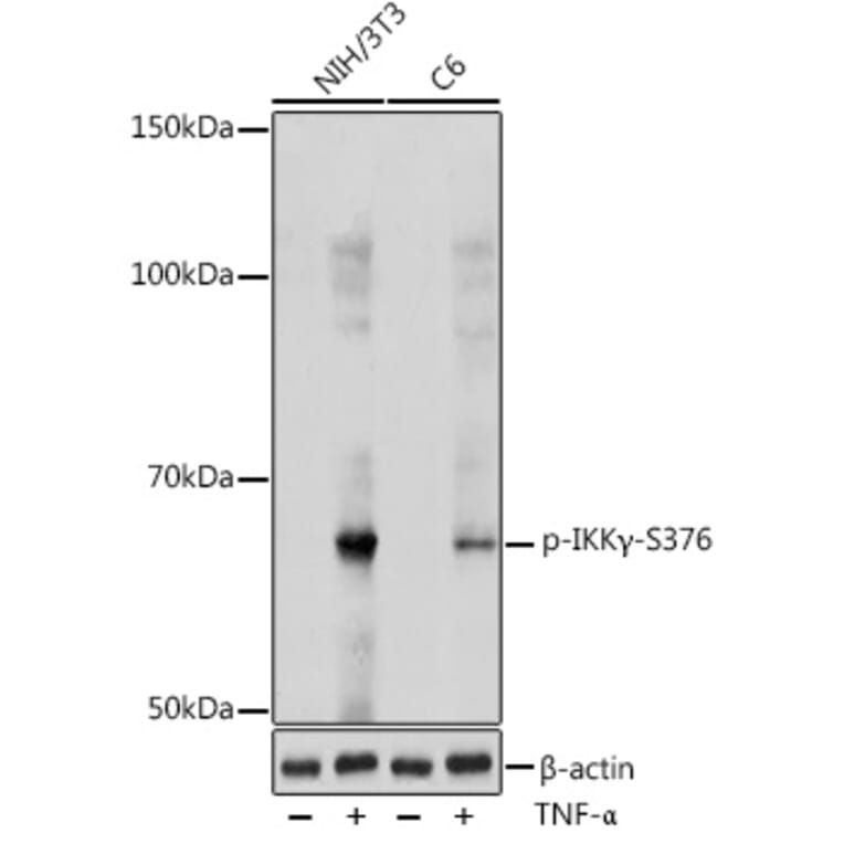
Western Blot - Anti-IKK gamma/NEMO (phospho Ser376) Antibody (A309231)
Western blot analysis of extracts of various cell lines, using Anti-IKK gamma/NEMO (phospho Ser376) Antibody (A309231) at 1:1,000 dilution. NIH/3T3 and C6 cells were treated by TNF-alpha (20 ng/ml) at 37°C for 30 minutes after serum-starvation overnight. The secondary antibody was Goat Anti-Rabbit IgG H&L Antibody (HRP) at 1:10,000 dilution. Lysates/proteins were present at 25µg per lane. The blocking buffer used was 3% non-fat dry milk in TBST. Detection was with a ECL Basic Kit. Exposure time: 60s.
Western Blot - Anti-IKK gamma/NEMO (phospho Ser376) Antibody (A309231)
Western blot analysis of extracts of HeLa cells, using Anti-IKK gamma/NEMO (phospho Ser376) Antibody (A309231) at 1:1,000 dilution or IKKgamma antibody (A0917). HeLa cells were treated by TNF-alpha (20 ng/ml) at 37°C for 30 minutes. The secondary antibody was Goat Anti-Rabbit IgG H&L Antibody (HRP) at 1:10,000 dilution. Lysates/proteins were present at 25µg per lane. The blocking buffer used was 3% BSA. Detection was with a ECL Basic Kit. Exposure time: 60s.
Publishing research using Anti-IKK gamma/NEMO (phospho Ser376) Antibody (A309231)? Please let us know so that we can list the citation on this page.