Primary Antibodies
Secondary Antibodies
Proteins & Peptides
ELISA Kits
About Us
Contact Us
Sign In/Register
0
ISO 9001:2015 Certified
Live Customer Support
4.5/5 on Trustpilot
100% Quality Guarantee
Home
Primary Antibodies
IL-12 p35 Antibodies
Anti-IL12A Antibody (A46387)
Anti-IL12A Antibody (A46387)
Overview
Specifications
Images
Enlarge Image
Enlarge Image
$430
Product Datasheet
Rabbit polyclonal antibody to IL12A for IHC.
100% Guarantee
Price Match Guarantee
Product Size:
100µl
Quantity:
1
2
3
4
5
6
7
8
9
10
Add To Cart
Request a Quotation
Custom or Bulk Request
Shipping Information
Freight/Packing Charges:
$40
Dispatched from St. Louis, MO.
Lead Time: 6-9 business days.
Tags:
Dendritic Cell Marker
Mast Cell Marker
Regulatory T Cell Marker
T Helper Cell Marker
Specifications
Name
Anti-IL12A Antibody
Description
Rabbit polyclonal antibody to IL12A
Specificity
The antibody detects endogenous levels of total IL12A protein.
Applications
IHC
Reactivity
Human
Immunogen
Synthetic peptide of human interleukin 12A
Host
Rabbit
Clonality
Polyclonal
Conjugate
Unconjugated
Purification
Antigen affinity purification.
Concentration
1.2 mg/mL
Formulation
Rabbit IgG in pH7.4 PBS, 0.05% NaN3, 40% Glycerol.
Storage
Shipped at 4°C. Upon delivery aliquot and store at -20°C. Avoid freeze/thaw cycles.
Synonyms
CLMF p35, Cytotoxic lymphocyte maturation factor 35 kDa subunit, IL-12 subunit p35, IL-12A, Interleukin-12 subunit alpha, NK cell stimulatory factor chain 1, NKSF1
Suitable Secondaries
Goat Anti-Rabbit IgG H&L Antibody (AP) (A294874)
Goat Anti-Rabbit IgG H&L Antibody (Biotin) (A294795)
Goat Anti-Rabbit IgG H&L Antibody (FITC) (A294887)
Goat Anti-Rabbit IgG H&L Antibody (HRP) (A294888)
See all Anti-Rabbit IgG Secondaries →
Disclaimer
This product is for research use only. It is not intended for diagnostic or therapeutic use.
Scientific Validation Data
Validation Data
(2)
Enlarge Image
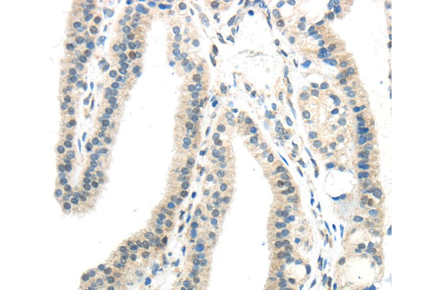
Immunohistochemistry - Anti-IL12A Antibody (A46387)
Immunohistochemical analysis of paraffin-embedded Human thyroid cancer tissue using #40406 at dilution 1/20.
Enlarge Image
Immunohistochemistry - Anti-IL12A Antibody (A46387)
Immunohistochemical analysis of paraffin-embedded Human prostate cancer tissue using #40406 at dilution 1/20.
Publishing research using Anti-IL12A Antibody (A46387)? Please
let us know
so that we can list the citation on this page.
Alternative products to Anti-IL12A Antibody (A46387)
(5)
A95623
Anti-IL-12A Antibody
Rabbit polyclonal antibody to IL-12A for WB, IHC, IF and ELISA.
(4)
A101027
Anti-IL12A Antibody
Rabbit polyclonal antibody to IL12A for WB, IHC, IF and ELISA.
(2)
A26920
Anti-IL-12A (T65) Antibody
Rabbit polyclonal antibody to IL-12A (T65) for WB and IHC.
(2)
A306535
Anti-IL-12A Antibody
Rabbit polyclonal antibody to IL-12A for WB.
A326256
Anti-IL-12A Antibody
Goat polyclonal antibody to IL-12A for ELISA and IHC.
(2)
A329497
Anti-IL-12A Antibody
Rabbit monoclonal antibody to IL-12A for ELISA.
A342031
Anti-IL-12 p35 Antibody [B-T21] - BSA and Azide free
Mouse monoclonal [B-T21] IVD antibody to IL-12 p35 for ELISA and Functional assay.
A342204
Anti-IL-12 p35 Antibody [B-T21] - BSA and Azide free
Mouse monoclonal [B-T21] IVD antibody to IL-12 p35 for ELISA and ELISpot.
(5)
A95623
Anti-IL-12A Antibody
Rabbit polyclonal antibody to IL-12A for WB, IHC, IF and ELISA.
(4)
A101027
Anti-IL12A Antibody
Rabbit polyclonal antibody to IL12A for WB, IHC, IF and ELISA.
(2)
A26920
Anti-IL-12A (T65) Antibody
Rabbit polyclonal antibody to IL-12A (T65) for WB and IHC.
(2)
A306535
Anti-IL-12A Antibody
Rabbit polyclonal antibody to IL-12A for WB.
A326256
Anti-IL-12A Antibody
Goat polyclonal antibody to IL-12A for ELISA and IHC.
(2)
A329497
Anti-IL-12A Antibody
Rabbit monoclonal antibody to IL-12A for ELISA.
A342031
Anti-IL-12 p35 Antibody [B-T21] - BSA and Azide free
Mouse monoclonal [B-T21] IVD antibody to IL-12 p35 for ELISA and Functional assay.
A342204
Anti-IL-12 p35 Antibody [B-T21] - BSA and Azide free
Mouse monoclonal [B-T21] IVD antibody to IL-12 p35 for ELISA and ELISpot.
See all IL12A Antibodies
Proteins predicted to interact with IL-12 p35
Predicted protein interactions based upon String database. Revelancy score correlates with probability of interaction.
IL-12 p40 Antibodies
99.9% Relevancy Score
EBI3 Antibodies
98.5% Relevancy Score
IL-12RB1 Antibodies
97.4% Relevancy Score
IL12RB2 Antibodies
97.1% Relevancy Score
Leptin Receptor Antibodies
77.2% Relevancy Score
STAT4 Antibodies
77.1% Relevancy Score
P4HB Antibodies
75.1% Relevancy Score
VAMP7 Antibodies
75% Relevancy Score
STAT1 Antibodies
75% Relevancy Score
Top