ISO 9001:2015 Certified
Live Customer Support
4.5/5 on Trustpilot
100% Quality Guarantee

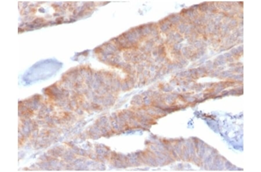
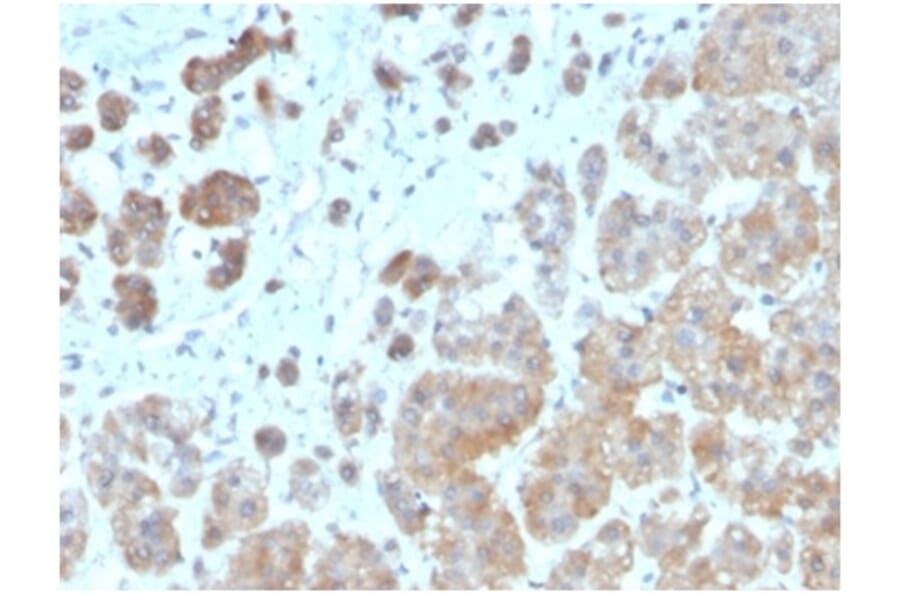
Anti-IL-1 beta Antibody [IL1B/3993] - BSA and Azide free (A278251)

Mouse monoclonal [IL1B/3993] antibody to IL-1 beta for ELISA, IF and IHC-P.

Alternative Formats and ConjugatesAlternative Formats

Shipping Information

$40
Dispatched from St. Louis, MO.
Lead Time: 5-8 business days.
Name
Anti-IL-1 beta Antibody [IL1B/3993] - BSA and Azide free
Description
Mouse monoclonal [IL1B/3993] antibody to IL-1 beta.
Specificity
This antibody recognizes a protein of 17-31kDa, identified as interleukin 1beta. It shows no cross-reaction with interleukin 1alpha. Epitopes of MAb IL1B/463 and IL1B/3993 are different and provide a good pair for developing an ELISA. This cytokine is produced by activated macrophages as a proprotein, which is proteolytically processed to its active form by caspase 1 (CASP1/ICE). This cytokine is an important mediator of the inflammatory response, and is involved in a variety of cellular activities, including cell proliferation, differentiation, and apoptosis. The induction of cyclooxygenase-2 (PTGS2/COX2) by this cytokine in the central nervous system (CNS) is found to contribute to inflammatory pain hypersensitivity. This gene and eight other interleukin 1 family genes form a cytokine gene cluster on chromosome 2.
Applications
ELISA, IF, IHC-P
Dilutions
IHC-P: 1-2 µg/ml
Reactivity
Human
Immunogen
Recombinant fragment corresponding to human IL-1 beta. The exact sequence is proprietary.
Host
Mouse
Clonality
Monoclonal
Clone ID
IL1B/3993
Isotype
IgG2b
Light Chains
kappa
Conjugate

Unconjugated

Purification
Protein A/G chromatography.
Concentration
1 mg/ml
Molecular Weight
31 kDa (proprotein) / 17 kDa (mature)
Product Form
Liquid
Formulation
Supplied in 10mM Phosphate Buffered Saline; without Sodium Azide and carrier free.
Storage
Shipped at 4°C. Upon delivery aliquot and store at -20°C. Avoid freeze / thaw cycles.
General Notes
This monoclonal antibody is also available in a different formulation with BSA and Sodium Azide - Anti-IL-1 beta Antibody [IL1B/3993] (A277663).
Synonyms
Catabolin, IL1B, IL1F2, Interleukin-1 beta
Disclaimer
This product is for research use only. It is not intended for diagnostic or therapeutic use.
Publishing research using Anti-IL-1 beta Antibody [IL1B/3993] - BSA and Azide free (A278251)? Please let us know so that we can list the citation on this page.

Alternative products to Anti-IL-1 beta Antibody [IL1B/3993] - BSA and Azide free (A278251)

Proteins predicted to interact with IL-1 beta

Predicted protein interactions based upon String database. Revelancy score correlates with probability of interaction.
99.9% Relevancy Score
99.9% Relevancy Score
99.9% Relevancy Score
99.9% Relevancy Score
99.9% Relevancy Score
99.9% Relevancy Score
99.9% Relevancy Score
99.8% Relevancy Score
99.8% Relevancy Score