ISO 9001:2015 Certified
Live Customer Support
4.5/5 on Trustpilot
100% Quality Guarantee

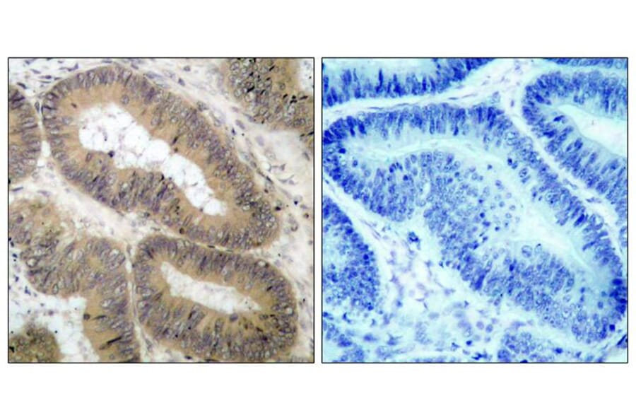
Anti-IKK a (Phospho-Thr23) Antibody (A50455)

$275

Rabbit polyclonal antibody to IKK a (Phospho-Thr23) for WB and IHC.

Shipping Information

$40
Dispatched from St. Louis, MO.
Lead Time: 6-9 business days.
Name
Anti-IKK a (Phospho-Thr23) Antibody
Description
Rabbit polyclonal antibody to IKK a (Phospho-Thr23)
Specificity
The antibody detects endogenous level of IKKa only when phosphorylated at threonine 23.
Applications
WB, IHC
Dilutions
Western blotting: 1:500~1:1000 Immunohistochemistry: 1:50~1:100
Reactivity
Human, Mouse, Rat
Immunogen
Peptide sequence around phosphorylation site of threonine 23 (L-G-T(p)-G-G) derived from Human IKK a.
Host
Rabbit
Clonality
Polyclonal
Conjugate

Unconjugated

Purification
Antibodies were produced by immunizing rabbits with synthetic phosphopeptide and KLH conjugates. Antibodies were purified by affinity-chromatography using epitope-specific phosphopeptide. Non-phospho specific antibodies were removed by chromatogramphy using non-phosphopeptide.
Concentration
1 mg/ml
Predicted MW
85kd
Formulation
Supplied at 1.0mg / mL in phosphate buffered saline (without Mg2+ and Ca2+), pH 7.4, 150mM NaCl, 0.02% sodium azide and 50% glycerol.
Storage
Store at -20°C for long term preservation (recommended). Store at 4°C for short term use.
Synonyms
chuk, CHUK1, Conserved Helix Loop Helix Ubiquitous Kinase, Conserved helix loop ubiquitous kinase, Conserved helix-loop-helix ubiquitous kinase, I Kappa B Kinase 1, I Kappa B Kinase Alpha, I-kappa-B kinase 1, I-kappa-B kinase alpha, IkappaB kinase, IkB kinase alpha subunit, IkBKA, IKK 1, IKK a kinase, IKK alpha, IKK-A, IKK-alpha, IKK1, IKKA, IKKA_HUMAN, Inhibitor Of Kappa Light Polypeptide Gene Enhancer In B Cells, Inhibitor Of Nuclear Factor Kappa B Kinase Alpha Subunit, Inhibitor of nuclear factor kappa-B kinase subunit alpha, NFKBIKA, Nuclear Factor Kappa B Inhibitor Kinase Alpha, Nuclear factor NF kappa B inhibitor kinase alpha, Nuclear factor NF-kappa-B inhibitor kinase alpha, Nuclear factor NFkappaB inhibitor kinase alpha, Nuclear Factor Of Kappa Light Chain Gene Enhancer In B Cells Inhibitor, TCF-16, TCF16, Transcription factor 16
Disclaimer
This product is for research use only. It is not intended for diagnostic or therapeutic use.
Publishing research using Anti-IKK a (Phospho-Thr23) Antibody (A50455)? Please let us know so that we can list the citation on this page.