ISO 9001:2015 Certified
Live Customer Support
4.5/5 on Trustpilot
100% Quality Guarantee

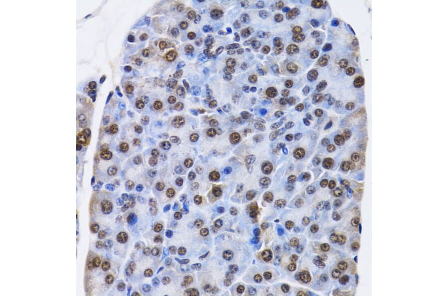
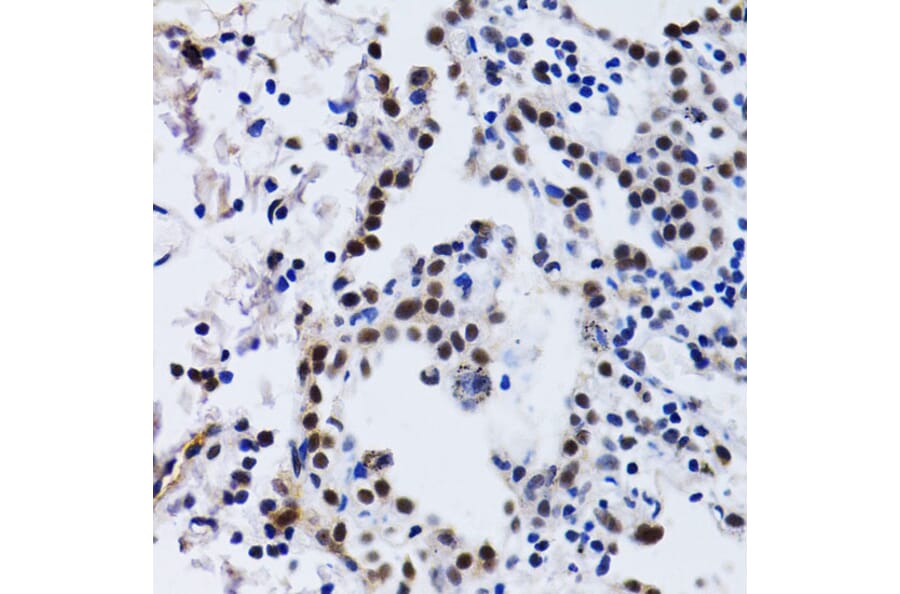
Anti-ID3 Antibody (A14713)

Rabbit polyclonal antibody to ID3 for IHC and ICC/IF.

Shipping Information

$40
Dispatched from St. Louis, MO.
Lead Time: 7-10 business days.
Name
Anti-ID3 Antibody
Description
Rabbit polyclonal antibody to ID3.
Applications
IHC, ICC/IF
Dilutions
IHC: 1:50-1:200, ICC/IF: 1:50-1:100
Reactivity
Human, Mouse, Rat
Immunogen
Recombinant fusion protein containing a sequence corresponding to amino acids 1-119 of human ID3 (NP_002158.3).
Sequence
MKALSPVRGCYEAVCCLSERSLAIARGRGKGPAAEEPLSLLDDMNHCYSRLRELVPGVPRGTQLSQVEILQRVIDYILDLQVVLAEPAPGPPDGPHLPIQTAELTPELVISNDKRSFCH
Host
Rabbit
Clonality
Polyclonal
Isotype
IgG
Conjugate

Unconjugated

Purification
Affinity purification.
Concentration
Lot Specific
Product Form
Liquid
Formulation
Supplied in Phosphate Buffered Saline, pH 7.3, with 50% Glycerol and 0.02% Sodium Azide.
Storage
Shipped at 4°C. Upon delivery aliquot and store at -20°C. Avoid freeze/thaw cycles.
Synonyms
1R21, BHLHB25, Class B basic helix-loop-helix protein 25, DNA-binding protein inhibitor ID-3, HEIR1, Helix-loop-helix protein HEIR-1, ID-like protein inhibitor HLH 1R21, Inhibitor of differentiation 3, Inhibitor of DNA binding 3
Disclaimer
This product is for research use only. It is not intended for diagnostic or therapeutic use.
Publishing research using Anti-ID3 Antibody (A14713)? Please let us know so that we can list the citation on this page.

Alternative products to Anti-ID3 Antibody (A14713)

Proteins predicted to interact with ID3

Predicted protein interactions based upon String database. Revelancy score correlates with probability of interaction.
95.1% Relevancy Score
90.6% Relevancy Score
87.1% Relevancy Score
82.1% Relevancy Score
81.7% Relevancy Score
69.9% Relevancy Score
68.1% Relevancy Score
63.4% Relevancy Score
62.8% Relevancy Score