ISO 9001:2015 Certified
Live Customer Support
4.5/5 on Trustpilot
100% Quality Guarantee

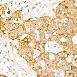
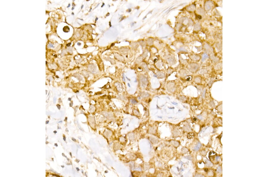
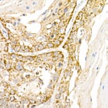
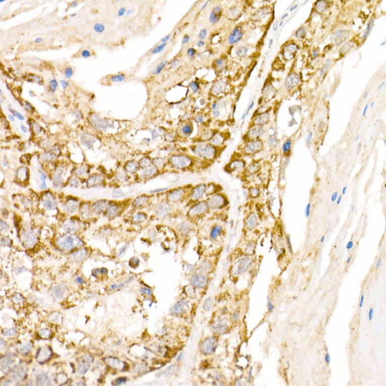
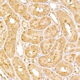
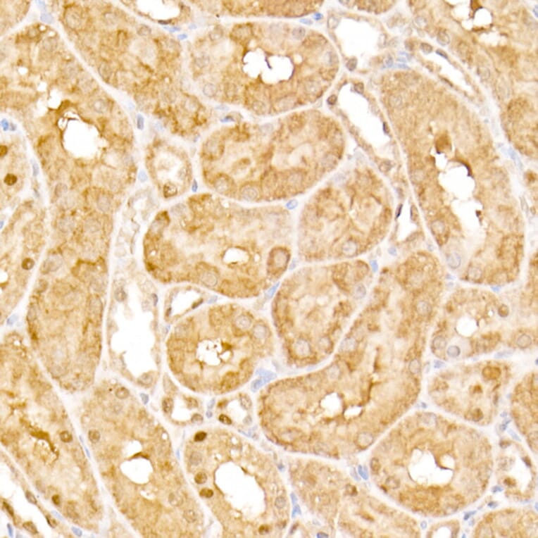
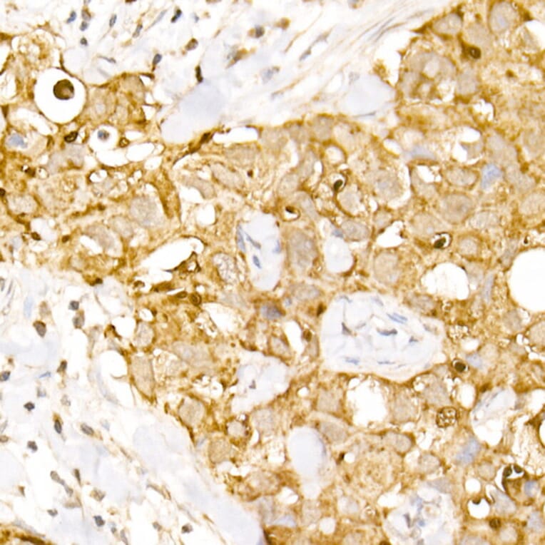
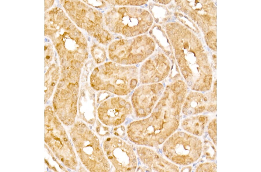
Anti-HPS2 Antibody (A12057)

Rabbit polyclonal antibody to HPS2 for WB and IHC.

Shipping Information

$40
Dispatched from St. Louis, MO.
Lead Time: 7-10 business days.
Name
Anti-HPS2 Antibody
Description
Rabbit polyclonal antibody to HPS2.
Applications
WB, IHC
Dilutions
WB: 1:500-1:2,000, IHC: 1:50-1:200
Reactivity
Human, Mouse, Rat
Immunogen
Recombinant fusion protein containing a sequence corresponding to amino acids 895-1094 of human AP3B1 (NP_003655.3).
Sequence
FGDKMVSIQITLNNTTDRKIENIHIGEKKLPIGMKMHVFNPIDSLEPEGSITVSMGIDFCDSTQTASFQLCTKDDCFNVNIQPPVGELLLPVAMSEKDFKKEQGVLTGMNETSAVIIAAPQNFTPSVIFQKVVNVANVGAVPSGQDNIHRFAAKTVHSGSLMLVTVELKEGSTAQLIINTEKTVIGSVLLRELKPVLSQG
Host
Rabbit
Clonality
Polyclonal
Isotype
IgG
Conjugate

Unconjugated

Purification
Affinity purification.
Concentration
Lot Specific
Molecular Weight
132 kDa
Product Form
Liquid
Formulation
Supplied in Phosphate Buffered Saline, pH 7.3, with 50% Glycerol and 0.02% Sodium Azide.
Storage
Shipped at 4°C. Upon delivery aliquot and store at -20°C. Avoid freeze/thaw cycles.
Synonyms
Adapter related protein complex 3 beta 1 subunit, Adapter-related protein complex 3 subunit beta-1, Adaptor protein complex AP-3 subunit beta-1, Adaptor protein complex AP3 beta1 subunit, ADTB3, ADTB3A, AP-3 complex subunit beta-1, AP3 complex beta1 subunit, AP3B1, AP3B1_HUMAN, Beta-3A-adaptin, Beta3A adaptin, Clathrin assembly protein complex 3 beta 1 large chain, Clathrin assembly protein complex 3 beta-1 large chain, HPS, PE
Disclaimer
This product is for research use only. It is not intended for diagnostic or therapeutic use.
Publishing research using Anti-HPS2 Antibody (A12057)? Please let us know so that we can list the citation on this page.

Alternative products to Anti-HPS2 Antibody (A12057)