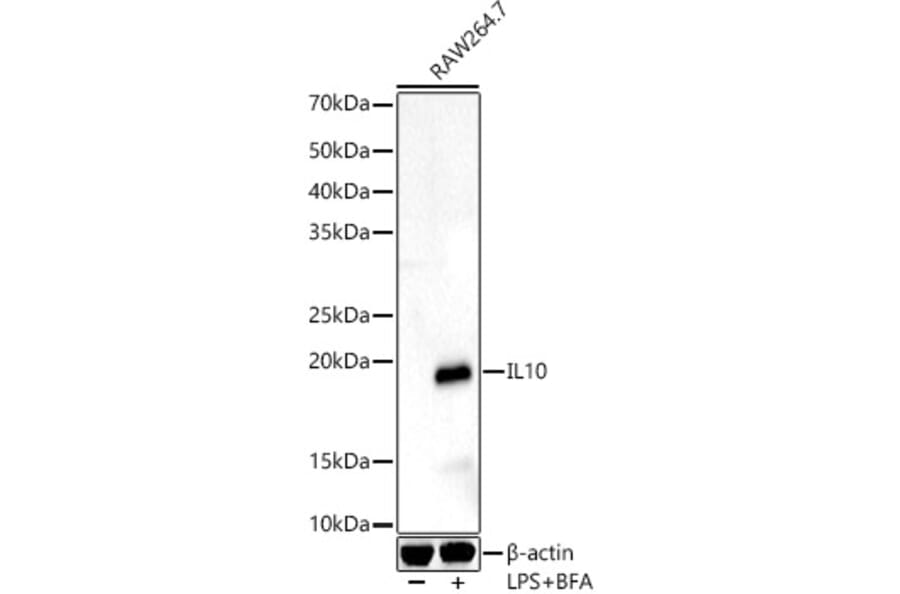
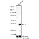
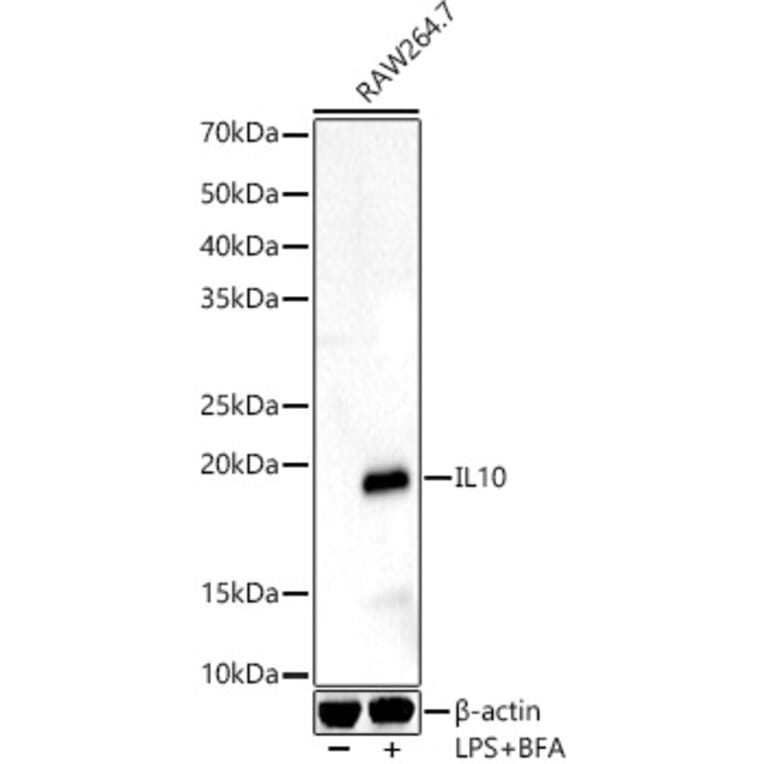
Western blot analysis of various lysates, using Anti-IL-10 Antibody (A13928) at 1:800 dilution. Raw264. 7 cells were treated by LPS for 6 hours and Brefeldin A for 3 hours of stimulation. The secondary antibody was Goat Anti-Rabbit IgG H&L Antibody (HRP) at 1:10,000 dilution. Lysates/proteins were present at 25µg per lane. The blocking buffer used was 3% non-fat dry milk in TBST. Detection was with a ECL Enhanced Kit. Exposure time: 90s.
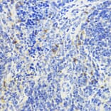
Immunohistochemistry analysis of paraffin-embedded mouse spleen using Anti-IL-10 Antibody (A13928) at a dilution of 1:200 (40x lens). Perform microwave antigen retrieval with 10 mM PBS buffer pH 7.2 before commencing with IHC staining protocol.
Publishing research using Anti-IL-10 Antibody (A13928)? Please let us know so that we can list the citation on this page.
Alternative products to Anti-IL-10 Antibody (A13928)
Recombinant humanized monoclonal antibody to IL-10 for use as a research grade Anti-Human IL10 Antib for ELISA, Flow Cytometry, Functional Studies and in vivo Research.
Recombinant human monoclonal antibody to IL-10 for use as a research grade MK-1966 biosimilar for ELISA, Flow Cytometry, Functional Studies and in vivo Research.
Recombinant human monoclonal antibody to IL-10 for use as a research grade SCH708980 biosimilar for ELISA, Flow Cytometry, Functional Studies and in vivo Research.
Recombinant humanized monoclonal antibody to IL-10 for use as a research grade Anti-Human IL10 Antib for ELISA, Flow Cytometry, Functional Studies and in vivo Research.
Recombinant human monoclonal antibody to IL-10 for use as a research grade MK-1966 biosimilar for ELISA, Flow Cytometry, Functional Studies and in vivo Research.
Recombinant human monoclonal antibody to IL-10 for use as a research grade SCH708980 biosimilar for ELISA, Flow Cytometry, Functional Studies and in vivo Research.