ISO 9001:2015 Certified
Live Customer Support
4.5/5 on Trustpilot
100% Quality Guarantee

Recombinant Anti-IDH1 (mutated R132H) Antibody [IDH1/6806R] (A277999)

Recombinant rabbit monoclonal [IDH1/6806R] antibody to IDH1 (mutated R132H) for IHC-P.

Alternative Formats and ConjugatesAlternative Formats

Shipping Information

$40
Dispatched from St. Louis, MO.
Lead Time: 5-8 business days.
Name
Anti-IDH1 (mutated R132H) Antibody [IDH1/6806R]
Description
Recombinant rabbit monoclonal [IDH1/6806R] antibody to IDH1 (mutated R132H).
Specificity
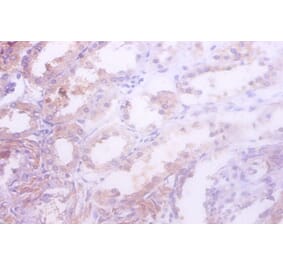
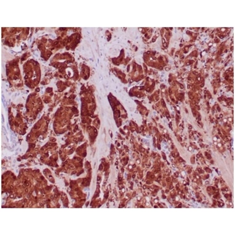
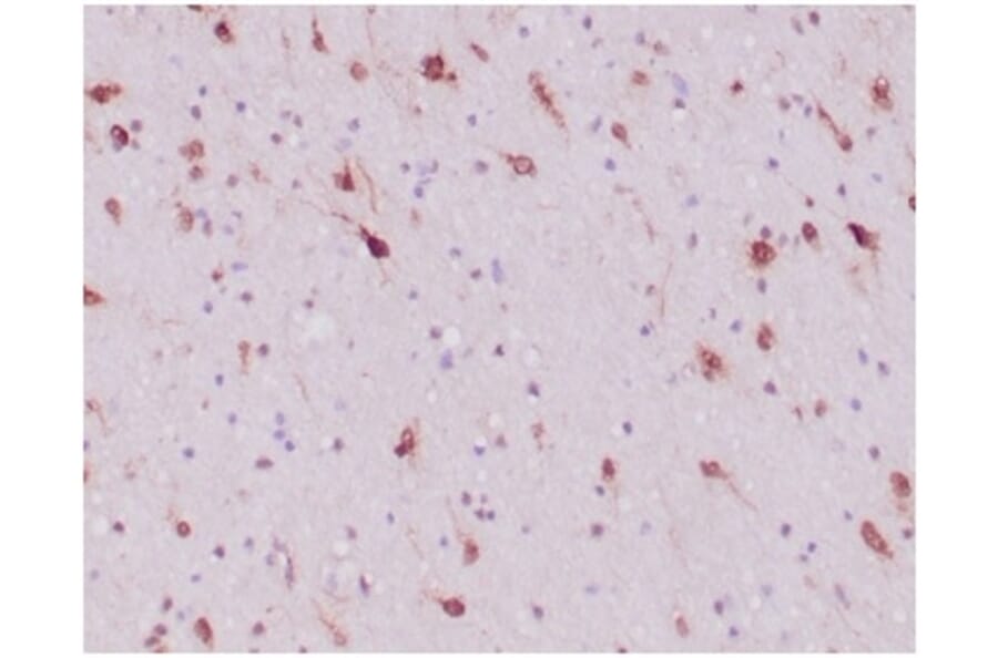
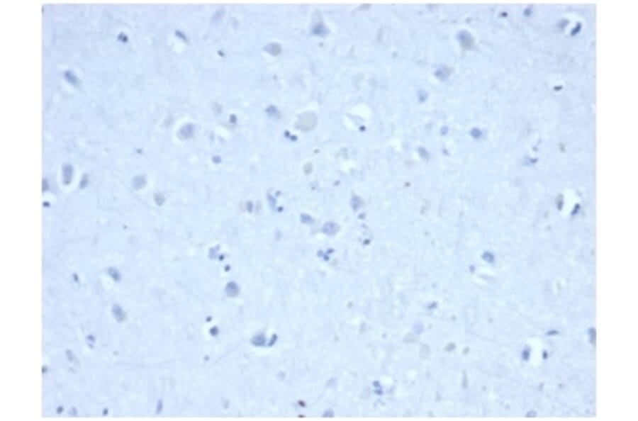
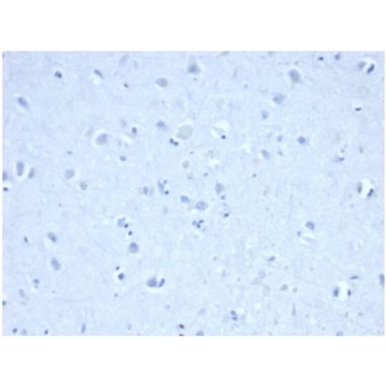
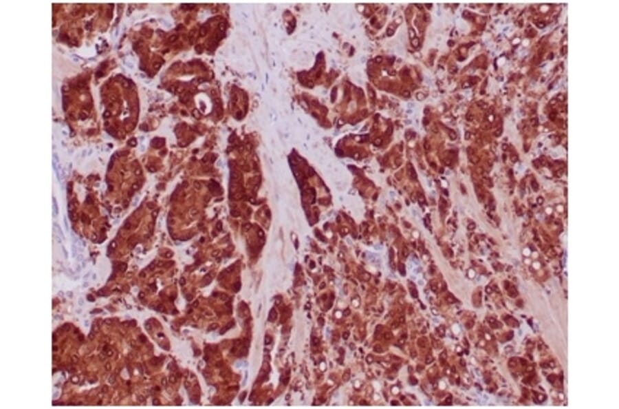
IDH1 R132H antibody binds to IDH1-mutated protein, but does not bind the wild-type IDH1 protein. IDH1 R132H point mutations are frequently seen in World Health Organization grade II and III gliomas and are believed to constitute an early step in tumorigenesis. IDH1 R132H can be used as a diagnostic marker to help differentiate infiltrating gliomas from gliosis, and as a prognostic marker for gliomas and secondary glioblastoma multiforme. IDH1 R132H antibody shows strong cytoplasmic staining and weaker nuclear staining in tumor cells with the R132H-mutated peptide. Diffuse staining of the fibrillary tumor matrix is also seen.
Applications
IHC-P
Dilutions
IHC-P: 1-2 µg/ml
Reactivity
Human
Immunogen
Recombinant fragment, around amino acids 281-414, of human IDH1 protein. The exact sequence is proprietary.
Host
Rabbit
Clonality
Monoclonal
Clone ID
IDH1/6806R
Isotype
IgG
Light Chains
kappa
Conjugate

