Western Blot - Anti-IKK alpha + beta Antibody (A94116)
Western blot analysis of lysates from Jurkat cells using Anti-IKK alpha + beta Antibody. The right hand lane represents a negative control, where the antibody is blocked by the immunising peptide.
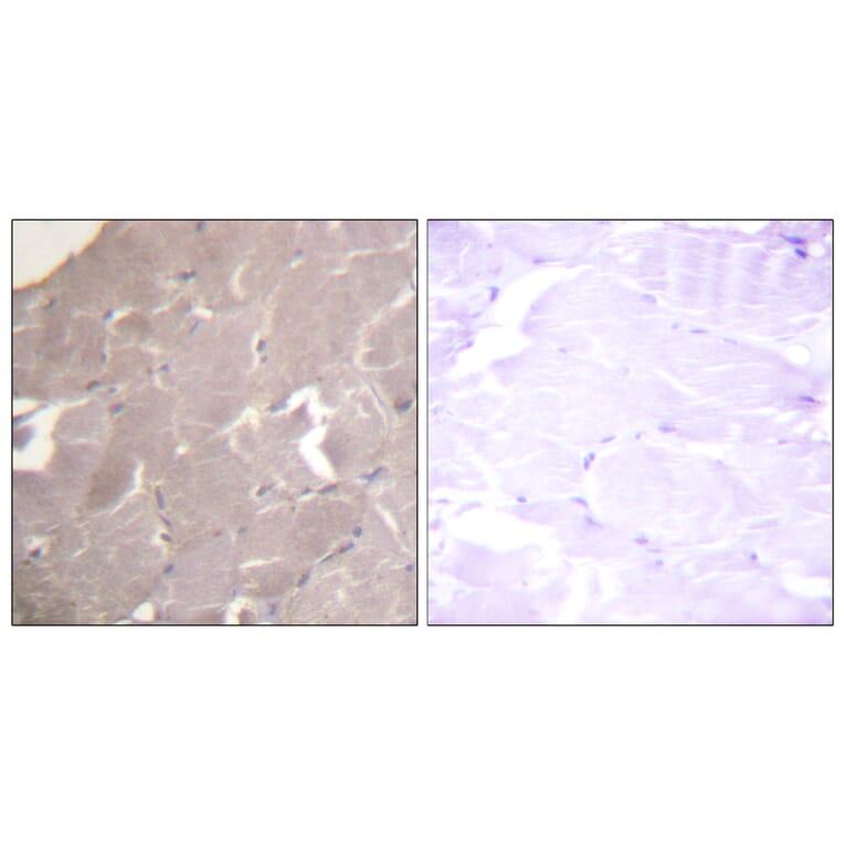
Immunohistochemical analysis of paraffin-embedded human skeletal muscle tissue using Anti-IKK alpha + beta Antibody. The right hand panel represents a negative control, where the antibody was pre-incubated with the immunising peptide.