Primary Antibodies
Secondary Antibodies
Proteins & Peptides
ELISA Kits
About Us
Contact Us
Sign In/Register
0
ISO 9001:2015 Certified
Live Customer Support
4.5/5 on Trustpilot
100% Quality Guarantee
Home
Primary Antibodies
IL-32 Antibodies
Anti-IL-32 Antibody (A47878)
Anti-IL-32 Antibody (A47878)
Overview
Specifications
Images
Enlarge Image
Enlarge Image
$780
Product Datasheet
Rabbit polyclonal antibody to IL-32 for ELISA, WB and IHC.
100% Guarantee
Price Match Guarantee
Product Size:
100µl
Quantity:
1
2
3
4
5
6
7
8
9
10
Add To Cart
Request a Quotation
Custom or Bulk Request
Shipping Information
Freight/Packing Charges:
$40
Dispatched from St. Louis, MO.
Lead Time: 6-9 business days.
Specifications
Name
Anti-IL-32 Antibody
Description
Rabbit polyclonal antibody to IL-32
Specificity
This antibody detects all isoforms, of IL-32.
Applications
ELISA
,
WB
,
IHC
Reactivity
Human, Mouse
Immunogen
Raised against a 15 amino acid peptide from near the carboxy terminus of human IL-32.
Host
Rabbit
Clonality
Polyclonal
Conjugate
Unconjugated
Purification
Affinity chromatography purified via peptide column
Formulation
Supplied in phosphate-buffered saline with 0.02% Sodium Azide.
Storage
Shipped at 4°C. Upon delivery aliquot and store at -20°C. Avoid freeze/thaw cycles.
Synonyms
IL32, Interleukin-32, Natural killer cells protein 4, NK4, TAIF, Tumor necrosis factor alpha-inducing factor
Suitable Secondaries
Goat Anti-Rabbit IgG H&L Antibody (AP) (A294874)
Goat Anti-Rabbit IgG H&L Antibody (Biotin) (A294795)
Goat Anti-Rabbit IgG H&L Antibody (FITC) (A294887)
Goat Anti-Rabbit IgG H&L Antibody (HRP) (A294888)
See all Anti-Rabbit IgG Secondaries →
Disclaimer
This product is for research use only. It is not intended for diagnostic or therapeutic use.
Scientific Validation Data
Validation Data
(2)
Enlarge Image
Anti-IL-32 Antibody (A47878)
Western blot analysis of IL-32 in human spleen cell lysate with IL-32 antibody at (A) 5 and (B) 10 µg/mL shows two isoforms of IL-32.
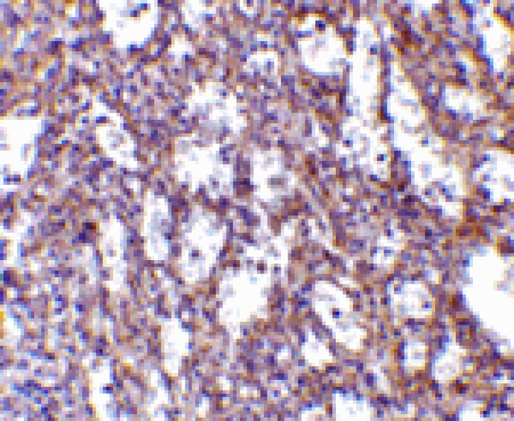
Enlarge Image
Immunohistochemistry - Anti-IL-32 Antibody (A47878)
Immunohistochemistry of IL-32 in human spleen tissue with IL-32 antibody at 10 µg/mL.
Publishing research using Anti-IL-32 Antibody (A47878)? Please
let us know
so that we can list the citation on this page.
Alternative products to Anti-IL-32 Antibody (A47878)
(3)
A99641
Anti-IL-32 Antibody
Rabbit polyclonal antibody to IL-32 for WB, IHC, IF and ELISA.
(2)
A27089
Anti-IL-32 (K226) Antibody
Rabbit polyclonal antibody to IL-32 (K226) for WB and IHC.
A55003
Anti-IL32 Antibody
Rabbit polyclonal antibody to IL32 for ELISA, IP and WB.
A49376
Anti-IL-32 Antibody
Rabbit polyclonal antibody to IL-32 for ELISA and WB.
A342089
Anti-IL-32 Antibody [B-B52] - BSA and Azide free
Mouse monoclonal [B-B52] IVD antibody to IL-32 for ELISA.
A342090
Anti-IL-32 Antibody [B-K42] - BSA and Azide free
Mouse monoclonal [B-K42] IVD antibody to IL-32 for ELISA.
(3)
A99641
Anti-IL-32 Antibody
Rabbit polyclonal antibody to IL-32 for WB, IHC, IF and ELISA.
(2)
A27089
Anti-IL-32 (K226) Antibody
Rabbit polyclonal antibody to IL-32 (K226) for WB and IHC.
A55003
Anti-IL32 Antibody
Rabbit polyclonal antibody to IL32 for ELISA, IP and WB.
A49376
Anti-IL-32 Antibody
Rabbit polyclonal antibody to IL-32 for ELISA and WB.
A342089
Anti-IL-32 Antibody [B-B52] - BSA and Azide free
Mouse monoclonal [B-B52] IVD antibody to IL-32 for ELISA.
A342090
Anti-IL-32 Antibody [B-K42] - BSA and Azide free
Mouse monoclonal [B-K42] IVD antibody to IL-32 for ELISA.
See all IL-32 Antibodies
Proteins predicted to interact with IL-32
Predicted protein interactions based upon String database. Revelancy score correlates with probability of interaction.
PRTN3 Antibodies
99.1% Relevancy Score
Integrin beta 3 Antibodies
96.2% Relevancy Score
c-Met Antibodies
92.1% Relevancy Score
PKC delta Antibodies
89.6% Relevancy Score
IL-18R beta Antibodies
81.3% Relevancy Score
RANTES Antibodies
73.6% Relevancy Score
IL-8 Antibodies
73.3% Relevancy Score
TNF alpha Antibodies
71.2% Relevancy Score
IL-18 Antibodies
70.4% Relevancy Score
Top