ISO 9001:2015 Certified
Live Customer Support
4.5/5 on Trustpilot
100% Quality Guarantee

Anti-Human IgG Heavy Chain Antibody [IG266] - BSA and Azide free (A252122)

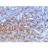
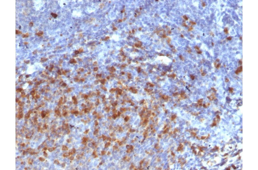
Mouse monoclonal [IG266] antibody to Human IgG Heavy Chain for Flow Cytometry, IF and IHC-P.

Alternative Formats and ConjugatesAlternative Formats

Shipping Information

$40
Dispatched from St. Louis, MO.
Lead Time: 5-8 business days.
Name
Anti-Human IgG Heavy Chain Antibody [IG266] - BSA and Azide free
Description
Mouse monoclonal [IG266] antibody to Human IgG Heavy Chain.
Specificity
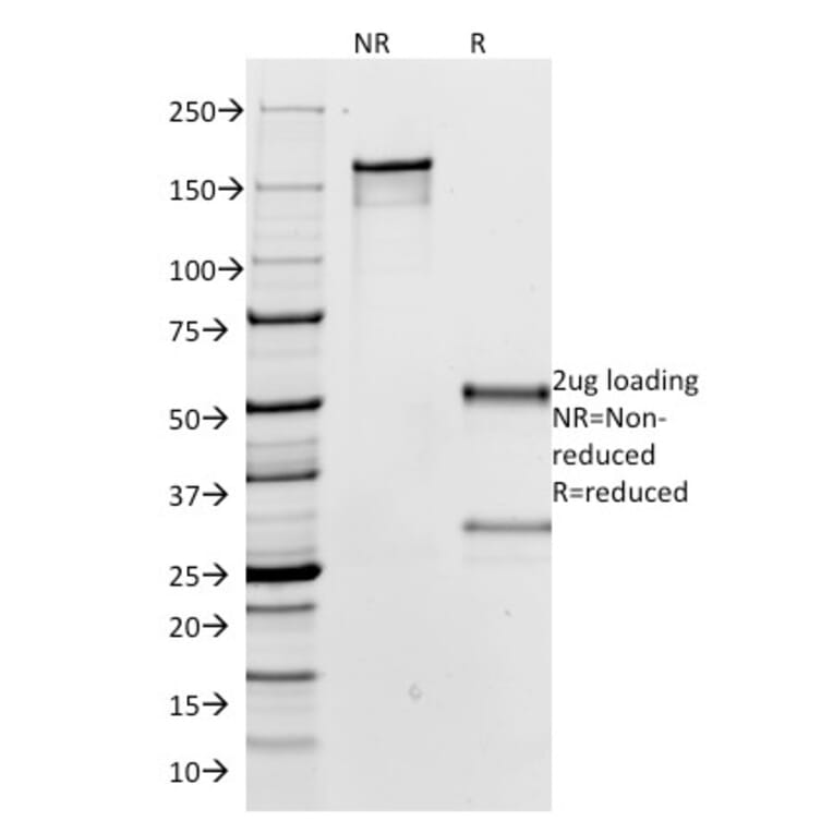
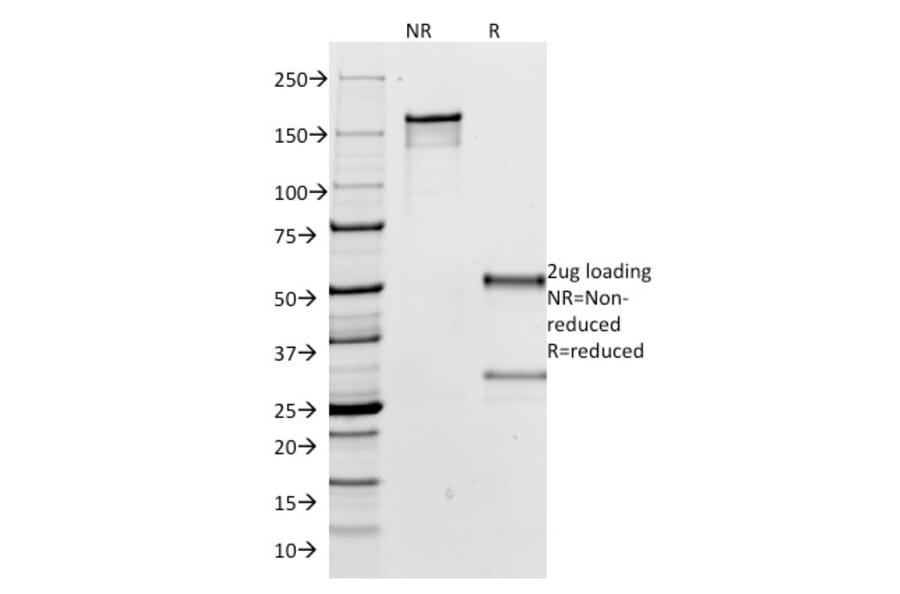
This antibody recognizes a protein of 75kDa, identified as gamma heavy chain of human immunoglobulins. It does not cross-react with alpha (IgA), mu (IgM), epsilon (IgE), or delta (IgD), heavy chains, T-cells, monocytes, granulocytes, or erythrocytes. This MAb is useful in the identification of leukemias, plasmacytomas, and certain non-Hodgkins lymphomas. The most common feature of these malignancies is the restricted expression of a single heavy chain class. Demonstration of clonality in lymphoid infiltrates indicates that the infiltrate is clonal and therefore malignant.
Applications
Flow Cytometry, IF, IHC-P
Dilutions
Flow Cytometry: 1-2 µg/million cells, IF: 1-2 µg/ml, IHC-P: 1-2 µg/ml
Reactivity
Human
Immunogen
Purified human Ig gamma chain.
Host
Mouse
Clonality
Monoclonal
Clone ID
IG266
Isotype
IgG2a
Light Chains
kappa
Conjugate

Unconjugated

Purification
Protein A/G chromatography.
Concentration
1 mg/ml
Molecular Weight
75 kDa
Product Form
Liquid
Formulation
Supplied in 10mM Phosphate Buffered Saline; without Sodium Azide and carrier free.
Storage
Shipped at 4°C. Upon delivery aliquot and store at -20°C. Avoid freeze / thaw cycles.
General Notes
This monoclonal antibody is also available in a different formulation with BSA and Sodium Azide - Anti-Human IgG Heavy Chain Antibody [IG266] (A248942).
Disclaimer
This product is for research use only. It is not intended for diagnostic or therapeutic use.
Publishing research using Anti-Human IgG Heavy Chain Antibody [IG266] - BSA and Azide free (A252122)? Please let us know so that we can list the citation on this page.