Western blot analysis of extracts of Recombinant Human IL13/ALRH/P600 Protein, using Anti-IL-13 Antibody (A13859) at 1:500 dilution. The secondary antibody was Goat Anti-Rabbit IgG H&L Antibody (HRP) at 1:10,000 dilution. Lysates/proteins were present at 25µg per lane. The blocking buffer used was 3% non-fat dry milk in TBST. Detection was with a ECL Basic Kit. Exposure time: 3s.
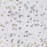
Immunohistochemistry analysis of paraffin-embedded mouse brain using Anti-IL-13 Antibody (A13859) (40x lens). Perform microwave antigen retrieval with 10 mM PBS buffer pH 7.2 before commencing with IHC staining protocol.
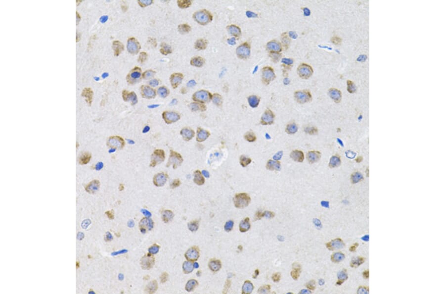
Immunohistochemistry analysis of paraffin-embedded rat brain using Anti-IL-13 Antibody (A13859) (40x lens). Perform microwave antigen retrieval with 10 mM PBS buffer pH 7.2 before commencing with IHC staining protocol.
Immunohistochemistry analysis of paraffin-embedded human stomach using Anti-IL-13 Antibody (A13859) (40x lens). Perform microwave antigen retrieval with 10 mM PBS buffer pH 7.2 before commencing with IHC staining protocol.
Publishing research using Anti-IL-13 Antibody (A13859)? Please let us know so that we can list the citation on this page.
Alternative products to Anti-IL-13 Antibody (A13859)
Recombinant humanized monoclonal antibody to IL-13 for use as a research grade Anrukinzumab biosimil for ELISA, Flow Cytometry, Functional Studies and in vivo Research.
Recombinant humanized monoclonal antibody to IL-13 for use as a research grade Cendakimab biosimilar for ELISA, Flow Cytometry, Functional Studies and in vivo Research.
Recombinant humanized monoclonal antibody to IL-13 for use as a research grade Lebrikizumab biosimil for ELISA, Flow Cytometry, Functional Studies and in vivo Research.
Recombinant humanized monoclonal antibody to IL-13 for use as a research grade Anrukinzumab biosimil for ELISA, Flow Cytometry, Functional Studies and in vivo Research.
Recombinant humanized monoclonal antibody to IL-13 for use as a research grade Cendakimab biosimilar for ELISA, Flow Cytometry, Functional Studies and in vivo Research.
Recombinant humanized monoclonal antibody to IL-13 for use as a research grade Lebrikizumab biosimil for ELISA, Flow Cytometry, Functional Studies and in vivo Research.