ISO 9001:2015 Certified
Live Customer Support
4.5/5 on Trustpilot
100% Quality Guarantee

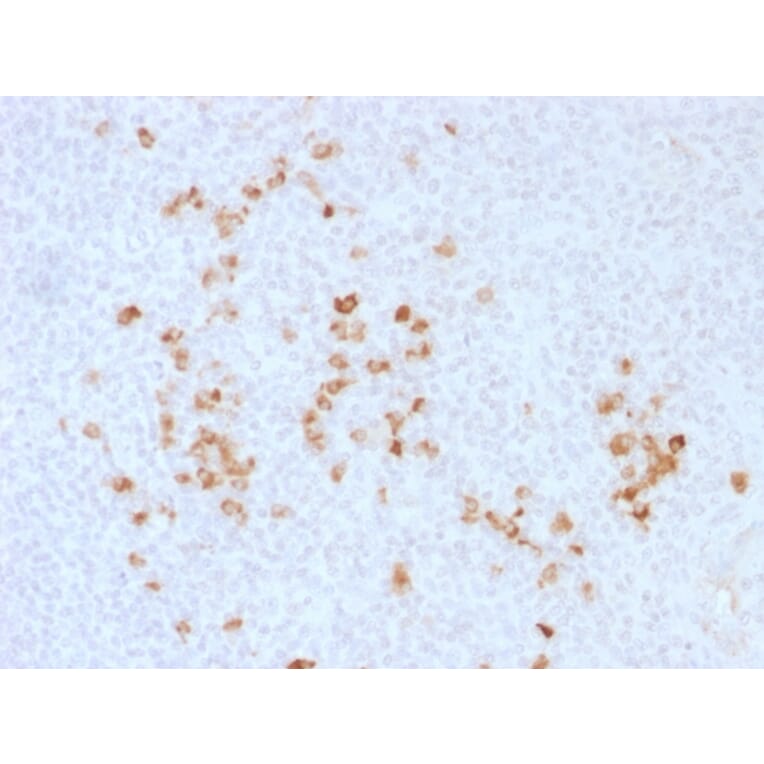
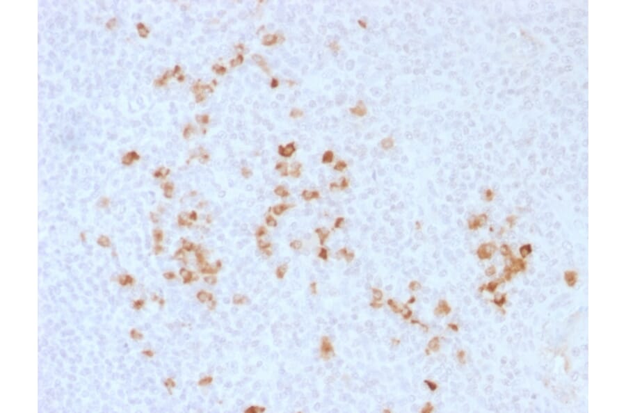
Anti-Human IgG Heavy Chain Antibody - BSA and Azide free (A252129)

Rabbit polyclonal antibody to Human IgG Heavy Chain for IHC-P.

Alternative Formats and ConjugatesAlternative Formats

Shipping Information

$40
Dispatched from St. Louis, MO.
Lead Time: 5-8 business days.
Name
Anti-Human IgG Heavy Chain Antibody - BSA and Azide free
Description
Rabbit polyclonal antibody to Human IgG Heavy Chain.
Specificity
This antibody recognizes a protein of 75kDa, identified as gamma heavy chain of human immunoglobulins. It does not cross-react with alpha (IgA), mu (IgM), epsilon (IgE), or delta (IgD), heavy chains, T-cells, monocytes, granulocytes, or erythrocytes. This antibody is useful in the identification of leukemias, plasmacytomas, and certain non-Hodgkins lymphomas. The most common feature of these malignancies is the restricted expression of a single heavy chain class. Demonstration of clonality in lymphoid infiltrates indicates that the infiltrate is clonal and therefore malignant.
Applications
IHC-P
Dilutions
IHC-P: 1-2 µg/ml
Reactivity
Human
Immunogen
Purified human Ig gamma chain.
Host
Rabbit
Clonality
Polyclonal
Isotype
IgG
Conjugate

Unconjugated

Purification
Protein A chromatography.
Concentration
1 mg/ml
Molecular Weight
75 kDa
Product Form
Liquid
Formulation
Supplied in 10mM Phosphate Buffered Saline; without Sodium Azide and carrier free.
Storage
Shipped at 4°C. Upon delivery aliquot and store at -20°C. Avoid freeze / thaw cycles.
General Notes
This monoclonal antibody is also available in a different formulation with BSA and Sodium Azide - Anti-Human IgG Heavy Chain Antibody (A248949).
Disclaimer
This product is for research use only. It is not intended for diagnostic or therapeutic use.
Publishing research using Anti-Human IgG Heavy Chain Antibody - BSA and Azide free (A252129)? Please let us know so that we can list the citation on this page.