ISO 9001:2015 Certified
Live Customer Support
4.5/5 on Trustpilot
100% Quality Guarantee

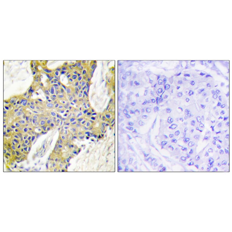
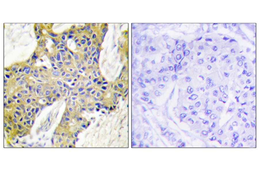
Anti-IARS2 Antibody (A96052)

Rabbit polyclonal antibody to IARS2 for WB, IHC, IF and ELISA.

Shipping Information

$40
Dispatched from St. Louis, MO.
Lead Time: 6-8 business days.
Name
Anti-IARS2 Antibody
Description
Rabbit polyclonal antibody to IARS2.
Applications
WB, IHC, IF, ELISA
Dilutions
WB: 1:500~1:1000, IHC: 1:50~1:100, IF: 1:100~1:500, ELISA: 1:1000
Reactivity
Human, Mouse, Monkey
Cross Reactivity
No reported cross-reactivity.
Immunogen
Synthetic peptide derived from human IARS2 (amino acids 71-120).
Host
Rabbit
Clonality
Polyclonal
Isotype
IgG
Conjugate

Unconjugated

Purification
Purified from rabbit serum by antigen affinity chromatography using the immunizing peptide.
Molecular Weight
113kDa
Product Form
Liquid
Formulation
Supplied in Phosphate Buffered Saline (without Mg2+ and Ca2+), pH 7.4, with 150mM NaCl, 0.02% Sodium Azide, and 50% Glycerol.
Storage
Shipped at 4°C. Upon delivery aliquot and store at -20°C. Avoid freeze / thaw cycles.
Synonyms
IleRS, Isoleucine--tRNA ligase, mitochondrial, Isoleucyl-tRNA synthetase
Disclaimer
This product is for research use only. It is not intended for diagnostic or therapeutic use.
Publishing research using Anti-IARS2 Antibody (A96052)? Please let us know so that we can list the citation on this page.

Alternative products to Anti-IARS2 Antibody (A96052)

Proteins predicted to interact with IARS2

Predicted protein interactions based upon String database. Revelancy score correlates with probability of interaction.
99.5% Relevancy Score
99.5% Relevancy Score
99.2% Relevancy Score
99% Relevancy Score
98.7% Relevancy Score
98.2% Relevancy Score
97.9% Relevancy Score
94.2% Relevancy Score