ISO 9001:2015 Certified
Live Customer Support
4.5/5 on Trustpilot
100% Quality Guarantee

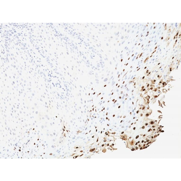
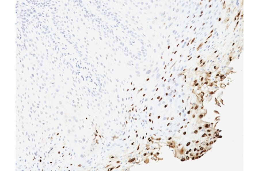
Anti-HPV16 L1 Antibody [SPM257] - BSA and Azide free (A254088)

Mouse monoclonal [SPM257] antibody to HPV16 L1 for IF and IHC-P.

Alternative Formats and ConjugatesAlternative Formats

Shipping Information

$40
Dispatched from St. Louis, MO.
Lead Time: 5-8 business days.
Name
Anti-HPV16 L1 Antibody [SPM257] - BSA and Azide free
Description
Mouse monoclonal [SPM257] antibody to HPV16 L1.
Specificity
This antibody reacts very strongly with formalin-fixed, paraffin-embedded tissues containing HPV-16 or HPV-33. Very weak reactions were occasionally observed with biopsy specimens or smears containing HPV-6 or HPV-11. It cross-reacts with HPV-37.
Applications
IF, IHC-P
Dilutions
IF: 1-2 µg/ml, IHC-P: 1-2 µg/ml
Reactivity
HPV-16
Immunogen
Human papilloma virus type 16, major capsid protein L1.
Host
Mouse
Clonality
Monoclonal
Clone ID
SPM257
Isotype
IgG2a
Light Chains
kappa
Conjugate

Unconjugated

Purification
Protein A/G chromatography.
Concentration
1 mg/ml
Molecular Weight
57 kDa
Product Form
Liquid
Formulation
Supplied in 10mM Phosphate Buffered Saline; without Sodium Azide and carrier free.
Storage
Shipped at 4°C. Upon delivery aliquot and store at -20°C. Avoid freeze / thaw cycles.
General Notes
This monoclonal antibody is also available in a different formulation with BSA and Sodium Azide - Anti-HPV16 L1 Antibody [SPM257] (A250908).
Disclaimer
This product is for research use only. It is not intended for diagnostic or therapeutic use.
Publishing research using Anti-HPV16 L1 Antibody [SPM257] - BSA and Azide free (A254088)? Please let us know so that we can list the citation on this page.

Alternative products to Anti-HPV16 L1 Antibody [SPM257] - BSA and Azide free (A254088)