ISO 9001:2015 Certified
Live Customer Support
4.5/5 on Trustpilot
100% Quality Guarantee

Recombinant Anti-Human IgA Heavy Chain Antibody [IGHA/3877R] - BSA and Azide free (A278588)

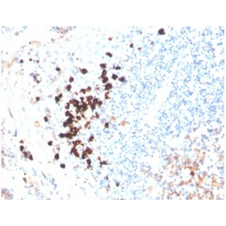
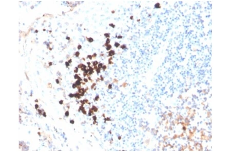
Recombinant rabbit monoclonal [IGHA/3877R] antibody to Human IgA Heavy Chain for IHC-P.

Alternative Formats and ConjugatesAlternative Formats

Shipping Information

$40
Dispatched from St. Louis, MO.
Lead Time: 5-8 business days.
Name
Anti-Human IgA Heavy Chain Antibody [IGHA/3877R] - BSA and Azide free
Description
Recombinant rabbit monoclonal [IGHA/3877R] antibody to Human IgA Heavy Chain.
Specificity
This antibody is specific to heavy chain of IgA and shows minimal cross-reaction with heavy chains of other immunoglobulins. It is reactive with both IgA1 and IgA2 subclasses of Alpha heavy chain. It reacts with the third constant domain (CH3) of the alpha chain of IgA molecules. Immunoglobulins are four-chain, Y-shaped, monomeric structures comprised of two identical heavy chains and two identical light chains held together through inter-chain disulfide bonds. The chains form two domains, the Fab (antigen binding) fragment and the Fc (constant) fragment. Immunoglobulin A (IgA) is the main protein of the mucosal immune system. It is generated by B-cells in gut-associated lymphoid tissues. Daily production of IgA exceeds that of any of the other immunoglobulins.IgA exists mainly in dimers but can also exist as polymers or as monomers. Dimers and polymers contain a joining (J) chain that can be bound by the polymeric immunoglobulin receptor (pIgR) for transportation of the molecule to mucosal surfaces. The most common feature of plasmacytomas, and certain non-Hodgkin s lymphomas is the restricted expression of a single heavy chain class. Demonstration of clonality in lymphoid infiltrates indicates that the infiltrate is clonal and therefore malignant.
Applications
IHC-P
Dilutions
IHC-P: 1-2 µg/ml
Reactivity
Human
Immunogen
Recombinant full-length human IGHA1 and IGHA2 proteins.
Host
Rabbit
Clonality
Monoclonal
Clone ID
IGHA/3877R
Isotype
IgG
Conjugate

Unconjugated

Purification
Protein A/G chromatography.
Concentration
1 mg/ml
Molecular Weight
50-75 kDa
Product Form
Liquid
Formulation
Supplied in 10mM Phosphate Buffered Saline; without Sodium Azide and carrier free.
Storage
Shipped at 4°C. Upon delivery aliquot and store at -20°C. Avoid freeze / thaw cycles.
General Notes
This monoclonal antibody is also available in a different formulation with BSA and Sodium Azide - Anti-Human IgA Heavy Chain Antibody [IGHA/3877R] (A278000).
Disclaimer
This product is for research use only. It is not intended for diagnostic or therapeutic use.
Publishing research using Recombinant Anti-Human IgA Heavy Chain Antibody [IGHA/3877R] - BSA and Azide free (A278588)? Please let us know so that we can list the citation on this page.