ISO 9001:2015 Certified
Live Customer Support
4.5/5 on Trustpilot
100% Quality Guarantee

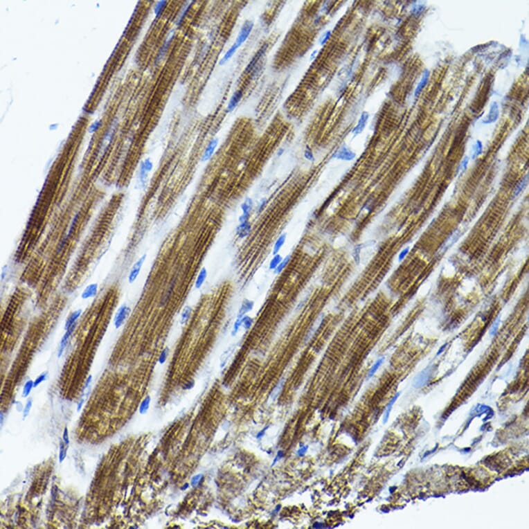
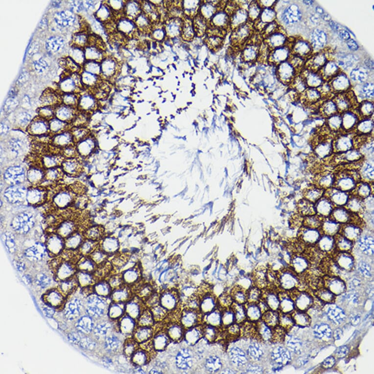
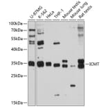
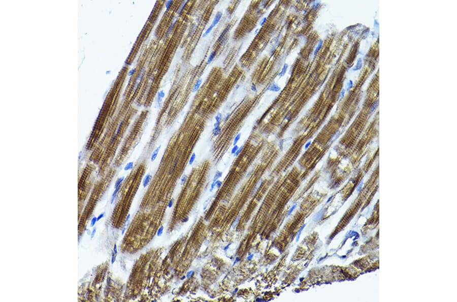
Anti-ICMT Antibody (A12880)

Rabbit polyclonal antibody to ICMT for WB and IHC.

Shipping Information

$40
Dispatched from St. Louis, MO.
Lead Time: 7-10 business days.
Name
Anti-ICMT Antibody
Description
Rabbit polyclonal antibody to ICMT.
Applications
WB, IHC
Dilutions
WB: 1:500-1:2,000, IHC: 1:50-1:200
Reactivity
Human, Mouse, Rat
Immunogen
Recombinant fusion protein containing a sequence corresponding to amino acids 175-284 of human ICMT (NP_036537.1).
Sequence
KAAMFTAGSNFNHVVQNEKSDTHTLVTSGVYAWFRHPSYVGWFYWSIGTQVMLCNPICGVSYALTVWRFFRDRTEEEEISLIHFFGEEYLEYKKRVPTGLPFIKGVKVDL
Host
Rabbit
Clonality
Polyclonal
Isotype
IgG
Conjugate

Unconjugated

Purification
Affinity purification.
Concentration
Lot Specific
Molecular Weight
32 kDa
Product Form
Liquid
Formulation
Supplied in Phosphate Buffered Saline, pH 7.3, with 50% Glycerol and 0.02% Sodium Azide.
Storage
Shipped at 4°C. Upon delivery aliquot and store at -20°C. Avoid freeze/thaw cycles.
Synonyms
Isoprenylcysteine carboxylmethyltransferase, pcCMT, PPMT, Prenylated protein carboxyl methyltransferase, Prenylcysteine carboxyl methyltransferase, Protein-S-isoprenylcysteine O-methyltransferase
Disclaimer
This product is for research use only. It is not intended for diagnostic or therapeutic use.
Publishing research using Anti-ICMT Antibody (A12880)? Please let us know so that we can list the citation on this page.

Alternative products to Anti-ICMT Antibody (A12880)

Proteins predicted to interact with CMT

Predicted protein interactions based upon String database. Revelancy score correlates with probability of interaction.
99.8% Relevancy Score
99.6% Relevancy Score
81% Relevancy Score
81% Relevancy Score
73.2% Relevancy Score
68.2% Relevancy Score
67.3% Relevancy Score
65.9% Relevancy Score
65.8% Relevancy Score