ISO 9001:2015 Certified
Live Customer Support
4.5/5 on Trustpilot
100% Quality Guarantee

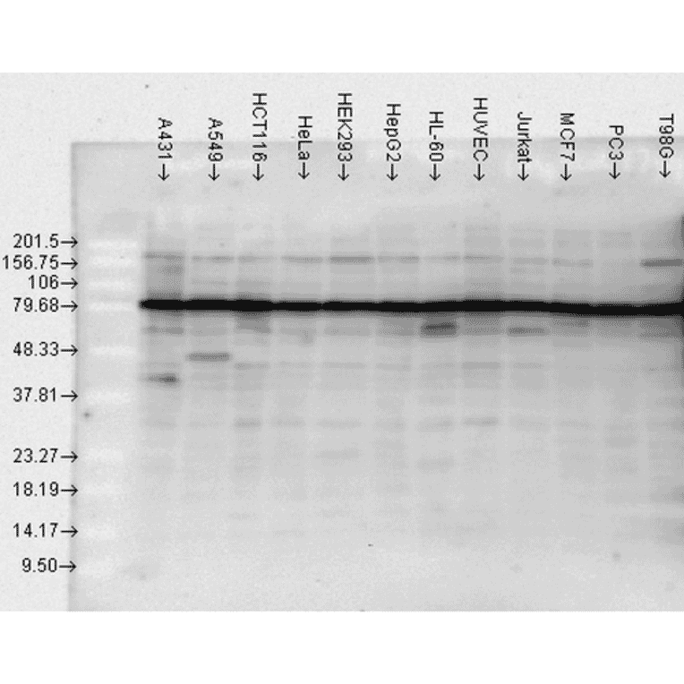
Anti-HSP90 Antibody (A305030)

Rabbit polyclonal antibody to HSP90 for WB, IHC, ICC/IF, IP and ELISA.

Shipping Information

$40
Dispatched from St. Louis, MO.
Lead Time: 5-8 business days.
Name
Anti-HSP90 Antibody
Description
Rabbit polyclonal antibody to HSP90.
Applications
WB, IHC, ICC/IF, IP, ELISA
Dilutions
WB: 1:500, IHC: 1:100, ICC/IF: 1:100
Reactivity
Human, Mouse, Rat
Immunogen
Full length Human Hsp90 protein.
Host
Rabbit
Clonality
Polyclonal
Isotype
IgG
Conjugate

Unconjugated

Purification
Protein A purification.
Concentration
1 mg/ml
Molecular Weight
~90 kDa
Product Form
Liquid
Formulation
Supplied in Phosphate Buffered Saline, pH 7.4, with 50% Glycerol and 0.09% Sodium Azide.
Storage
Shipped at 4°C. Upon delivery aliquot and store at -20°C. Avoid freeze / thaw cycles.
Synonyms
Heat shock 86 kDa, Heat shock protein 90kDa alpha cytosolic class A member 1, Heat shock protein 90kDa alpha cytosolic class B member 1, Heat shock protein HSP 90 alpha, Heat shock protein HSP 90 beta, Heat shock protein HSP 90-alpha, HS90A_HUMAN, HSP 84, HSP 86, Hsp 90, HSP86, HSP90A, HSP90AA1, HSP90AB1, HSP90B, HSPC1, HSPC2, HSPCAL1, HSPCAL4, Renal carcinoma antigen NY-REN-38
Disclaimer
This product is for research use only. It is not intended for diagnostic or therapeutic use.
Publishing research using Anti-HSP90 Antibody (A305030)? Please let us know so that we can list the citation on this page.

Alternative products to Anti-HSP90 Antibody (A305030)