ISO 9001:2015 Certified
Live Customer Support
4.5/5 on Trustpilot
100% Quality Guarantee

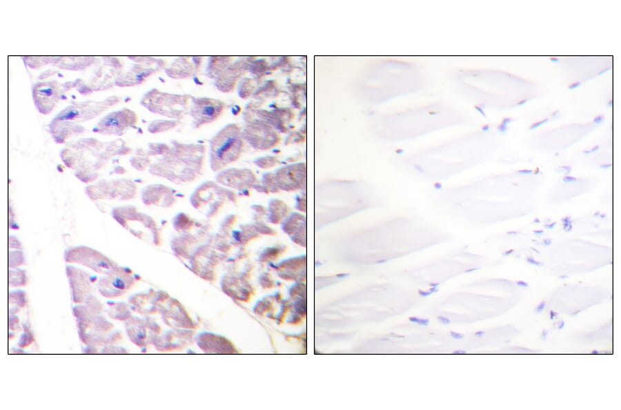
Anti-IKK alpha (phospho Ser176) + IKK beta (phospho Ser177) Antibody (A94552)

Rabbit polyclonal antibody to IKK alpha (phospho Ser176) + IKK beta (phospho Ser177) for WB, IHC, IF and ELISA.

Shipping Information

$40
Dispatched from St. Louis, MO.
Lead Time: 6-8 business days.
Name
Anti-IKK alpha (phospho Ser176) + IKK beta (phospho Ser177) Antibody
Description
Rabbit polyclonal antibody to IKK alpha (phospho Ser176) + IKK beta (phospho Ser177).
Specificity
This antibody detects endogenous levels of IKK-alpha only when phosphorylated at Ser177.
Applications
WB, IHC, IF, ELISA
Dilutions
WB: 1:500~1:1000, IHC: 1:50~1:100, ELISA: 1:10000
Reactivity
Human, Mouse, Rat
Cross Reactivity
No reported cross-reactivity.
Immunogen
Synthetic peptide derived from human IKK-alpha around the phosphorylation site of Ser177 (amino acids 151-200).
Host
Rabbit
Clonality
Polyclonal
Isotype
IgG
Conjugate

Unconjugated

Purification
Purified from rabbit serum by antigen affinity chromatography using the immunizing phospho peptide.
Molecular Weight
84kDa
Product Form
Liquid
Formulation
Supplied in Phosphate Buffered Saline (without Mg2+ and Ca2+), pH 7.4, with 150mM NaCl, 0.02% Sodium Azide, and 50% Glycerol.
Storage
Shipped at 4°C. Upon delivery aliquot and store at -20°C. Avoid freeze / thaw cycles.
Disclaimer
This product is for research use only. It is not intended for diagnostic or therapeutic use.
Publishing research using Anti-IKK alpha (phospho Ser176) + IKK beta (phospho Ser177) Antibody (A94552)? Please let us know so that we can list the citation on this page.

Alternative products to Anti-IKK alpha (phospho Ser176) + IKK beta (phospho Ser177) Antibody (A94552)