Western Blot - Anti-IKZF3 Antibody [ARC2781] (A306354)
Western blot analysis of extracts of Raji cells, using Anti-IKZF3 Antibody [ARC2781] (A306354) at 1:500 dilution. The secondary antibody was Goat Anti-Rabbit IgG H&L Antibody (HRP) at 1:10,000 dilution. Lysates/proteins were present at 25µg per lane. The blocking buffer used was 3% non-fat dry milk in TBST. Detection was with a ECL Basic Kit. Exposure time: 3s.
Western Blot - Anti-IKZF3 Antibody [ARC2781] (A306354)
Western blot analysis of extracts of various cell lines, using Anti-IKZF3 Antibody [ARC2781] (A306354) at 1:500 dilution. The secondary antibody was Goat Anti-Rabbit IgG H&L Antibody (HRP) at 1:10,000 dilution. Lysates/proteins were present at 25µg per lane. The blocking buffer used was 3% non-fat dry milk in TBST. Detection was with a ECL Basic Kit. Exposure time: 60s.
Western Blot - Anti-IKZF3 Antibody [ARC2781] (A306354)
Western blot analysis of extracts of Rat lung, using Anti-IKZF3 Antibody [ARC2781] (A306354) at 1:500 dilution. The secondary antibody was Goat Anti-Rabbit IgG H&L Antibody (HRP) at 1:10,000 dilution. Lysates/proteins were present at 25µg per lane. The blocking buffer used was 3% non-fat dry milk in TBST. Detection was with a ECL Enhanced Kit (RM00021). Exposure time: 90s.
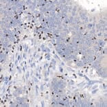
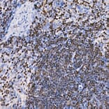
Immunohistochemistry analysis of paraffin-embedded human colon carcinoma tissue using Anti-IKZF3 Antibody [ARC2781] (A306354) at a dilution of 1:100 (40x lens). Perform high pressure antigen retrieval with 10 mM citrate buffer pH 6.0 before commencing with IHC staining protocol.
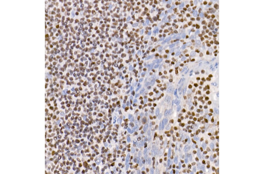
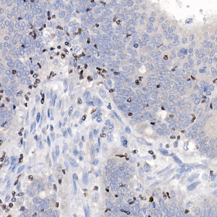
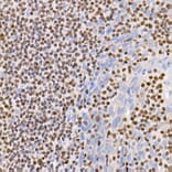
Immunohistochemistry analysis of paraffin-embedded human tonsil using Anti-IKZF3 Antibody [ARC2781] (A306354) at a dilution of 1:100 (40x lens). Perform high pressure antigen retrieval with 10 mM citrate buffer pH 6.0 before commencing with IHC staining protocol.
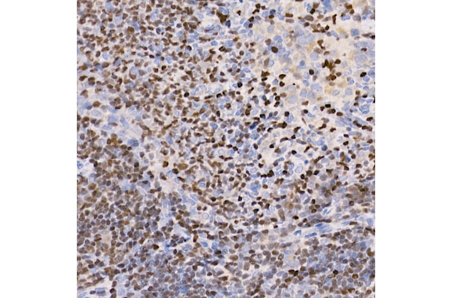
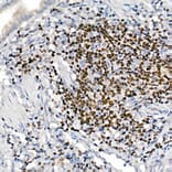
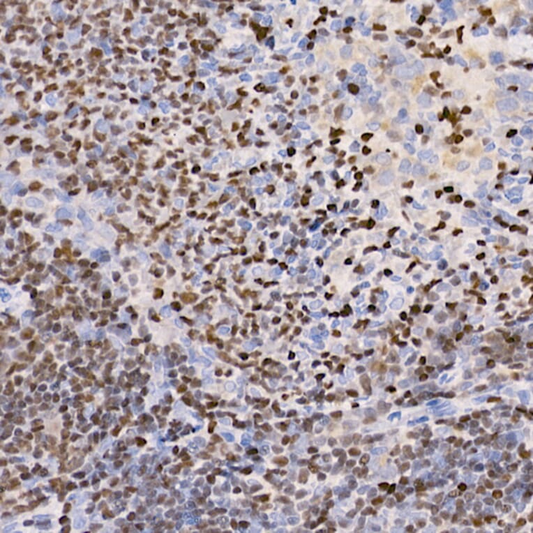
Immunohistochemistry analysis of paraffin-embedded mouse spleen using Anti-IKZF3 Antibody [ARC2781] (A306354) at a dilution of 1:100 (40x lens). Perform high pressure antigen retrieval with 10 mM citrate buffer pH 6.0 before commencing with IHC staining protocol.
