ISO 9001:2015 Certified
Live Customer Support
4.5/5 on Trustpilot
100% Quality Guarantee

Anti-Human Nucleolar Antigen Antibody [NM95] - BSA and Azide free (A254120)

Mouse monoclonal [NM95] antibody to Human Nucleolar Antigen for Flow Cytometry, IF, ICC and IHC-P.

Alternative Formats and ConjugatesAlternative Formats

Shipping Information

$40
Dispatched from St. Louis, MO.
Lead Time: 5-8 business days.
Name
Anti-Human Nucleolar Antigen Antibody [NM95] - BSA and Azide free
Description
Mouse monoclonal [NM95] antibody to Human Nucleolar Antigen.
Specificity
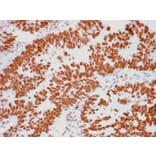
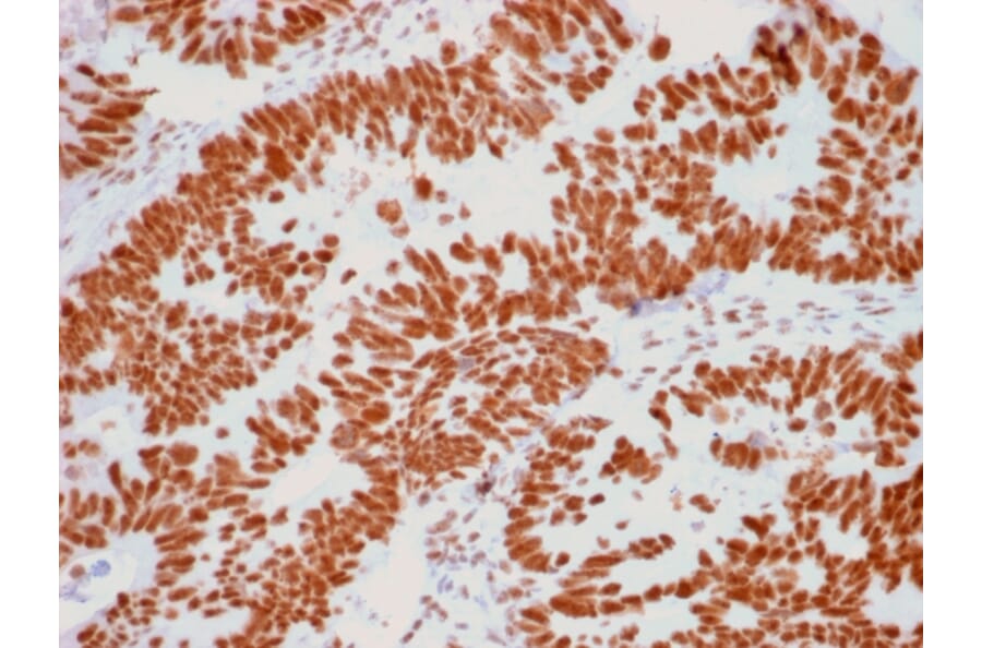
This antibody is an excellent marker for human cells in xenographic model research. It reacts specifically with human cells. This monoclonal antibody is part of a new panel of reagents, which recognizes subcellular organelles or compartments of human cells. These markers may be useful in identification of these organelles in cells, tissues, and biochemical preparations. MAb NM95 recognizes an antigen associated with the nucleoli in human cells. It can be used to stain the nucleoli in cell or tissue preparations and can be used as a marker of the nucleoli in subcellular fractions. It produces a speckled pattern in the nuclei of cells of normal and malignant cells and may be used to stain the nucleoli of cells in fixed or frozen tissue sections. It can be used with paraformaldehyde fixed frozen tissue or cell preparations and formalin fixed, paraffin-embedded tissue sections.
Applications
Flow Cytometry, IF, ICC, IHC-P
Dilutions
Flow Cytometry: 1-2 µg/million cells, IF: 1-2 µg/ml, ICC: 1-2 µg/ml, IHC-P: 0.25-0.5 µg/ml
Reactivity
Human
Cross Reactivity
This antibody does not cross react with Mouse, Rat, or Bovine.
Immunogen
Nuclei of myeloid leukemia biopsy cells.
Host
Mouse
Clonality
Monoclonal
Clone ID
NM95
Isotype
IgG1
Light Chains
kappa
Conjugate

Unconjugated

Purification
Protein A/G chromatography.
Concentration
1 mg/ml
Product Form
Liquid
Formulation
Supplied in 10mM Phosphate Buffered Saline; without Sodium Azide and carrier free.
Storage
Shipped at 4°C. Upon delivery aliquot and store at -20°C. Avoid freeze / thaw cycles.
General Notes
This monoclonal antibody is also available in a different formulation with BSA and Sodium Azide - Anti-Human Nucleolar Antigen Antibody [NM95] (A250940).
Disclaimer
This product is for research use only. It is not intended for diagnostic or therapeutic use.
Publishing research using Anti-Human Nucleolar Antigen Antibody [NM95] - BSA and Azide free (A254120)? Please let us know so that we can list the citation on this page.