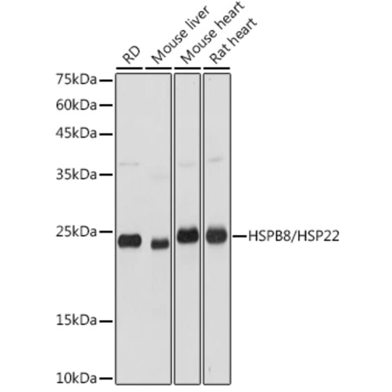
Western blot analysis of extracts of various cell lines, using Anti-Hsp22/HSPB8 Antibody (A14023) at 1:3,000 dilution. The secondary antibody was Goat Anti-Rabbit IgG H&L Antibody (HRP) at 1:10,000 dilution. Lysates/proteins were present at 25µg per lane. The blocking buffer used was 3% non-fat dry milk in TBST. Detection was with a ECL Basic Kit. Exposure time: 1s.
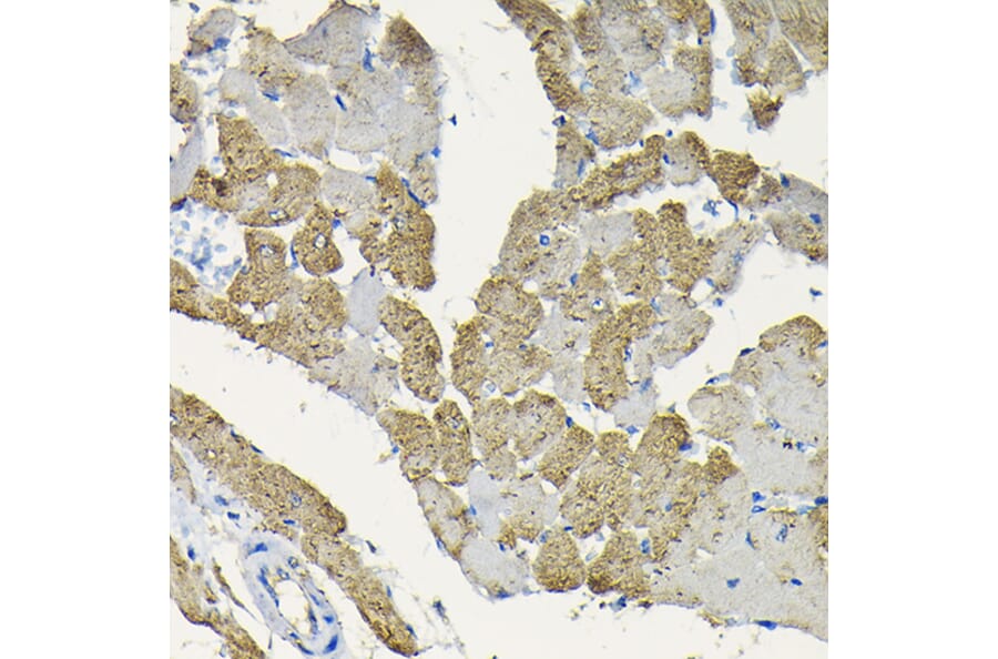
Immunohistochemistry analysis of paraffin-embedded rat heart using Anti-Hsp22/HSPB8 Antibody (A14023) at a dilution of 1:100 (40x lens). Perform high pressure antigen retrieval with 10 mM citrate buffer pH 6.0 before commencing with IHC staining protocol.
Immunofluorescence analysis of rat heart using Anti-Hsp22/HSPB8 Antibody (A14023) at a dilution of 1:100 (40x lens). DAPI was used to stain the cell nuclei (blue).
Immunofluorescence analysis of mouse heart using Anti-Hsp22/HSPB8 Antibody (A14023) at a dilution of 1:100 (40x lens). DAPI was used to stain the cell nuclei (blue).
Publishing research using Anti-Hsp22/HSPB8 Antibody (A14023)? Please let us know so that we can list the citation on this page.