Western Blot - Anti-HuR/ELAVL1 Antibody [ARC0101] (A307808)
Western blot analysis of extracts from wild type (WT) and HuR/ELAVL1 knockout (KO) 293T cells, using Anti-HuR/ELAVL1 Antibody [ARC0101] (A307808) at 1:1,000 dilution. The secondary antibody was Goat Anti-Rabbit IgG H&L Antibody (HRP) at 1:10,000 dilution. Lysates/proteins were present at 25µg per lane. The blocking buffer used was 3% non-fat dry milk in TBST. Detection was with a ECL Basic Kit. Exposure time: 1s.
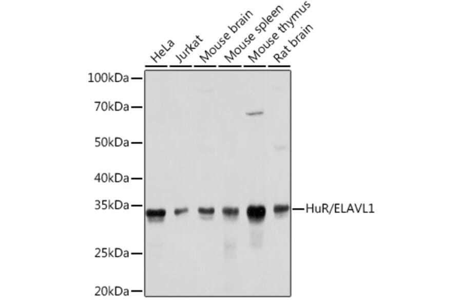
Western Blot - Anti-HuR/ELAVL1 Antibody [ARC0101] (A307808)
Western blot analysis of extracts of various cell lines, using Anti-HuR/ELAVL1 Antibody [ARC0101] (A307808) at 1:1,000 dilution. The secondary antibody was Goat Anti-Rabbit IgG H&L Antibody (HRP) at 1:10,000 dilution. Lysates/proteins were present at 25µg per lane. The blocking buffer used was 3% non-fat dry milk in TBST. Detection was with a ECL Basic Kit. Exposure time: 1s.
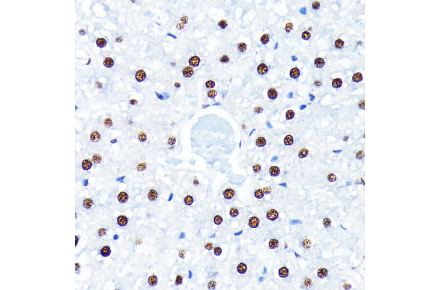
Immunohistochemistry analysis of paraffin-embedded rat liver using Anti-HuR/ELAVL1 Antibody [ARC0101] (A307808) at a dilution of 1:100 (40x lens). Perform microwave antigen retrieval with 10 mM PBS buffer pH 7.2 before commencing with IHC staining protocol.
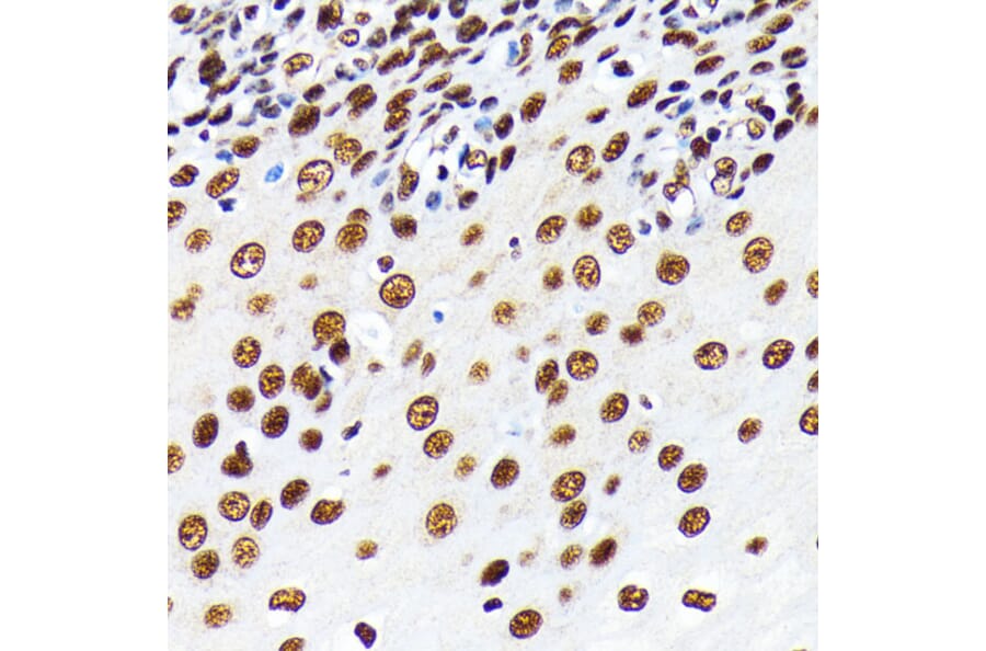
Immunohistochemistry analysis of paraffin-embedded human esophageal using Anti-HuR/ELAVL1 Antibody [ARC0101] (A307808) at a dilution of 1:100 (40x lens). Perform microwave antigen retrieval with 10 mM PBS buffer pH 7.2 before commencing with IHC staining protocol.
Immunohistochemistry analysis of paraffin-embedded mouse spleen using Anti-HuR/ELAVL1 Antibody [ARC0101] (A307808) at a dilution of 1:100 (40x lens). Perform microwave antigen retrieval with 10 mM PBS buffer pH 7.2 before commencing with IHC staining protocol.
Western Blot - Anti-HuR/ELAVL1 Antibody [ARC0101] (A307808)
Immunoprecipitation analysis of 300µg extracts of 293T cells using 3µg of Anti-HuR/ELAVL1 Antibody [ARC0101] (A307808). This Western blot was performed on the immunoprecipitate using Anti-HuR/ELAVL1 Antibody [ARC0101] (A307808) at a dilution of 1:1000.