ISO 9001:2015 Certified
Live Customer Support
4.5/5 on Trustpilot
100% Quality Guarantee

Anti-IL-3 Antibody [IL3/4004] - BSA and Azide free (A278257)

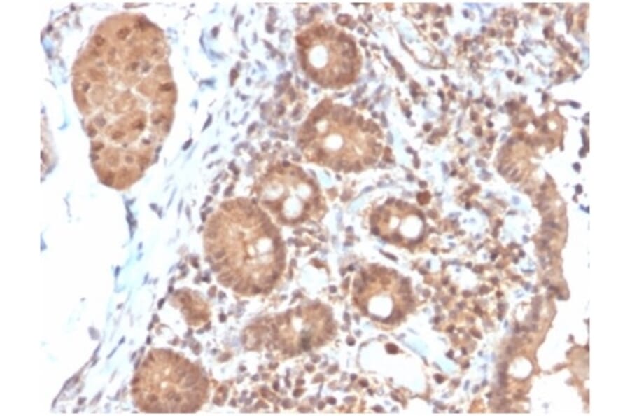
Mouse monoclonal [IL3/4004] antibody to IL-3 for IHC-P.

Alternative Formats and ConjugatesAlternative Formats

Shipping Information

$40
Dispatched from St. Louis, MO.
Lead Time: 5-8 business days.
Name
Anti-IL-3 Antibody [IL3/4004] - BSA and Azide free
Description
Mouse monoclonal [IL3/4004] antibody to IL-3.
Specificity
Interleukin-3, or IL-3, is a pleiotropic cytokine that is primarily secreted by activated T lymphocytes and stimulates the proliferation and differentiation of hematopoietic cells. IL-3 not only supports growth of both pluripotent stem cells and the more differentiated committed progenitors, but it also stimulates the functional activity of some fully differentiated cells. IL-3 has also been shown to protect mast cells from undergoing apoptosis. IL-3 exerts its biological effects through a receptor which consists of a ligand-specific α subunit and a signal transducing β subunit common to the IL-3/IL-5/GM-CSF receptors. The carboxy terminus of the β subunit has been shown to be necessary for activation of the MAP kinase signaling pathway. Although the IL-3 receptor has no intrinsic kinase activity, stimulation with IL-3 leads to tyrosine phosphorylation of the JAK/Tyk 2 family member, JAK2, which in turn activates and causes nuclear translocation of Stat5a and Stat5b.
Applications
IHC-P
Dilutions
IHC-P: 1-2 µg/ml
Reactivity
Human
Immunogen
Recombinant fragment corresponding to human IL-3 protein. The exact sequence is proprietary.
Host
Mouse
Clonality
Monoclonal
Clone ID
IL3/4004
Isotype
IgG1
Light Chains
kappa
Conjugate

Unconjugated

Purification
Protein A/G chromatography.
Concentration
1 mg/ml
Molecular Weight
17 kDa
Product Form
Liquid
Formulation
Supplied in 10mM Phosphate Buffered Saline; without Sodium Azide and carrier free.
Storage
Shipped at 4°C. Upon delivery aliquot and store at -20°C. Avoid freeze / thaw cycles.
General Notes
This monoclonal antibody is also available in a different formulation with BSA and Sodium Azide - Anti-IL-3 Antibody [IL3/4004] (A277669).
Synonyms
Hematopoietic growth factor, IL3, Interleukin-3, Mast cell growth factor, MCGF, Multipotential colony-stimulating factor, P-cell-stimulating factor
Disclaimer
This product is for research use only. It is not intended for diagnostic or therapeutic use.
Publishing research using Anti-IL-3 Antibody [IL3/4004] - BSA and Azide free (A278257)? Please let us know so that we can list the citation on this page.

Alternative products to Anti-IL-3 Antibody [IL3/4004] - BSA and Azide free (A278257)

Proteins predicted to interact with IL-3

Predicted protein interactions based upon String database. Revelancy score correlates with probability of interaction.
99.9% Relevancy Score
99.9% Relevancy Score
99.9% Relevancy Score
99.8% Relevancy Score
99.8% Relevancy Score
99.8% Relevancy Score
99.6% Relevancy Score
99.4% Relevancy Score
98.8% Relevancy Score