ISO 9001:2015 Certified
Live Customer Support
4.5/5 on Trustpilot
100% Quality Guarantee

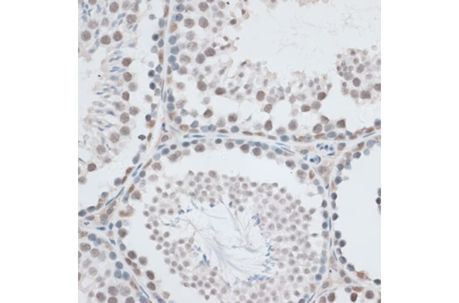
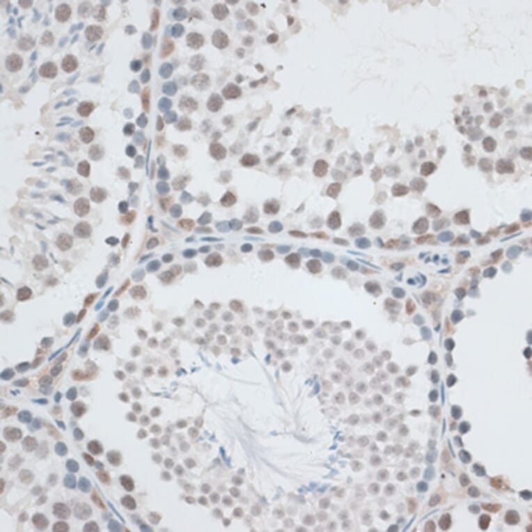
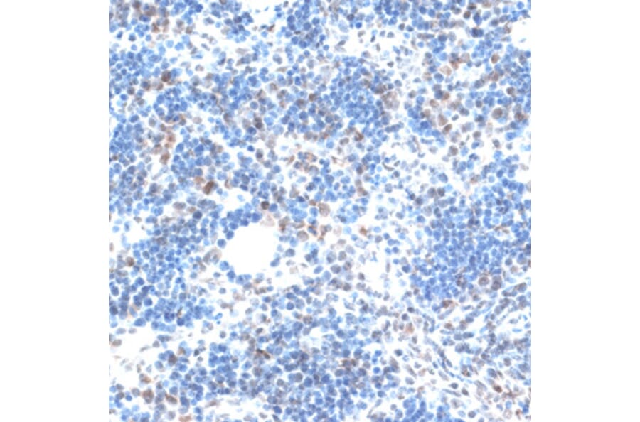
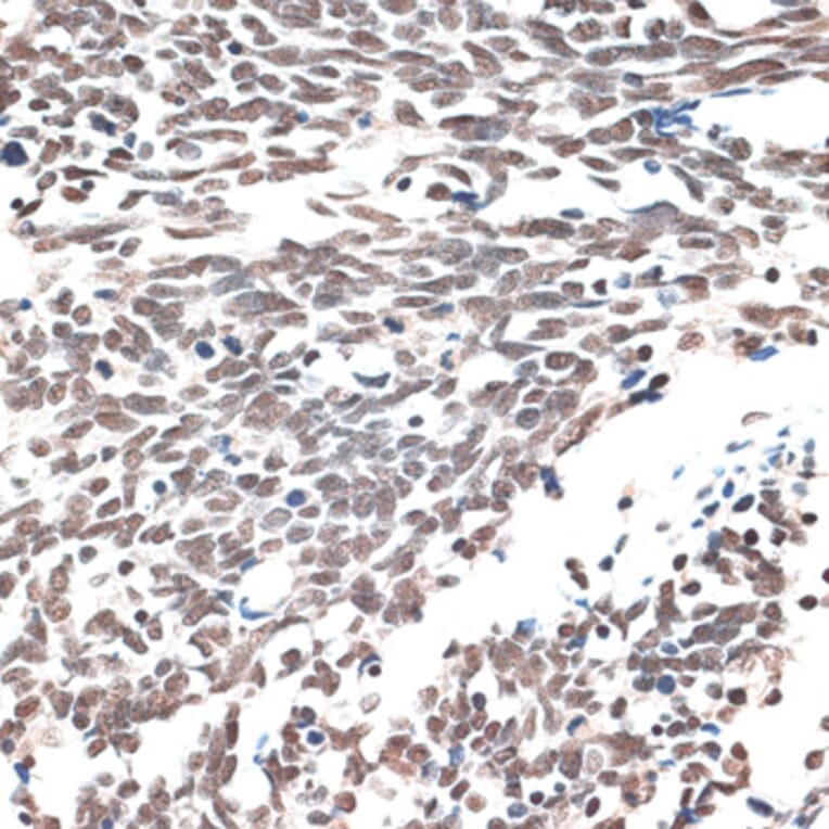
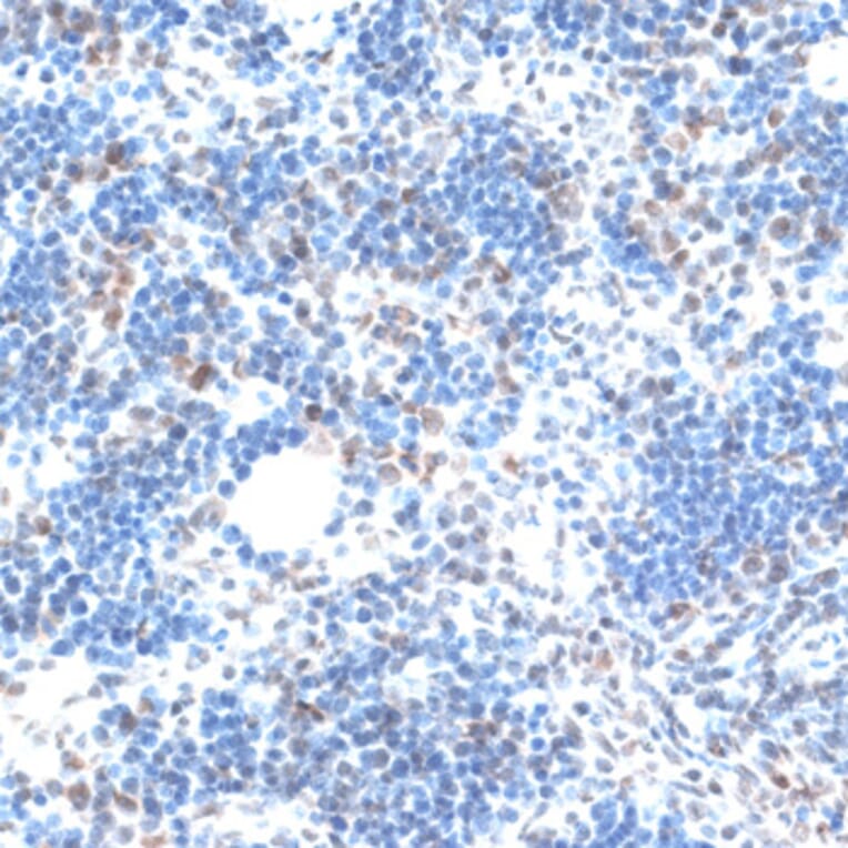
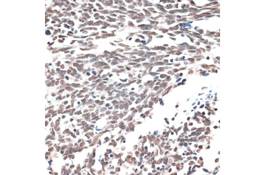
Anti-IBP160 Antibody (A80590)

