ISO 9001:2015 Certified
Live Customer Support
4.5/5 on Trustpilot
100% Quality Guarantee

Anti-IL-7 Antibody [IL7/4012] - BSA and Azide free (A278261)

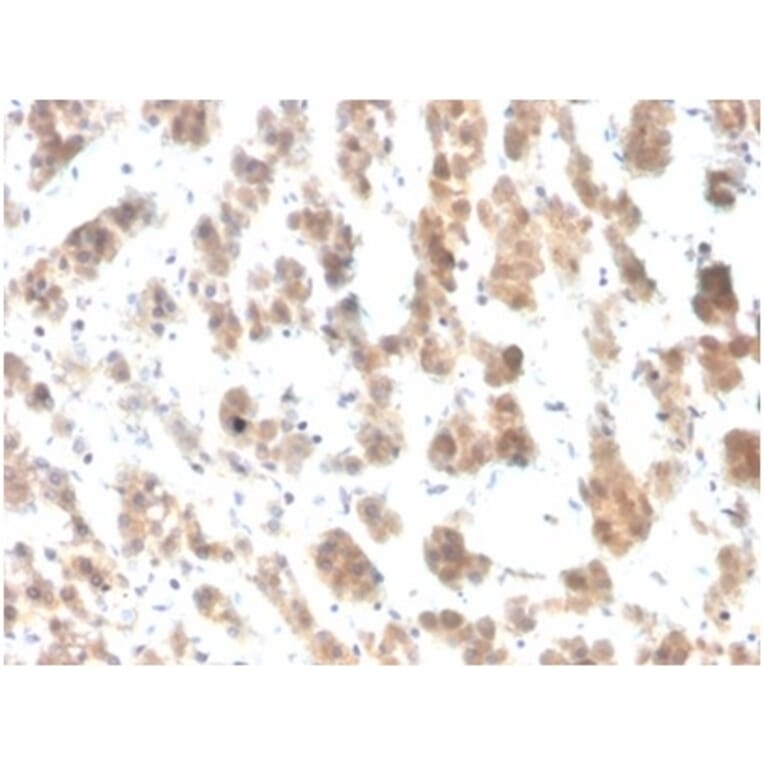
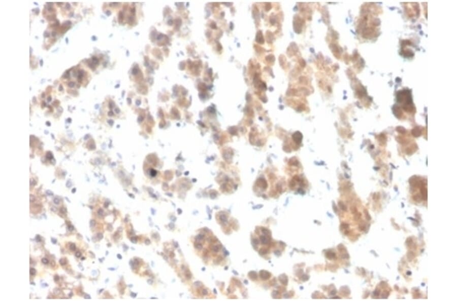
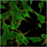
Mouse monoclonal [IL7/4012] antibody to IL-7 for Flow Cytometry, IF and IHC-P.

Alternative Formats and ConjugatesAlternative Formats

Shipping Information

$40
Dispatched from St. Louis, MO.
Lead Time: 5-8 business days.
Name
Anti-IL-7 Antibody [IL7/4012] - BSA and Azide free
Description
Mouse monoclonal [IL7/4012] antibody to IL-7.
Specificity
Interleukin-7 (IL-7) was originally described as a factor capable of inducing in vitro proliferation of pre-B cells from marrow cultures. The IL-7 gene encodes a protein 177 amino acids in length. IL-7 exerts its biological function through the IL-7 receptor which is expressed on pre-B cells, thymocytes and bone marrow-derived macrophages. The IL-7 receptor is composed of an IL-7 receptor specific chain and the IL-2 receptor γ chain common to the IL-2, IL-4, IL-7, IL-9 and IL-15 receptors. IL-7 stimulation leads to the activation of Janus tyrosine kinase family members JAK1 and JAK3. Other studies have shown that in T cells, the IL-7 receptor-specific chain associates with the Src kinases family Lck and Fyn. IL-7 induces phosphorylation of Insulin receptor substrate-1 (IRS-1) and Insulin receptor substrate-2 (IRS-2), originally called 4PS.
Applications
Flow Cytometry, IF, IHC-P
Dilutions
Flow Cytometry: 1-2 µg/million cells, IF: 1-2 µg/ml, IHC-P: 1-2 µg/ml
Reactivity
Human
Immunogen
Recombinant fragment, around amino acids 27-177, corresponding to mature human IL-7. The exact sequence is proprietary.
Host
Mouse
Clonality
Monoclonal
Clone ID
IL7/4012
Isotype
IgG1
Light Chains
kappa
Conjugate

Unconjugated

Purification
Protein A/G chromatography.
Concentration
1 mg/ml
Molecular Weight
25 kDa
Product Form
Liquid
Formulation
Supplied in 10mM Phosphate Buffered Saline; without Sodium Azide and carrier free.
Storage
Shipped at 4°C. Upon delivery aliquot and store at -20°C. Avoid freeze / thaw cycles.
General Notes
This monoclonal antibody is also available in a different formulation with BSA and Sodium Azide - Anti-IL-7 Antibody [IL7/4012] (A277673).
Synonyms
IL7, Interleukin-7
Disclaimer
This product is for research use only. It is not intended for diagnostic or therapeutic use.
Publishing research using Anti-IL-7 Antibody [IL7/4012] - BSA and Azide free (A278261)? Please let us know so that we can list the citation on this page.

Alternative products to Anti-IL-7 Antibody [IL7/4012] - BSA and Azide free (A278261)

Proteins predicted to interact with IL-7

Predicted protein interactions based upon String database. Revelancy score correlates with probability of interaction.
99.9% Relevancy Score
99.9% Relevancy Score
99.8% Relevancy Score
99.7% Relevancy Score
99.7% Relevancy Score
99.7% Relevancy Score
99.5% Relevancy Score
99.1% Relevancy Score
98.8% Relevancy Score