Immunohistochemistry analysis of paraffin-embedded rat lung using Anti-IKZF3 Antibody [ARC2781] (A306354) at a dilution of 1:100 (40x lens). Perform high pressure antigen retrieval with 10 mM citrate buffer pH 6.0 before commencing with IHC staining protocol.
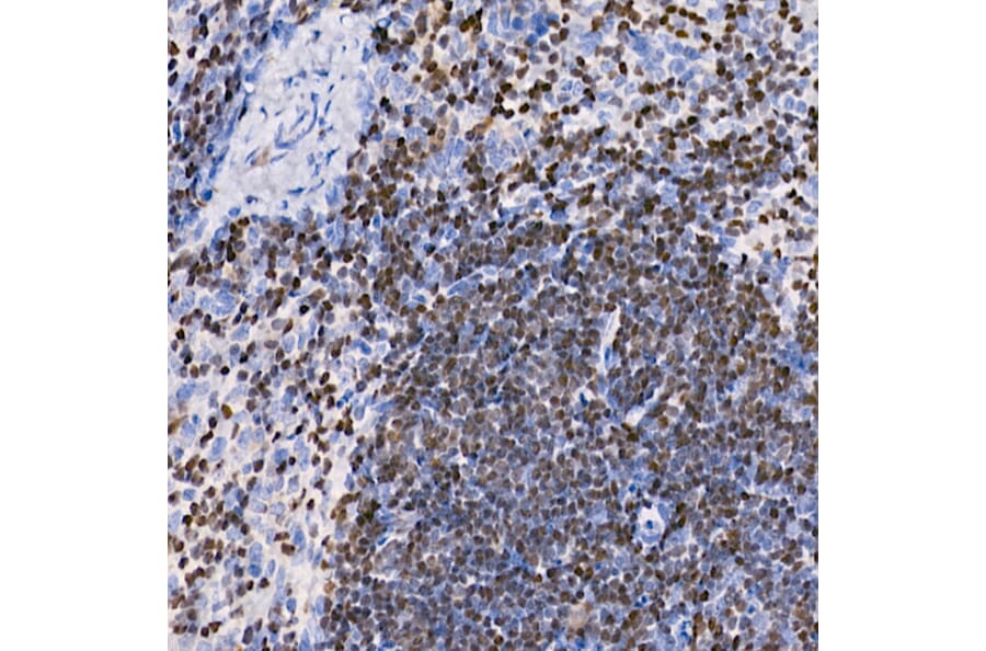
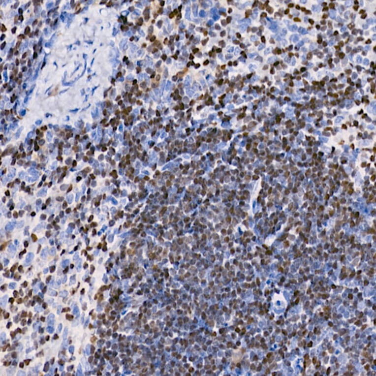
Immunohistochemistry analysis of paraffin-embedded rat spleen using Anti-IKZF3 Antibody [ARC2781] (A306354) at a dilution of 1:100 (40x lens). Perform high pressure antigen retrieval with 10 mM citrate buffer pH 6.0 before commencing with IHC staining protocol.
Immunofluorescence analysis of rat spleen using Anti-IKZF3 Antibody [ARC2781] (A306354) at a dilution of 1:100 (40x lens). DAPI was used to stain the cell nuclei (blue).
Western Blot - Anti-IKZF3 Antibody [ARC2781] (A306354)
Immunoprecipitation analysis of 300µg extracts of Raji cells using 3µg of Anti-IKZF3 Antibody [ARC2781] (A306354). This Western blot was performed on the immunoprecipitate using Anti-IKZF3 Antibody [ARC2781] (A306354) at a dilution of 1:500.