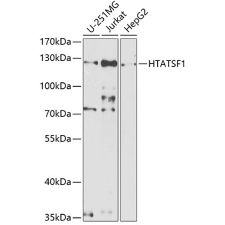
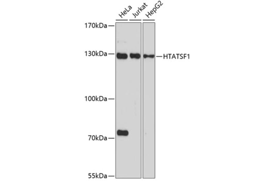
HTATSF1 expression in various lysates analyzed by western blot. Primary antibody incubation was performed for 1 hour on 25ug protein per lane with Anti-HTATSF1 Antibody (A11906) at a dilution of 1:1000 and detected with chemiluminescence.
HTATSF1 expression in various lysates analyzed by western blot. Primary antibody incubation was performed for 1 hour on 25ug protein per lane with Anti-HTATSF1 Antibody (A11906) at a dilution of 1:1000 and detected with chemiluminescence.
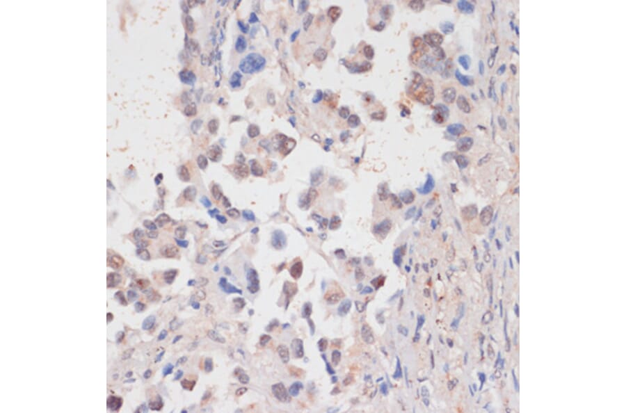
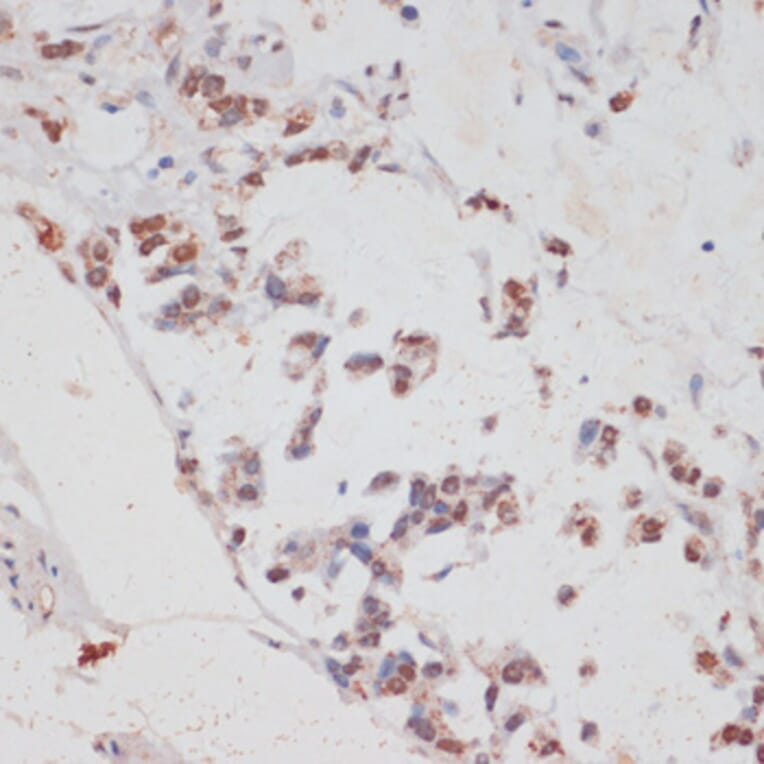
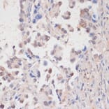
HTATSF1 expression in human lung cancer tissue analyzed by immunohistochemistry. Tissue was paraffin-embedded, and antigen retrieval was achieved by microwaving in 10 mM PBS buffer, pH 7.2. Staining was performed with Anti-HTATSF1 Antibody (A11906) at a dilution of 1:100.
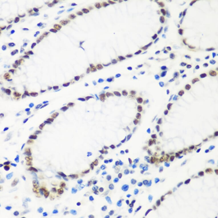
HTATSF1 expression in human stomach tissue analyzed by immunohistochemistry. Tissue was paraffin-embedded, and antigen retrieval was achieved by microwaving in 10 mM PBS buffer, pH 7.2. Staining was performed with Anti-HTATSF1 Antibody (A11906) at a dilution of 1:100.
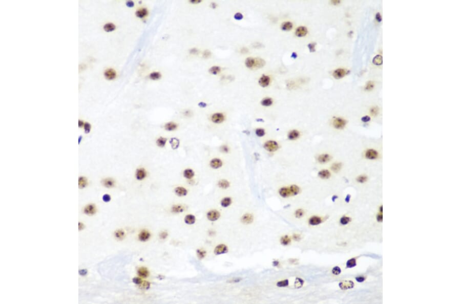
HTATSF1 expression in mouse brain tissue analyzed by immunohistochemistry. Tissue was paraffin-embedded, and antigen retrieval was achieved by microwaving in 10 mM PBS buffer, pH 7.2. Staining was performed with Anti-HTATSF1 Antibody (A11906) at a dilution of 1:100.
HTATSF1 expression in human lung cancer tissue analyzed by immunohistochemistry. Tissue was paraffin-embedded, and antigen retrieval was achieved by microwaving in 10 mM PBS buffer, pH 7.2. Staining was performed with Anti-HTATSF1 Antibody (A11906) at a dilution of 1:100.
