Anti-IDO2 Antibody [IDO2/2639] - BSA and Azide free
Description
Mouse monoclonal [IDO2/2639] antibody to IDO2.
Specificity
IDO2 is a presumptive immunomodulatory gene based on its close structural relationship to IDO1 and its expression in a variety of antigen-presenting cell types. Both IDO1 and IDO2 will catabolize tryptophan to kynurenine. Biochemical studies indicate that both enzymes are similarly robust in catabolic activity, although the in vitro conditions required for IDO2 to manifest the same level of activity differ somewhat from IDO1. However, whether IDO2 is active as a tryptophan catabolizing enzyme in human dendritic cells has been disputed. Further work is needed to conclusively determine that IDO1 and IDO2 are similar in their preference for substrates and reaction pathways to generate product. A non-redundant function for IDO2 relative to IDO1 is suggested by their rather distinct expression patterns and response to extracellular stimuli.
Applications
ELISA, IHC-P
Dilutions
IHC-P: 1-2 µg/ml
Reactivity
Human
Immunogen
Recombinant fragment, around amino acids 200-350, of human IDO2 protein. The exact sequence is proprietary.
Host
Mouse
Clonality
Monoclonal
Clone ID
IDO2/2639
Isotype
IgG
Light Chains
kappa
Conjugate
Unconjugated
Purification
Protein A/G chromatography.
Concentration
1 mg/ml
Molecular Weight
47 kDa
Product Form
Liquid
Formulation
Supplied in 10mM Phosphate Buffered Saline; without Sodium Azide and carrier free.
Storage
Shipped at 4°C. Upon delivery aliquot and store at -20°C. Avoid freeze / thaw cycles.
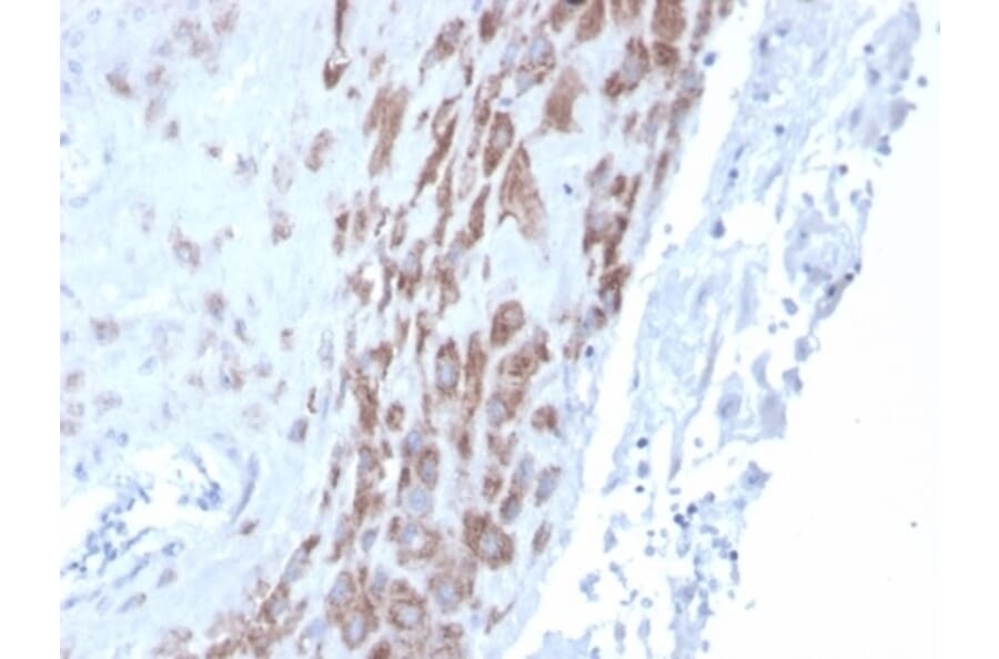
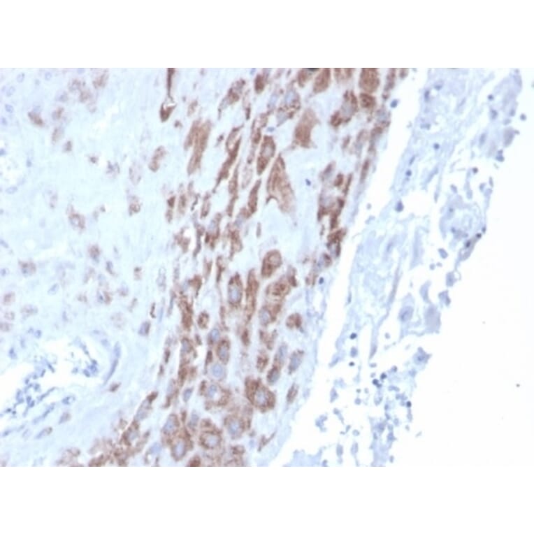
Immunohistochemical analysis of formalin-fixed, paraffin-embedded human placenta using Anti-IDO2 Antibody [IDO2/2639] at 2µg/ml in PBS for 30 minutes at room temperature.
Anti-IDO2 Antibody [IDO2/2639] - BSA and Azide free (A278165)
Analysis of protein array containing more than 19,000 full-length human proteins using Anti-IDO2 Antibody [IDO2/2639]. Z-Score and S- Score: The Z-score represents the strength of a signal that a monoclonal antibody (MAb) (in combination with a fluorescently-tagged anti-IgG secondary antibody) produces when binding to a particular protein on the HuProtTM array. Z-scores are described in units of standard deviations (SD's) above the mean value of all signals generated on that array. If targets on HuProtTM are arranged in descending order of the Z-score, the S-score is the difference (also in units of SD's) between the Z-score. S-score therefore represents the relative target specificity of a MAb to its intended target; a MAb is considered to be specific to its intended target, if the MAb has an S-score of at least 2.5. For example, if a MAb binds to protein X with a Z-score of 43 and to protein Y with a Z-score of 14, then the S-score for the binding of that MAb to protein X is equal to 29.
Publishing research using Anti-IDO2 Antibody [IDO2/2639] - BSA and Azide free (A278165)? Please let us know so that we can list the citation on this page.
Alternative products to Anti-IDO2 Antibody [IDO2/2639] - BSA and Azide free (A278165)