ISO 9001:2015 Certified
Live Customer Support
4.5/5 on Trustpilot
100% Quality Guarantee

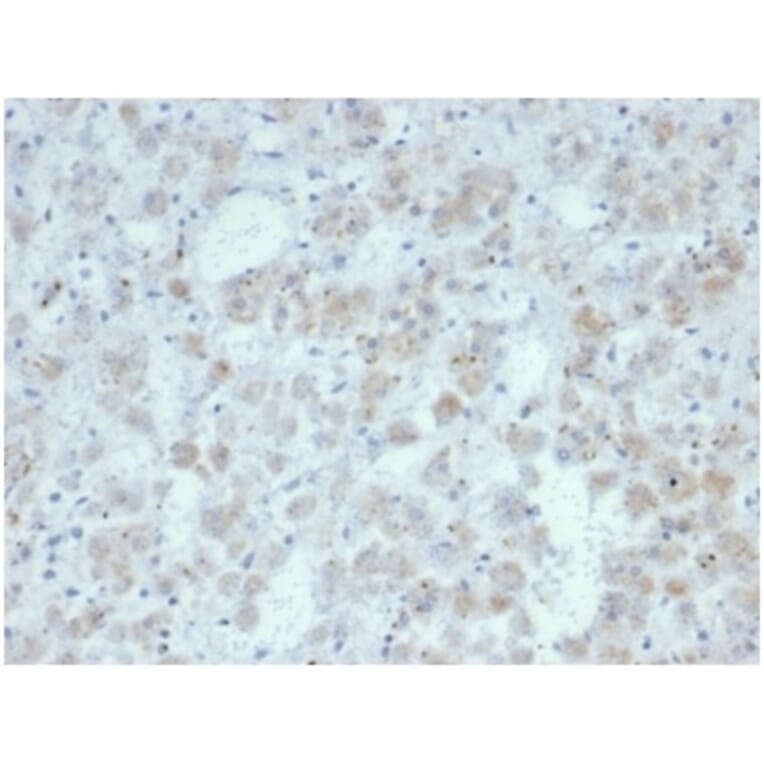
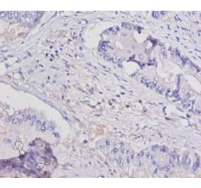
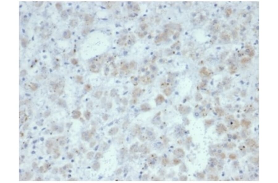
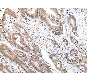
Recombinant Anti-IL-15 Antibody [IL15/7048R] (A278008)

Recombinant rabbit monoclonal [IL15/7048R] antibody to IL-15 for IHC-P.

Alternative Formats and ConjugatesAlternative Formats

Shipping Information

$40
Dispatched from St. Louis, MO.
Lead Time: 5-8 business days.
Name
Anti-IL-15 Antibody [IL15/7048R]
Description
Recombinant rabbit monoclonal [IL15/7048R] antibody to IL-15.
Specificity
Interleukin-15 (IL-15), also designated IL-T, is a cloned cytokine which shares several biological activities but no sequence homology with IL-2. Human, mouse and simian IL-15 cDNA clones have been isolated and characterized. All 3 species encode a 162 amino acid residue precursor protein containing a 48 amino acid leader that is cleaved to generate the mature form of IL-15. IL-15 stimulates the proliferation of T cells and NK cells, while enhancing B cell expansion and antibody production. Unlike IL-2, IL-15 is not produced by lymphocytes, but appears to be produced by macrophages, epithelial lines, muscle and placenta. IL-15 has also been shown to be a chemoattractant for human blood T lymphocytes and to be able to induce lymphokine-activated killer (LAK) activity in NK cells as well as to be able to induce the generation of cytolytic effector cells. Studies have shown that IL-15 is the only other cytokine that shares the β signaling subunit of the IL-2R. Evidence also suggests that like IL-2, IL-4 and IL-7, IL-15 utilizes the common IL-2Rγ subunit.
Applications
IHC-P
Dilutions
IHC-P: 1-2 µg/ml
Reactivity
Human
Immunogen
Recombinant fragment corresponding to human IL-15. The exact sequence is proprietary.
Host
Rabbit
Clonality
Monoclonal
Clone ID
IL15/7048R
Isotype
IgG
Conjugate

Unconjugated

Purification
Protein A/G chromatography.
Concentration
200 µg/ml
Molecular Weight
14-15 kDa
Product Form
Liquid
Formulation
Supplied in 10mM Phosphate Buffered Saline with 0.05% BSA and 0.05% Sodium Azide.
Storage
Shipped at 4°C. Upon delivery aliquot and store at -20°C. Avoid freeze / thaw cycles.
General Notes
This monoclonal antibody is also available in a different formulation without BSA and Sodium Azide - Anti-IL-15 Antibody [IL15/7048R] - BSA and Azide free (A278596).
Synonyms
IL15, Interleukin-15
Disclaimer
This product is for research use only. It is not intended for diagnostic or therapeutic use.
Publishing research using Recombinant Anti-IL-15 Antibody [IL15/7048R] (A278008)? Please let us know so that we can list the citation on this page.

Alternative products to Anti-IL-15 Antibody [IL15/7048R] (A278008)

Proteins predicted to interact with IL-15

Predicted protein interactions based upon String database. Revelancy score correlates with probability of interaction.
99.9% Relevancy Score
99.9% Relevancy Score
99.9% Relevancy Score
99.6% Relevancy Score
98.9% Relevancy Score
98.5% Relevancy Score
97.6% Relevancy Score
96.8% Relevancy Score
95.8% Relevancy Score