Unconjugated

Purification
Protein A/G chromatography.
Concentration
200 µg/ml
Molecular Weight
45-47 kDa
Product Form
Liquid
Formulation
Supplied in 10mM Phosphate Buffered Saline with 0.05% BSA and 0.05% Sodium Azide.
Storage
Shipped at 4°C. Upon delivery aliquot and store at -20°C. Avoid freeze / thaw cycles.
General Notes
This monoclonal antibody is also available in a different formulation without BSA and Sodium Azide - Anti-IDH1 (mutated R132H) Antibody [IDH1/6806R] - BSA and Azide free (A278587).
Synonyms
Cytosolic NADP-isocitrate dehydrogenase, IDH, IDPc, Isocitrate dehydrogenase [NADP] cytoplasmic, NADP(+)-specific ICDH, Oxalosuccinate decarboxylase, PICD
Disclaimer
This product is for research use only. It is not intended for diagnostic or therapeutic use.
Publishing research using Recombinant Anti-IDH1 (mutated R132H) Antibody [IDH1/6806R] (A277999)? Please let us know so that we can list the citation on this page.

Alternative products to Anti-IDH1 (mutated R132H) Antibody [IDH1/6806R] (A277999)

Proteins predicted to interact with IDH1

Predicted protein interactions based upon String database. Revelancy score correlates with probability of interaction.
99.8% Relevancy Score
99.8% Relevancy Score
99.6% Relevancy Score
99.3% Relevancy Score
99% Relevancy Score
98.8% Relevancy Score
98.7% Relevancy Score
98.1% Relevancy Score
97.3% Relevancy Score