ISO 9001:2015 Certified
Live Customer Support
4.5/5 on Trustpilot
100% Quality Guarantee

Anti-HPV-18 Antibody [HPV18/1297] - BSA and Azide free (A254025)

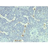
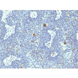
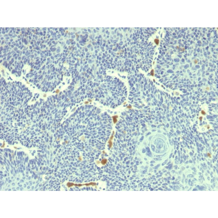
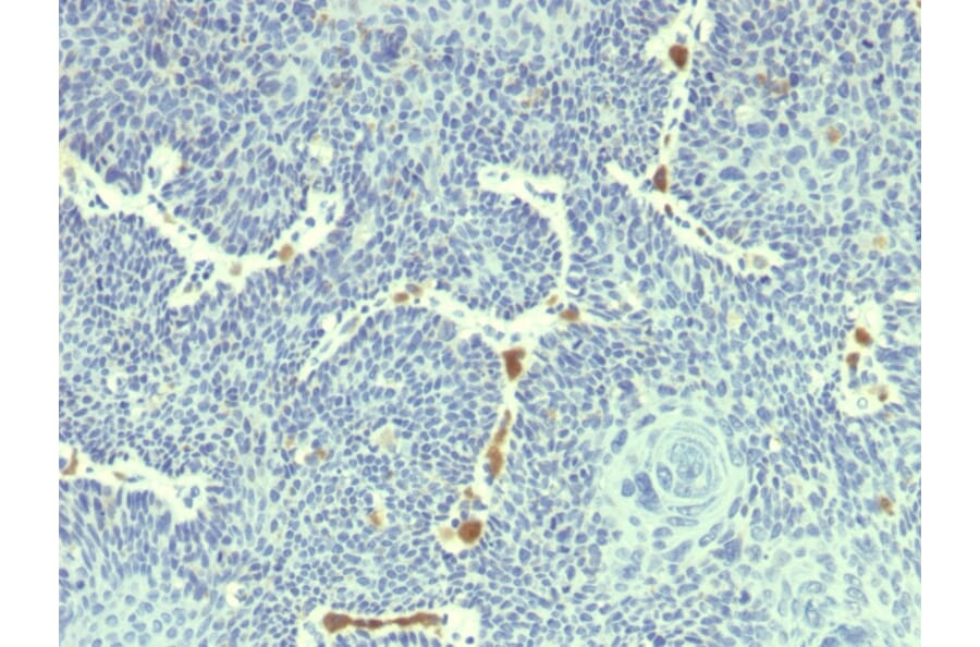
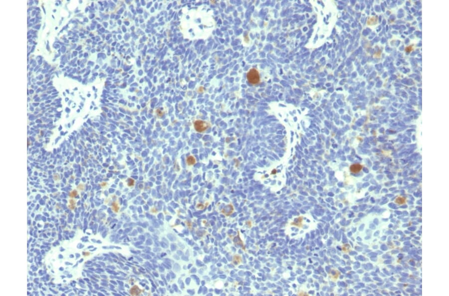
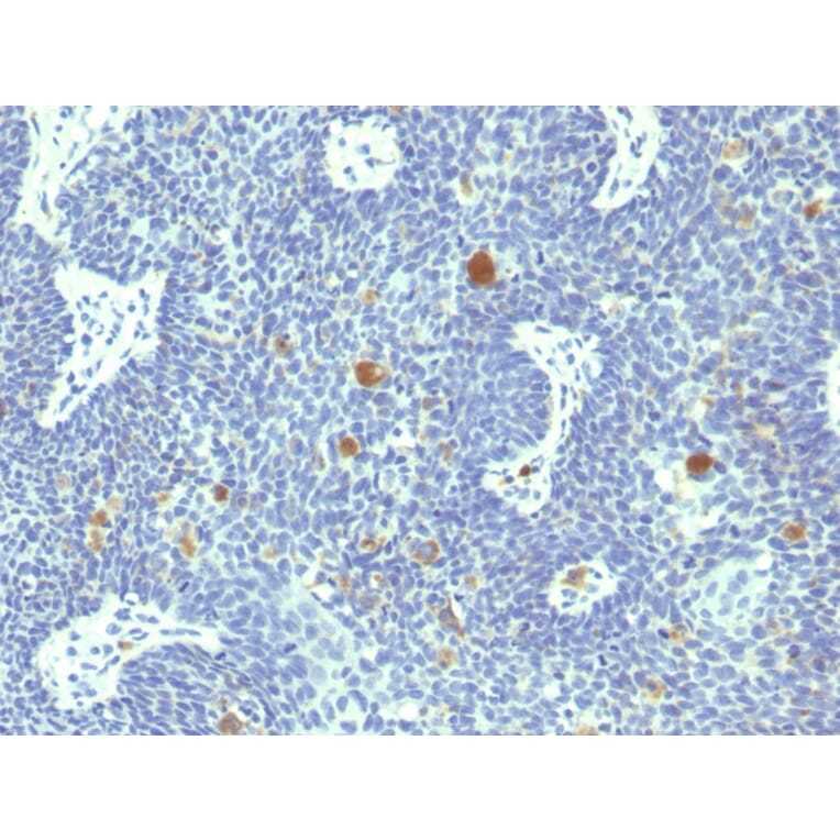
Mouse monoclonal [HPV18/1297] antibody to HPV-18 for IHC-P.

Alternative Formats and ConjugatesAlternative Formats

Shipping Information

$40
Dispatched from St. Louis, MO.
Lead Time: 5-8 business days.
Name
Anti-HPV-18 Antibody [HPV18/1297] - BSA and Azide free
Description
Mouse monoclonal [HPV18/1297] antibody to HPV-18.
Applications
IHC-P
Dilutions
IHC-P: 1-2 µg/ml
Reactivity
HPV-16
Immunogen
HPV18 E6-beta Galactosidase fusion protein.
Host
Mouse
Clonality
Monoclonal
Clone ID
HPV18/1297
Isotype
IgG1
Light Chains
kappa
Conjugate

Unconjugated

Purification
Protein A/G chromatography.
Concentration
1 mg/ml
Molecular Weight
16 kDa
Product Form
Liquid
Formulation
Supplied in 10mM Phosphate Buffered Saline; without Sodium Azide and carrier free.
Storage
Shipped at 4°C. Upon delivery aliquot and store at -20°C. Avoid freeze / thaw cycles.
General Notes
This monoclonal antibody is also available in a different formulation with BSA and Sodium Azide - Anti-HPV-18 Antibody [HPV18/1297] (A250845).
Disclaimer
This product is for research use only. It is not intended for diagnostic or therapeutic use.
Publishing research using Anti-HPV-18 Antibody [HPV18/1297] - BSA and Azide free (A254025)? Please let us know so that we can list the citation on this page.