ISO 9001:2015 Certified
Live Customer Support
4.5/5 on Trustpilot
100% Quality Guarantee

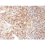
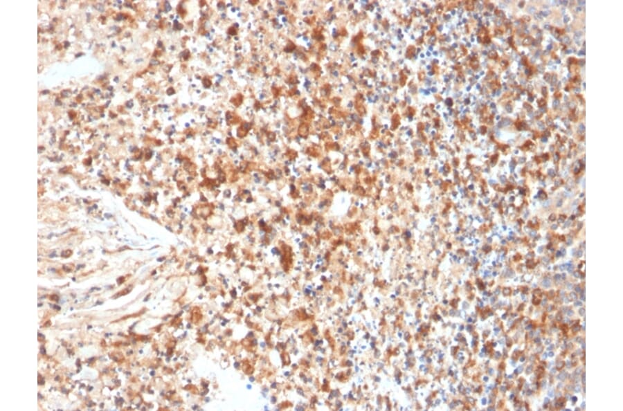
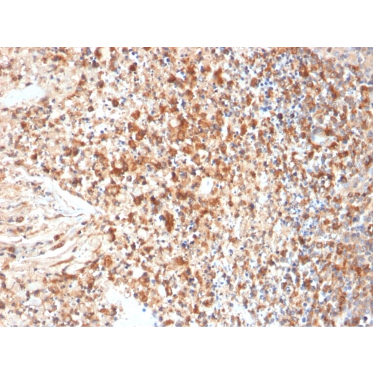
Anti-HSV1 Antibody [HSVI/2095] - BSA and Azide free (A254163)

Mouse monoclonal [HSVI/2095] antibody to HSV1 for IHC-P.

Alternative Formats and ConjugatesAlternative Formats

Shipping Information

$40
Dispatched from St. Louis, MO.
Lead Time: 5-8 business days.
Name
Anti-HSV1 Antibody [HSVI/2095] - BSA and Azide free
Description
Mouse monoclonal [HSVI/2095] antibody to HSV1.
Specificity
The antibody reacts with HSV type 1 specific antigen. It is suitable for detection of HSV in human cellular material obtained from superficial lesions or biopsies and for the early identification of HSV in infected tissue cultures. The herpes simplex virus (HSV) (also known as cold sore, night fever or fever blister) is a virus that causes a contagious disease. There are two main types of Herpes Simplex Virus (HSV), 1 and 2. The HSV-1 strain generally appears in the orafacial organs. HSV2 usually resides in the sacral ganglion at the base of the spine. All herpes viruses are morphologically identical: they have a large double-stranded DNA genome and the virion consists of an icosahedral nucleo-capsid, which is surrounded by a lipid bilayer envelope. UL42, the processivity subunit of the HSV-1DNA polymerase binds DNA as a monomer and is essential for the replication of the virus. UL42 reduces the rate of dissociation from primer-template DNA, but it does not reduce the rate of elongation. UL42 increases the ability of UL9 to load onto DNA, thus increasing its assembly into a functional complex that is capable of unwinding duplex DNA.
Applications
IHC-P
Dilutions
IHC-P: 1-2 µg/ml
Reactivity
Herpes Simplex Virus 1
Immunogen
Baculovirus-expressed HSV DNA polymerase (POL) and POL/UL42 complex.
Host
Mouse
Clonality
Monoclonal
Clone ID
HSVI/2095
Isotype
IgG1
Light Chains
kappa
Conjugate

Unconjugated

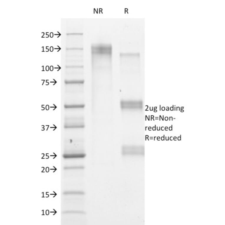
Purification
Protein A/G chromatography.
Concentration
1 mg/ml
Molecular Weight
61 kDa
Product Form
Liquid
Formulation
Supplied in 10mM Phosphate Buffered Saline; without Sodium Azide and carrier free.
Storage
Shipped at 4°C. Upon delivery aliquot and store at -20°C. Avoid freeze / thaw cycles.
General Notes
This monoclonal antibody is also available in a different formulation with BSA and Sodium Azide - Anti-HSV1 Antibody [HSVI/2095] (A250983).
Disclaimer
This product is for research use only. It is not intended for diagnostic or therapeutic use.
Publishing research using Anti-HSV1 Antibody [HSVI/2095] - BSA and Azide free (A254163)? Please let us know so that we can list the citation on this page.

Alternative products to Anti-HSV1 Antibody [HSVI/2095] - BSA and Azide free (A254163)