ISO 9001:2015 Certified
Live Customer Support
4.5/5 on Trustpilot
100% Quality Guarantee

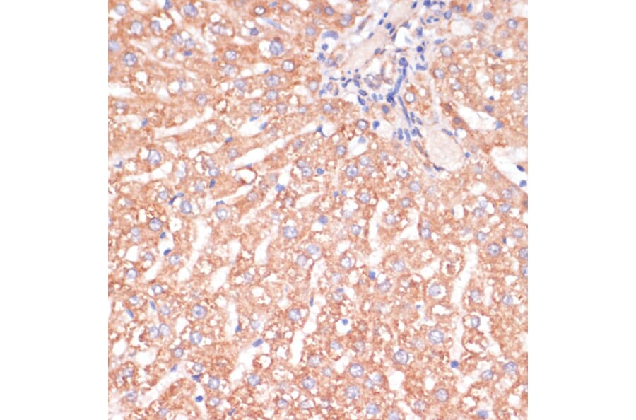
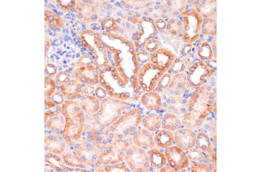
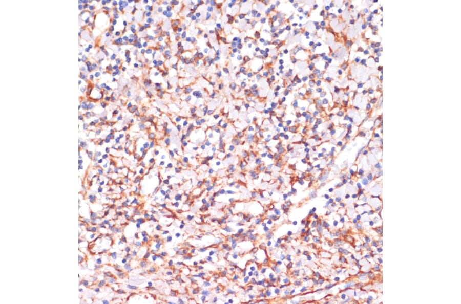
Anti-IKK alpha Antibody (A11508)

Rabbit polyclonal antibody to IKK alpha for WB, IHC, ICC/IF and IP.

Shipping Information

$40
Dispatched from St. Louis, MO.
Lead Time: 7-10 business days.
Name
Anti-IKK alpha Antibody
Description
Rabbit polyclonal antibody to IKK alpha.
Applications
WB, IHC, ICC/IF, IP
Dilutions
WB: 1:1,000-1:5,000, IHC: 1:50-1:200, ICC/IF: 1:50-1:200, IP: 1:50-1:200
Reactivity
Human, Mouse, Rat
Immunogen
A synthetic peptide corresponding to a sequence within amino acids 600-700 of human IKKa (NP_001269.3).
Sequence
VLKELFGHLSKLLGCKQKIIDLLPKVEVALSNIKEADNTVMFMQGKRQKEIWHLLKIACTQSSARSLVGSSLEGAVTPQTSAWLPPTSAEHDHSLSCVVTP
Host
Rabbit
Clonality
Polyclonal
Isotype
IgG
Conjugate

Unconjugated

Purification
Affinity purification.
Concentration
Lot Specific
Molecular Weight
85 kDa
Product Form
Liquid
Formulation
Supplied in Phosphate Buffered Saline, pH 7.3, with 50% Glycerol and 0.05% Proclin 300.
Storage
Shipped at 4°C. Upon delivery aliquot and store at -20°C. Avoid freeze/thaw cycles.
Synonyms
CHUK, Conserved helix-loop-helix ubiquitous kinase, I-kappa-B kinase 1, I-kappa-B kinase alpha, IkappaB kinase, IkBKA, IKK-1, IKK-A, IKK-alpha, IKK1, IKKA, Inhibitor of nuclear factor kappa-B kinase subunit alpha, NFKBIKA, Nuclear factor NF-kappa-B inhibitor kinase alpha, TCF-16, TCF16, Transcription factor 16
Disclaimer
This product is for research use only. It is not intended for diagnostic or therapeutic use.
Publishing research using Anti-IKK alpha Antibody (A11508)? Please let us know so that we can list the citation on this page.

Alternative products to Anti-IKK alpha Antibody (A11508)

Proteins predicted to interact with IKK alpha

Predicted protein interactions based upon String database. Revelancy score correlates with probability of interaction.
99.9% Relevancy Score
99.9% Relevancy Score
99.9% Relevancy Score
99.9% Relevancy Score
99.9% Relevancy Score
99.9% Relevancy Score
99.9% Relevancy Score
99.9% Relevancy Score
99.9% Relevancy Score