Primary Antibodies
Secondary Antibodies
Proteins & Peptides
ELISA Kits
About Us
Contact Us
Sign In/Register
0
ISO 9001:2015 Certified
Live Customer Support
4.5/5 on Trustpilot
100% Quality Guarantee
Home
Primary Antibodies
Anti-HuD E Antibody (A93412)
Anti-HuD E Antibody (A93412)
Overview
Specifications
Images
Enlarge Image
$580
Product Datasheet
Mouse oligoclonal antibody to HuDE (Biotin) for WB, IHC, IHC-P and ChIP.
100% Guarantee
Price Match Guarantee
Product Size:
100µg
Quantity:
1
2
3
4
5
6
7
8
9
10
Add To Cart
Request a Quotation
Custom or Bulk Request
Shipping Information
Freight/Packing Charges:
$40
Dispatched from St. Louis, MO.
Lead Time: 6-9 business days.
Specifications
Name
Anti-HuD E Antibody
Description
Mouse oligoclonal antibody to HuDE (Biotin).
Applications
WB
,
IHC
,
IHC-P
,
ChIP
Immunogen
Synthetic peptide of HuD E.
Host
Mouse
Clonality
Oligoclonal
Conjugate
Biotin
Purification
Protein A chromatography.
Product Form
Liquid
Formulation
Supplied in Phosphate Buffered Saline, pH 7.2.
Storage
Shipped at 4°C. Upon delivery aliquot and store at -20°C. Avoid freeze / thaw cycles.
Disclaimer
This product is for research use only. It is not intended for diagnostic or therapeutic use.
Scientific Validation Data
Validation Data
(1)
Enlarge Image
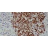
Anti-HuD E Antibody (A93412)
Immunohistochemical analysis of HuD E using Anti-HuDE Antibody.
Publishing research using Anti-HuD E Antibody (A93412)? Please
let us know
so that we can list the citation on this page.
Top