ISO 9001:2015 Certified
Live Customer Support
4.5/5 on Trustpilot
100% Quality Guarantee

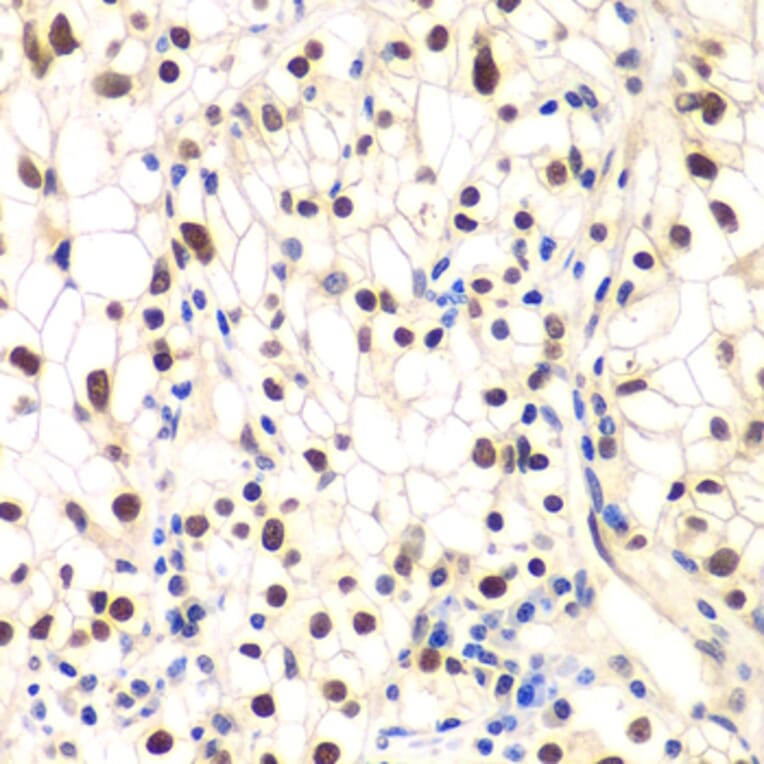
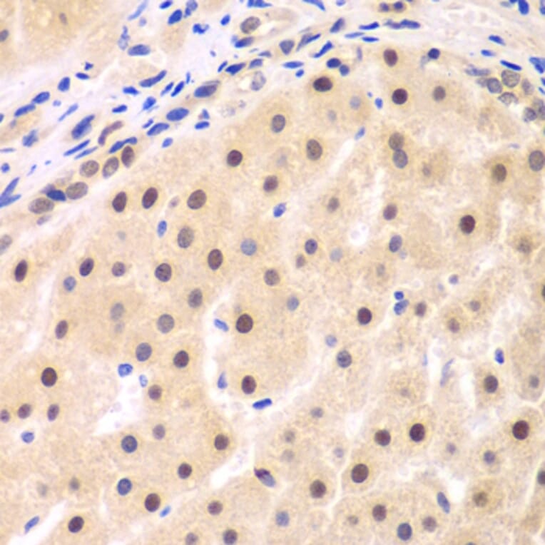
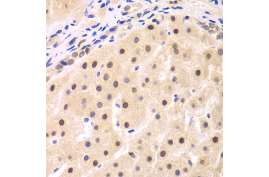
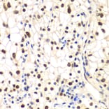
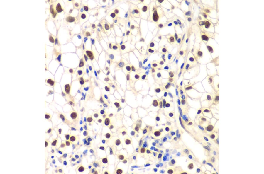
Anti-IKB beta Antibody (A14970)

Rabbit polyclonal antibody to IKB beta for WB and IHC.

Shipping Information

$40
Dispatched from St. Louis, MO.
Lead Time: 7-10 business days.
Name
Anti-IKB beta Antibody
Description
Rabbit polyclonal antibody to IKB beta.
Applications
WB, IHC
Dilutions
WB: 1:500-1:2,000, IHC: 1:50-1:200
Reactivity
Human, Mouse, Rat
Immunogen
Recombinant fusion protein containing a sequence corresponding to amino acids 1-356 of human NFKBIB (NP_002494.2).
Sequence
MAGVACLGKAADADEWCDSGLGSLGPDAAAPGGPGLGAELGPGLSWAPLVFGYVTEDGDTALHLAVIHQHEPFLDFLLGFSAGTEYMDLQNDLGQTALHLAAILGETSTVEKLYAAGAGLCVAERRGHTALHLACRVGAHACARALLQPRPRRPREAPDTYLAQGPDRTPDTNHTPVALYPDSDLEKEEEESEEDWKLQLEAENYEGHTPLHVAVIHKDVEMVRLLRDAGADLDKPEPTCGRSPLHLAVEAQAADVLELLLRAGANPAARMYGGRTPLGSAMLRPNPILARLLRAHGAPEPEGEDEKSGPCSSSSDSDSGDEGDEYDDIVVHSSRSQTRLPPTPASKPLPDDPRPV
Host
Rabbit
Clonality
Polyclonal
Isotype
IgG
Conjugate

Unconjugated

Purification
Affinity purification.
Concentration
Lot Specific
Molecular Weight
40 - 50 kDa
Product Form
Liquid
Formulation
Supplied in Phosphate Buffered Saline, pH 7.3, with 50% Glycerol and 0.02% Sodium Azide.
Storage
Shipped at 4°C. Upon delivery aliquot and store at -20°C. Avoid freeze/thaw cycles.
Synonyms
I-kappa-B-beta, IkappaBbeta, IkB-B, IkB-beta, IKBB, NF-kappa-B inhibitor beta, NF-kappa-BIB, NFKBIB, Thyroid receptor-interacting protein 9, TR-interacting protein 9, TRIP-9, TRIP9
Disclaimer
This product is for research use only. It is not intended for diagnostic or therapeutic use.
Publishing research using Anti-IKB beta Antibody (A14970)? Please let us know so that we can list the citation on this page.

Alternative products to Anti-IKB beta Antibody (A14970)

Proteins predicted to interact with IkB beta

Predicted protein interactions based upon String database. Revelancy score correlates with probability of interaction.
99.9% Relevancy Score
99.9% Relevancy Score
99.9% Relevancy Score
99.8% Relevancy Score
99.7% Relevancy Score
99.7% Relevancy Score
99.4% Relevancy Score
99.3% Relevancy Score
99.3% Relevancy Score