ISO 9001:2015 Certified
Live Customer Support
4.5/5 on Trustpilot
100% Quality Guarantee

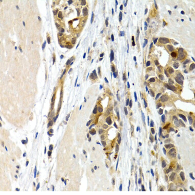
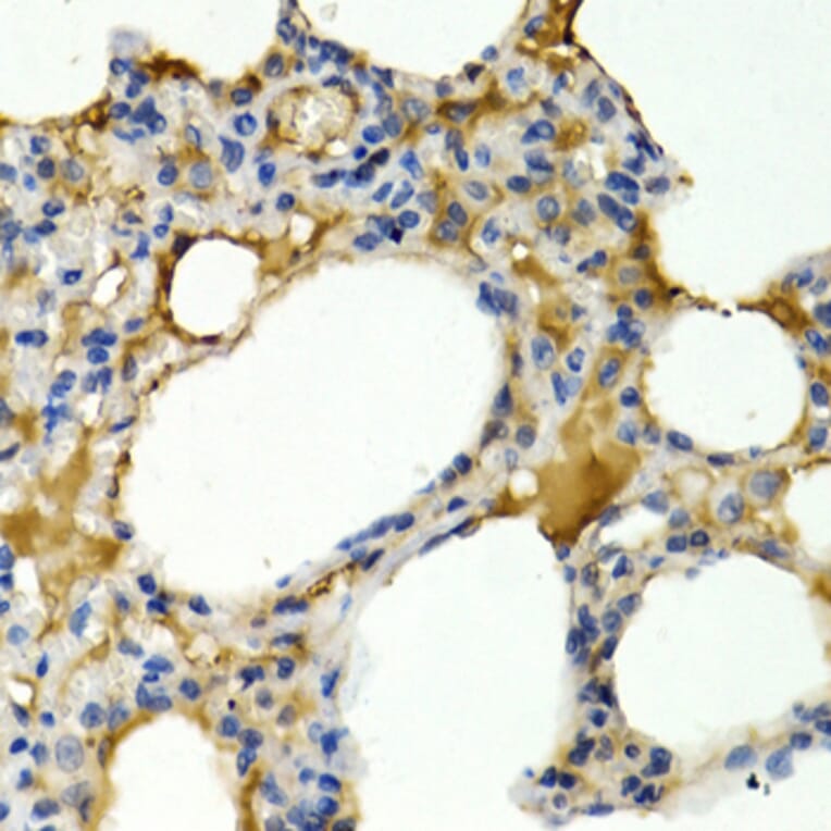
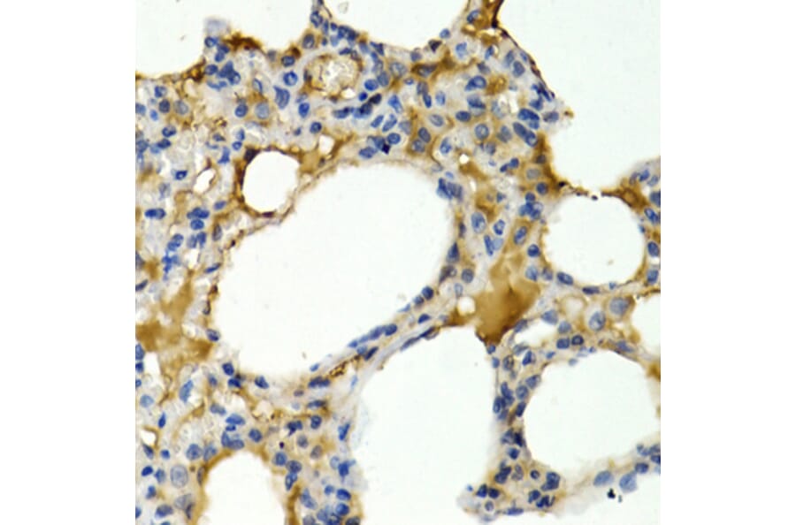
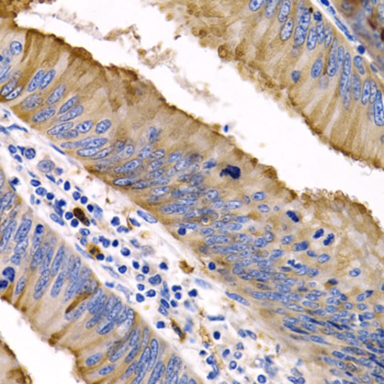
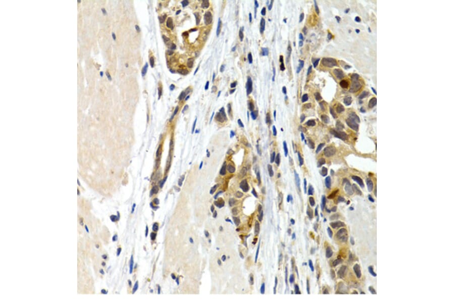
Anti-IL-9 Antibody (A16821)

Rabbit polyclonal antibody to IL-9 for WB and IHC.

Shipping Information

$40
Dispatched from St. Louis, MO.
Lead Time: 7-10 business days.
Name
Anti-IL-9 Antibody
Description
Rabbit polyclonal antibody to IL-9.
Applications
WB, IHC
Dilutions
WB: 1:500-1:2,000, IHC: 1:50-1:200
Reactivity
Human, Rat
Immunogen
Recombinant fusion protein containing a sequence corresponding to amino acids 19-144 of human IL9 (NP_000581.1).
Sequence
QGCPTLAGILDINFLINKMQEDPASKCHCSANVTSCLCLGIPSDNCTRPCFSERLSQMTNTTMQTRYPLIFSRVKKSVEVLKNNKCPYFSCEQPCNQTTAGNALTFLKSLLEIFQKEKMRGMRGKI
Host
Rabbit
Clonality
Polyclonal
Isotype
IgG
Conjugate

Unconjugated

Purification
Affinity purification.
Concentration
Lot Specific
Product Form
Liquid
Formulation
Supplied in Phosphate Buffered Saline, pH 7.3, with 50% Glycerol and 0.05% Proclin 300.
Storage
Shipped at 4°C. Upon delivery aliquot and store at -20°C. Avoid freeze/thaw cycles.
Synonyms
Cytokine P40, IL9, Interleukin-9, T-cell growth factor P40
Disclaimer
This product is for research use only. It is not intended for diagnostic or therapeutic use.
Publishing research using Anti-IL-9 Antibody (A16821)? Please let us know so that we can list the citation on this page.

Alternative products to Anti-IL-9 Antibody (A16821)

Proteins predicted to interact with IL-9

Predicted protein interactions based upon String database. Revelancy score correlates with probability of interaction.
99.9% Relevancy Score
99.8% Relevancy Score
99.7% Relevancy Score
99.6% Relevancy Score
99.6% Relevancy Score
99.5% Relevancy Score
99.1% Relevancy Score
99% Relevancy Score
97.6% Relevancy Score