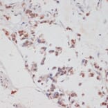
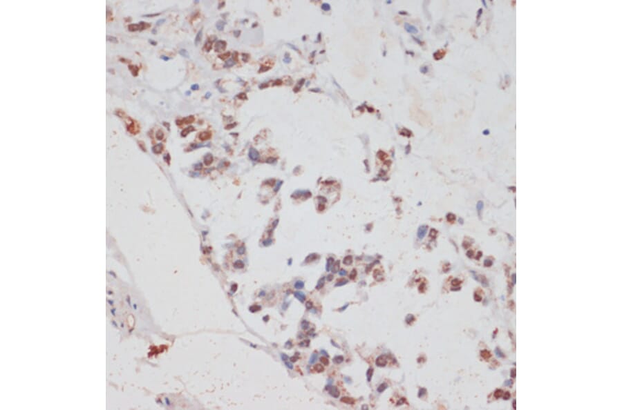
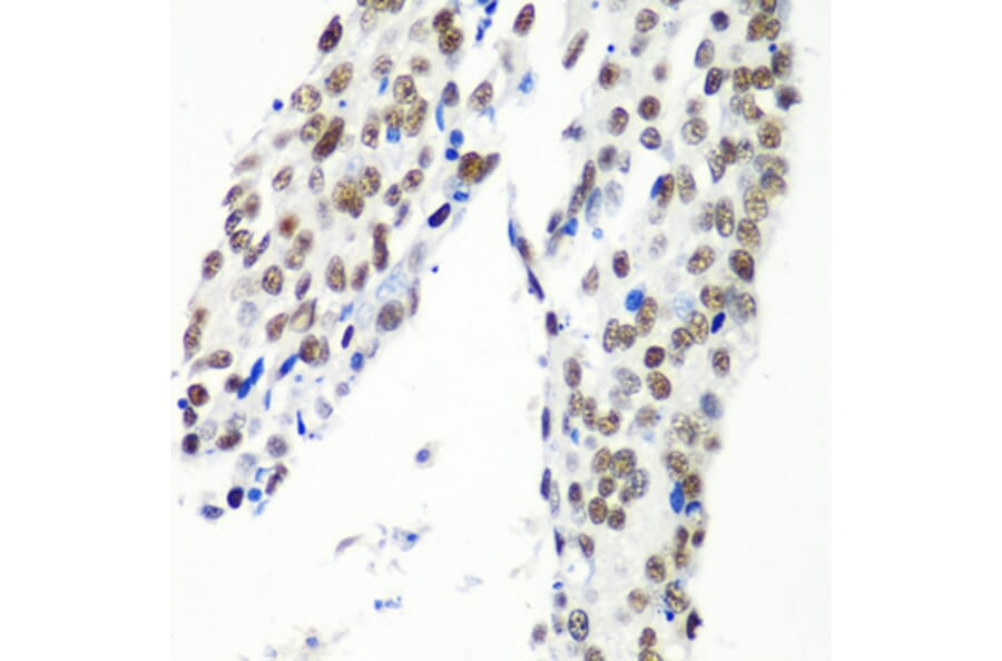
HTATSF1 expression in human gastric cancer tissue analyzed by immunohistochemistry. Tissue was paraffin-embedded, and antigen retrieval was achieved by microwaving in 10 mM PBS buffer, pH 7.2. Staining was performed with Anti-HTATSF1 Antibody (A11906) at a dilution of 1:100.
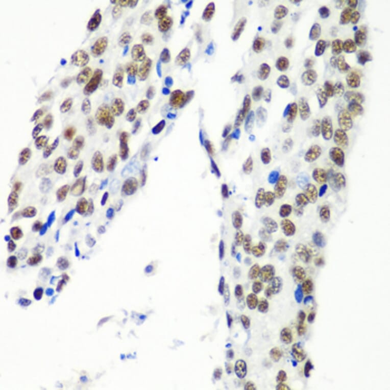
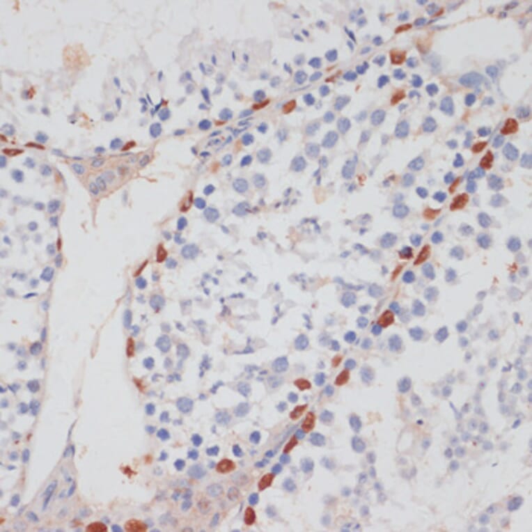
HTATSF1 expression in mouse testis tissue analyzed by immunohistochemistry. Tissue was paraffin-embedded, and antigen retrieval was achieved by microwaving in 10 mM PBS buffer, pH 7.2. Staining was performed with Anti-HTATSF1 Antibody (A11906) at a dilution of 1:100.
HTATSF1 expression in C6 cells analyzed by immunofluorescence. Staining was performed with Anti-HTATSF1 Antibody (A11906) at a dilution of 1:100 followed by Cy3-conjugated Goat anti-Rabbit IgG (H+L) secondary antibody at a dilution of 1:500. Nuclei were stained with DAPI (blue).