ISO 9001:2015 Certified
Live Customer Support
4.5/5 on Trustpilot
100% Quality Guarantee

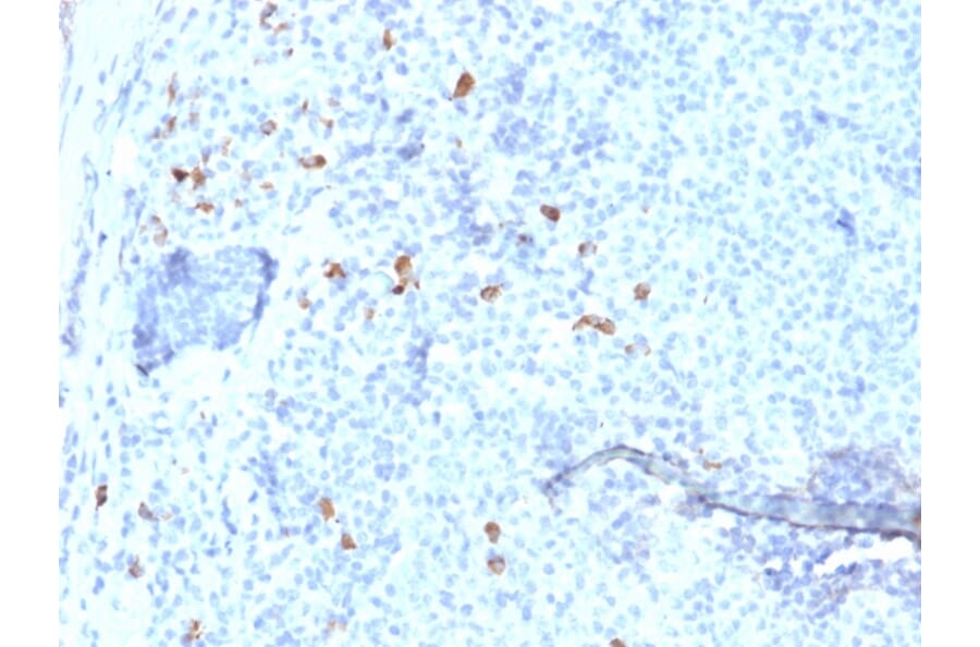
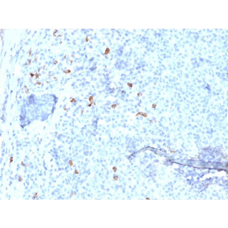
Anti-Human IgG4 Heavy Chain Antibody [IGHG4/1345] - BSA and Azide free (A252130)

Mouse monoclonal [IGHG4/1345] antibody to Human IgG4 Heavy Chain for IHC-P.

Alternative Formats and ConjugatesAlternative Formats

Shipping Information

$40
Dispatched from St. Louis, MO.
Lead Time: 5-8 business days.
Name
Anti-Human IgG4 Heavy Chain Antibody [IGHG4/1345] - BSA and Azide free
Description
Mouse monoclonal [IGHG4/1345] antibody to Human IgG4 Heavy Chain.
Specificity
The regions of relatively constant sequence beyond the variable regions of immunoglobulins are termed constant regions (C regions) and are present in both the heavy and light chains. With very few exceptions, the sites of attachment for carbohydrates on immunoglobulins are located in these C regions. These regions also function to hold the variable regions together by using the disulfide bond between them. The C regions facilitate interaction with the antigen by increasing the maximum rotation of the immunoglobulin arms. Reportedly, a large population of patients with recurrent respiratory tract infection has low IgG4 concentrations. IgG4-related sclerosing disease has been recognized as a systemic disease entity characterized by an elevated serum IgG4 level, sclerosing fibrosis, and diffuse lymphoplasmacytic infiltration with the presence of many IgG4-positive plasma cells.IgG4 is overexpressed in inflammatory pseudotumor (IPT) and under expressed in inflammatory myofibroblastic tumor (IMT). In pulmonary nodular lymphoid hyperplasia (PNLH), there are an increased number of IgG4+ plasma cells.
Applications
IHC-P
Dilutions
IHC-P: 1-2 µg/ml
Reactivity
Human
Immunogen
Recombinant fragment of human IGHG4.
Host
Mouse
Clonality
Monoclonal
Clone ID
IGHG4/1345
Isotype
IgG1
Light Chains
kappa
Conjugate

Unconjugated

Purification
Protein A/G chromatography.
Concentration
1 mg/ml
Molecular Weight
150 kDa
Product Form
Liquid
Formulation
Supplied in 10mM Phosphate Buffered Saline; without Sodium Azide and carrier free.
Storage
Shipped at 4°C. Upon delivery aliquot and store at -20°C. Avoid freeze / thaw cycles.
General Notes
This monoclonal antibody is also available in a different formulation with BSA and Sodium Azide - Anti-Human IgG4 Heavy Chain Antibody [IGHG4/1345] (A248950).
Disclaimer
This product is for research use only. It is not intended for diagnostic or therapeutic use.
Publishing research using Anti-Human IgG4 Heavy Chain Antibody [IGHG4/1345] - BSA and Azide free (A252130)? Please let us know so that we can list the citation on this page.

Alternative products to Anti-Human IgG4 Heavy Chain Antibody [IGHG4/1345] - BSA and Azide free (A252130)