Rabbit polyclonal antibody to IBP160 for WB and IHC.

Shipping Information

$40
Dispatched from St. Louis, MO.
Lead Time: 7-10 business days.
Name
Anti-IBP160 Antibody
Description
Rabbit polyclonal antibody to IBP160.
Applications
WB, IHC
Dilutions
WB: 1:500-1:1,000, IHC: 1:50-1:100
Reactivity
Human, Mouse, Rat
Immunogen
Recombinant fusion protein containing a sequence corresponding to amino acids 400-700 of human AQR (NP_055506.1).
Sequence
KEFLLELLVSRHERRISQIQQLNQMPLYPTEKIIWDENIVPTEYYSGEGCLALPKLNLQFLTLHDYLLRNFNLFRLESTYEIRQDIEDSVSRMKPWQSEYGGVVFGGWARMAQPIVAFTVVEVAKPNIGENWPTRVRADVTINLNVRDHIKDEWEGLRKHDVCFLITVRPTKPYGTKFDRRRPFIEQVGLVYVRGCEIQGMLDDKGRVIEDGPEPRPNLRGESRTFRVFLDPNQYQQDMTNTIQNGAEDVYETFNIIMRRKPKENNFKAVLETIRNLMNTDCVVPDWLHDIILGYGDPSSA
Host
Rabbit
Clonality
Polyclonal
Isotype
IgG
Conjugate

Unconjugated

Purification
Affinity purification.
Concentration
Lot Specific
Molecular Weight
171 kDa
Product Form
Liquid
Formulation
Supplied in Phosphate Buffered Saline, pH 7.3, with 50% Glycerol and 0.01% Thiomersal.
Storage
Shipped at 4°C. Upon delivery aliquot and store at -20°C. Avoid freeze/thaw cycles.
Synonyms
AQR, Intron-binding protein of 160 kDa, KIAA0560, RNA helicase aquarius
Disclaimer
This product is for research use only. It is not intended for diagnostic or therapeutic use.
Publishing research using Anti-IBP160 Antibody (A80590)? Please let us know so that we can list the citation on this page.

Alternative products to Anti-IBP160 Antibody (A80590)

Proteins predicted to interact with IBP160

Predicted protein interactions based upon String database. Revelancy score correlates with probability of interaction.
99.9% Relevancy Score
99.9% Relevancy Score
99.9% Relevancy Score
99.9% Relevancy Score
99.9% Relevancy Score
99.9% Relevancy Score
99.9% Relevancy Score
99.9% Relevancy Score
99.9% Relevancy Score