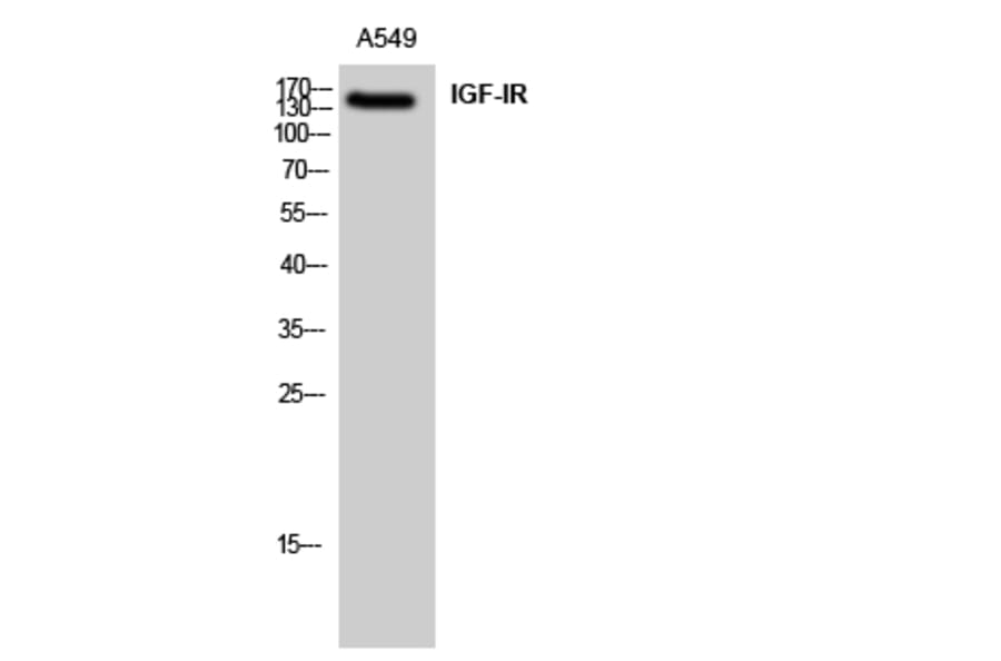
Western blot analysis of lysates from A549 cells using Anti-IGF1R Antibody. The right hand lane represents a negative control, where the antibody is blocked by the immunising peptide.
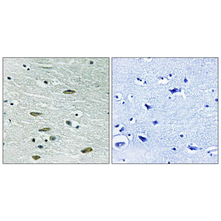
Immunohistochemical analysis of paraffin-embedded human brain tissue using Anti-IGF1R Antibody. The right hand panel represents a negative control, where the antibody was pre-incubated with the immunising peptide.
Recombinant human monoclonal antibody to IGF1R for use as a research grade Ganitumab biosimilar for ELISA, Flow Cytometry, Functional Studies and in vivo Research.
Recombinant human monoclonal antibody to IGF1R for use as a research grade Teprotumumab biosimilar for ELISA, Flow Cytometry, Functional Studies and in vivo Research.
Recombinant human monoclonal antibody to IGF1R for use as a research grade Cixutumumab biosimilar for ELISA, Flow Cytometry, Functional Studies and in vivo Research.
Recombinant human monoclonal antibody to IGF1R for use as a research grade Veligrotug biosimilar for ELISA, Flow Cytometry, Functional Studies and in vivo Research.
Recombinant human monoclonal antibody to IGF1R for use as a research grade AVE1642 biosimilar for ELISA, Flow Cytometry, Functional Studies and in vivo Research.
Recombinant human monoclonal antibody to IGF1R for use as a research grade Figitumumab biosimilar for ELISA, Flow Cytometry, Functional Studies and in vivo Research.
Recombinant humanized monoclonal antibody to IGF1R for use as a research grade Dalotuzumab biosimila for ELISA, Flow Cytometry, Functional Studies and in vivo Research.
Recombinant human monoclonal antibody to IGF1R for use as a research grade VRDN-002 biosimilar for ELISA, Flow Cytometry, Functional Studies and in vivo Research.
Recombinant human monoclonal antibody to IGF1R for use as a research grade elegrobart biosimilar for ELISA, Flow Cytometry, Functional Studies and in vivo Research.
Recombinant human monoclonal antibody to IGF1R for use as a research grade Ganitumab biosimilar for ELISA, Flow Cytometry, Functional Studies and in vivo Research.
Recombinant human monoclonal antibody to IGF1R for use as a research grade Teprotumumab biosimilar for ELISA, Flow Cytometry, Functional Studies and in vivo Research.
Recombinant human monoclonal antibody to IGF1R for use as a research grade Cixutumumab biosimilar for ELISA, Flow Cytometry, Functional Studies and in vivo Research.
Recombinant human monoclonal antibody to IGF1R for use as a research grade Veligrotug biosimilar for ELISA, Flow Cytometry, Functional Studies and in vivo Research.
Recombinant human monoclonal antibody to IGF1R for use as a research grade AVE1642 biosimilar for ELISA, Flow Cytometry, Functional Studies and in vivo Research.
Recombinant human monoclonal antibody to IGF1R for use as a research grade Figitumumab biosimilar for ELISA, Flow Cytometry, Functional Studies and in vivo Research.
Recombinant humanized monoclonal antibody to IGF1R for use as a research grade Dalotuzumab biosimila for ELISA, Flow Cytometry, Functional Studies and in vivo Research.
Recombinant human monoclonal antibody to IGF1R for use as a research grade VRDN-002 biosimilar for ELISA, Flow Cytometry, Functional Studies and in vivo Research.
Recombinant human monoclonal antibody to IGF1R for use as a research grade elegrobart biosimilar for ELISA, Flow Cytometry, Functional Studies and in vivo Research.