ISO 9001:2015 Certified
Live Customer Support
4.5/5 on Trustpilot
100% Quality Guarantee

Anti-HSP90 beta Antibody [HSP90AB1/3951] - BSA and Azide free (A252058)

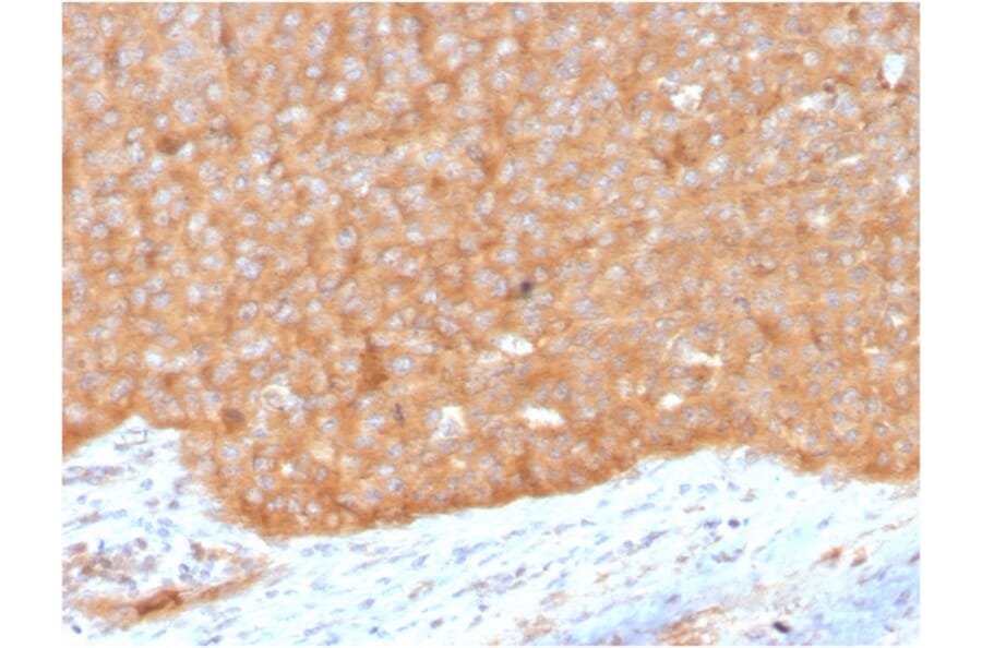
Mouse monoclonal [HSP90AB1/3951] antibody to HSP90 beta for WB and IHC-P.

Alternative Formats and ConjugatesAlternative Formats

Shipping Information

$40
Dispatched from St. Louis, MO.
Lead Time: 5-8 business days.
Name
Anti-HSP90 beta Antibody [HSP90AB1/3951] - BSA and Azide free
Description
Mouse monoclonal [HSP90AB1/3951] antibody to HSP90 beta.
Specificity
This gene encodes a member of the heat shock protein 90 family; these proteins are involved in signal transduction, protein folding and degradation and morphological evolution. This gene encodes the constitutive form of the cytosolic 90 kDa heat-shock protein and is thought to play a role in gastric apoptosis and inflammation. Alternative splicing results in multiple transcript variants. Pseudogenes have been identified on multiple chromosomes.
Applications
WB, IHC-P
Dilutions
WB: 1-2 µg/ml, IHC-P: 1-2 µg/ml
Reactivity
Human
Immunogen
Recombinant fragment, around amino acids 581-704, of human HSP90AB1 protein. The exact sequence is proprietary.
Host
Mouse
Clonality
Monoclonal
Clone ID
HSP90AB1/3951
Isotype
IgG1
Light Chains
kappa
Conjugate

Unconjugated

Purification
Protein A/G chromatography.
Concentration
1 mg/ml
Molecular Weight
90 kDa
Product Form
Liquid
Formulation
Supplied in 10mM Phosphate Buffered Saline; without Sodium Azide and carrier free.
Storage
Shipped at 4°C. Upon delivery aliquot and store at -20°C. Avoid freeze / thaw cycles.
General Notes
This monoclonal antibody is also available in a different formulation with BSA and Sodium Azide - Anti-HSP90 beta Antibody [HSP90AB1/3951] (A248878).
Synonyms
Heat shock 84 kDa, Heat shock protein family C member 3, Heat shock protein HSP 90-beta, HSP 84, HSP 90, HSP84, HSP90AB1, HSP90B, HSPC2, HSPC3, HSPCB
Disclaimer
This product is for research use only. It is not intended for diagnostic or therapeutic use.
Publishing research using Anti-HSP90 beta Antibody [HSP90AB1/3951] - BSA and Azide free (A252058)? Please let us know so that we can list the citation on this page.

Alternative products to Anti-HSP90 beta Antibody [HSP90AB1/3951] - BSA and Azide free (A252058)

Proteins predicted to interact with HSP90 beta

Predicted protein interactions based upon String database. Revelancy score correlates with probability of interaction.
99.9% Relevancy Score
99.9% Relevancy Score
99.9% Relevancy Score
99.9% Relevancy Score
99.9% Relevancy Score
99.9% Relevancy Score
99.9% Relevancy Score
99.9% Relevancy Score
99.9% Relevancy Score