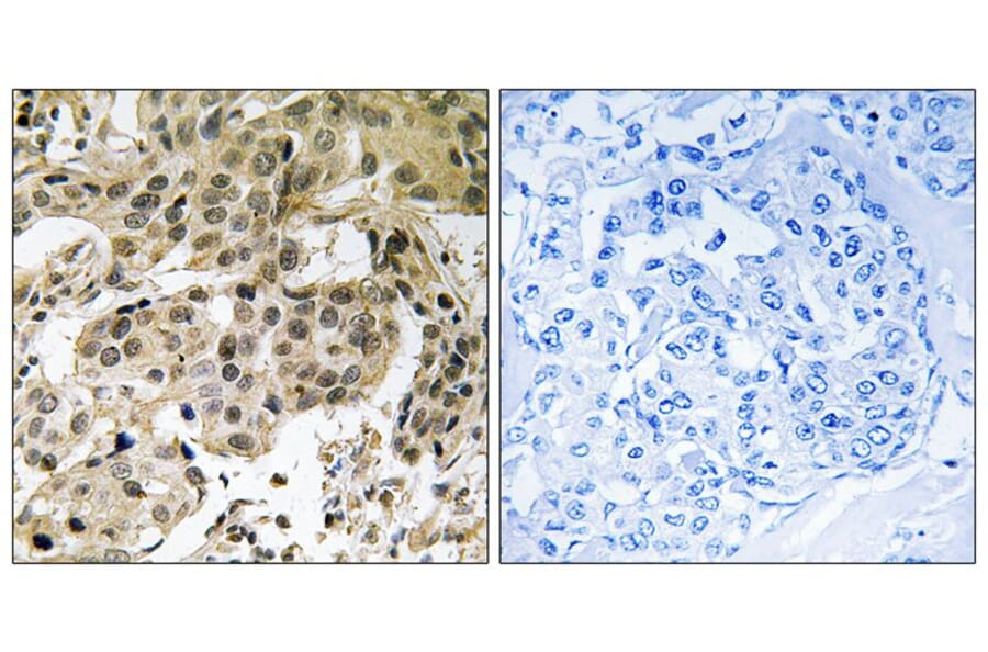
Anti-HP1α (Phospho-Ser92) Antibody (A51465)

$275

Rabbit polyclonal antibody to HP1α (Phospho-Ser92) for IHC.

Shipping Information

$40
Dispatched from St. Louis, MO.
Lead Time: 6-9 business days.
Name
Anti-HP1α (Phospho-Ser92) Antibody
Description
Rabbit polyclonal antibody to HP1α (Phospho-Ser92)
Specificity
The antibody detects endogenous levels of HP1α only when phosphorylated at serine 92.
Applications
IHC
Dilutions
Immunohistochemistry: 1:50~1:100
Reactivity
Human
Immunogen
Peptide sequence around phosphorylation site of Serine 92(R-S-S(p)-N-F) derived from Human HP1α .
Host
Rabbit
Clonality
Polyclonal
Conjugate

Unconjugated

Purification
Antibodies were produced by immunizing rabbits with synthetic phosphopeptide and KLH conjugates. Antibodies were purified by affinity-chromatography using epitope-specific phosphopeptide. Non-phospho specific antibodies were removed by chromatogramphy using non-phosphopeptide.
Concentration
1 mg/ml
Formulation
Rabbit IgG in phosphate buffered saline (without Mg2+ and Ca2+), pH 7.4, 150mM NaCl, 0.02% sodium azide and 50% glycerol.
Storage
Store at -20˚C / 1 year
Disclaimer
This product is for research use only. It is not intended for diagnostic or therapeutic use.
Publishing research using Anti-HP1α (Phospho-Ser92) Antibody (A51465)? Please let us know so that we can list the citation on this page.